Preserving periodontal tissue in the treatment of a large peripheral ossifying fibroma: a case study.

IF 1.5 4区 医学 Q4 DEVELOPMENTAL BIOLOGY
Emine Cansu Topçuoğlu, Tuğçe Çevik Sönmez, Tülay Koç, Ömer Fahrettin Göze
{"title":"Preserving periodontal tissue in the treatment of a large peripheral ossifying fibroma: a case study.","authors":"Emine Cansu Topçuoğlu, Tuğçe Çevik Sönmez, Tülay Koç, Ömer Fahrettin Göze","doi":"10.47162/RJME.64.3.14","DOIUrl":null,"url":null,"abstract":"<p><p>Peripheral ossifying fibroma (POF) is a reactive, benign gingival enlargement. Its etiology is not fully known. It can be seen in many different sizes in the mouth. The histopathological appearance of POF is mineralized tissue and fibrous proliferation. All relevant soft and hard tissues must be removed to prevent recurrence. Periodontal tissue remaining after excision is important for tooth preservation. With large lesions, the loss of healthy periodontal tissue is also large. Periodontal surgical approaches are important to preserve the remaining periodontal tissue. The positive effects of autogenously obtained titanium-prepared platelet-rich fibrin (T-PRF) and connective tissue graft (CTG) on soft tissue are well known. A 34-year-old woman presented with a fibrous and pedunculated gingival mass in the upper left canine premolar region. The operation was performed with complete excision of the lesion down to the bone along with the surrounding healthy tissue. Periodontal treatment of the large defect created after excision of a large POF lesion was performed with laterally positioned flap, CTG and T-PRF. The periodontal tissue and defect were noted to heal in a healthy manner at the 6-month follow-up. POF is a benign lesion; however, it has a high recurrence rate. Complete elimination of the lesion is crucial to prevent recurrence. Periodontal surgical methods and biomaterials applied after surgical excision are significant to maintain the periodontal health of the remaining teeth and tissues.</p>","PeriodicalId":54447,"journal":{"name":"Romanian Journal of Morphology and Embryology","volume":"64 3","pages":"427-430"},"PeriodicalIF":1.5000,"publicationDate":"2023-07-01","publicationTypes":"Journal Article","fieldsOfStudy":null,"isOpenAccess":false,"openAccessPdf":"https://www.ncbi.nlm.nih.gov/pmc/articles/PMC10720930/pdf/","citationCount":"0","resultStr":null,"platform":"Semanticscholar","paperid":null,"PeriodicalName":"Romanian Journal of Morphology and Embryology","FirstCategoryId":"3","ListUrlMain":"https://doi.org/10.47162/RJME.64.3.14","RegionNum":4,"RegionCategory":"医学","ArticlePicture":[],"TitleCN":null,"AbstractTextCN":null,"PMCID":null,"EPubDate":"","PubModel":"","JCR":"Q4","JCRName":"DEVELOPMENTAL BIOLOGY","Score":null,"Total":0}
引用次数: 0

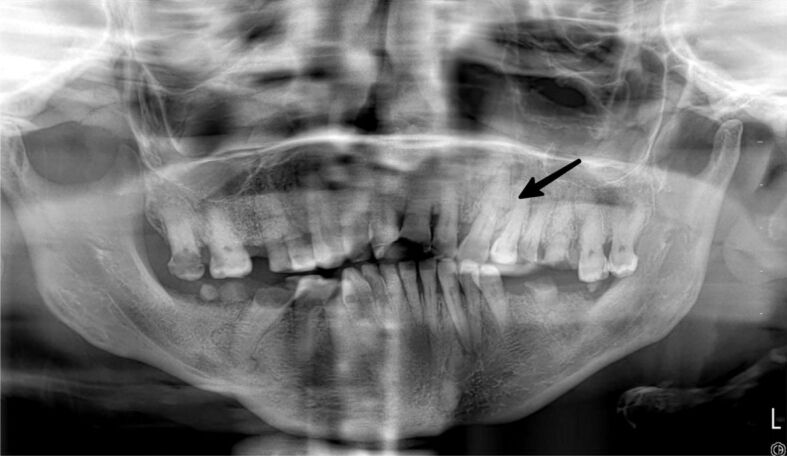
Abstract

Peripheral ossifying fibroma (POF) is a reactive, benign gingival enlargement. Its etiology is not fully known. It can be seen in many different sizes in the mouth. The histopathological appearance of POF is mineralized tissue and fibrous proliferation. All relevant soft and hard tissues must be removed to prevent recurrence. Periodontal tissue remaining after excision is important for tooth preservation. With large lesions, the loss of healthy periodontal tissue is also large. Periodontal surgical approaches are important to preserve the remaining periodontal tissue. The positive effects of autogenously obtained titanium-prepared platelet-rich fibrin (T-PRF) and connective tissue graft (CTG) on soft tissue are well known. A 34-year-old woman presented with a fibrous and pedunculated gingival mass in the upper left canine premolar region. The operation was performed with complete excision of the lesion down to the bone along with the surrounding healthy tissue. Periodontal treatment of the large defect created after excision of a large POF lesion was performed with laterally positioned flap, CTG and T-PRF. The periodontal tissue and defect were noted to heal in a healthy manner at the 6-month follow-up. POF is a benign lesion; however, it has a high recurrence rate. Complete elimination of the lesion is crucial to prevent recurrence. Periodontal surgical methods and biomaterials applied after surgical excision are significant to maintain the periodontal health of the remaining teeth and tissues.

Abstract Image

Abstract Image

Abstract Image

保存牙周组织治疗大型周围骨化纤维瘤:一例病例研究。
周围骨化性纤维瘤(POF)是一种反应性良性牙龈肿大。其病因尚不完全清楚。在口腔中可以看到许多不同大小的牙齿。POF的组织病理学表现为矿化组织和纤维增生。必须切除所有相关的软组织和硬组织,以防止复发。切除后残留的牙周组织对牙齿的保存很重要。随着病变的扩大,健康牙周组织的损失也很大。牙周手术方法对于保存剩余的牙周组织非常重要。自体获得的富含血小板的钛纤维蛋白(T-PRF)和结缔组织移植物(CTG)对软组织的积极作用是众所周知的。一名34岁的女性在左上犬齿前臼齿区域出现纤维状带蒂牙龈肿块。手术完全切除了病变,直至骨骼和周围的健康组织。大的POF病变切除后产生的大缺损的牙周治疗采用横向定位皮瓣、CTG和T-PRF。在6个月的随访中,牙周组织和缺损以健康的方式愈合。POF是一种良性病变;然而,它的复发率很高。彻底消除病变对防止复发至关重要。牙周手术方法和手术切除后应用的生物材料对维持剩余牙齿和组织的牙周健康具有重要意义。
本文章由计算机程序翻译,如有差异,请以英文原文为准。
求助全文
约1分钟内获得全文 求助全文
来源期刊
CiteScore
1.70
自引率
20.00%
发文量
221
审稿时长
3-8 weeks
期刊介绍: Romanian Journal of Morphology and Embryology (Rom J Morphol Embryol) publishes studies on all aspects of normal morphology and human comparative and experimental pathology. The Journal accepts only researches that utilize modern investigation methods (studies of anatomy, pathology, cytopathology, immunohistochemistry, histochemistry, immunology, morphometry, molecular and cellular biology, electronic microscopy, etc.).
×
引用
GB/T 7714-2015
复制
MLA
复制
APA
复制
导出至
BibTeX EndNote RefMan NoteFirst NoteExpress
×
提示
您的信息不完整,为了账户安全,请先补充。
现在去补充
×
提示
您因"违规操作"
具体请查看互助需知
我知道了
×
提示
确定
请完成安全验证×
copy
已复制链接
快去分享给好友吧!
我知道了
右上角分享
点击右上角分享
0
联系我们:info@booksci.cn Book学术提供免费学术资源搜索服务,方便国内外学者检索中英文文献。致力于提供最便捷和优质的服务体验。 Copyright © 2023 布克学术 All rights reserved.
京ICP备2023020795号-1
ghs 京公网安备 11010802042870号
Book学术文献互助
Book学术文献互助群
群 号:604180095
Book学术官方微信