Transient Co-Expression of Bioactive Murine Interferon-Gamma and HBsAg in Tobacco and Lettuce Leaves.

Q3 Biochemistry, Genetics and Molecular Biology
Sara Mohammadzadeh, Mahshid Amiri, Parastoo Ehsani
{"title":"Transient Co-Expression of Bioactive Murine Interferon-Gamma and HBsAg in Tobacco and Lettuce Leaves.","authors":"Sara Mohammadzadeh, Mahshid Amiri, Parastoo Ehsani","doi":"10.18502/ajmb.v15i4.13493","DOIUrl":null,"url":null,"abstract":"<p><strong>Background: </strong>The synchronous expression of antigen and adjuvant proteins in plant hosts presents an intriguing potential for vaccine production and the enhancement of appropriate immune responses. In this study, we examined the expression of bioactive murine interferon-gamma (mIFN-γ) along with HBsAg in tobacco and lettuce leaves aimed to further perform the analysis of immune responses in the mouse model.</p><p><strong>Methods: </strong>Monocistronic and bicistronic cassettes, carrying genes encoding mIFN-γ and HBsAg in various orders, were constructed. These cassettes were placed under the control of the 35S CaMV promoter and included the 5' leader sequence of Tobacco Ech Virus (TEV). Through Agrobacterium infiltration, the cassettes were transferred into plant leaves. The concentration of mIFN-γ in different constructs and HBsAg was tested by ELISA. Murine IFN-γ was characterized through Western blotting, and its bioactivity was evaluated by assessing the up-regulation of MHC class II in macrophages derived from mouse bone marrow.</p><p><strong>Results: </strong>Extracts of agroinfiltrated leaves contained recombinant mIFN-γ and HBsAg proteins at about 14 <i>unit/mg</i> and 50 <i>ng/mg</i> of soluble protein, respectively. Subsequently, mIFN-γ was purified from the plant extract and its ability to up-regulate MHC class II in mouse bone marrow-derived macrophages was confirmed by immunofluorescence.</p><p><strong>Conclusion: </strong>The co-expression of recombinant HBsAg and mIFN-γ using TEV 5' leader-based cassettes in tobacco and lettuce leaves produced both proteins with active mIFN-γ in different concentrations. The attractive utility and feasibility of using plant transient co-expression systems aimed to co-delivery of vaccine antigen and appropriate cytokine to elicit immune response for different applications.</p>","PeriodicalId":8669,"journal":{"name":"Avicenna journal of medical biotechnology","volume":" ","pages":"232-238"},"PeriodicalIF":0.0000,"publicationDate":"2023-10-01","publicationTypes":"Journal Article","fieldsOfStudy":null,"isOpenAccess":false,"openAccessPdf":"https://www.ncbi.nlm.nih.gov/pmc/articles/PMC10709757/pdf/","citationCount":"0","resultStr":null,"platform":"Semanticscholar","paperid":null,"PeriodicalName":"Avicenna journal of medical biotechnology","FirstCategoryId":"1085","ListUrlMain":"https://doi.org/10.18502/ajmb.v15i4.13493","RegionNum":0,"RegionCategory":null,"ArticlePicture":[],"TitleCN":null,"AbstractTextCN":null,"PMCID":null,"EPubDate":"","PubModel":"","JCR":"Q3","JCRName":"Biochemistry, Genetics and Molecular Biology","Score":null,"Total":0}
引用次数: 0

Abstract

Background: The synchronous expression of antigen and adjuvant proteins in plant hosts presents an intriguing potential for vaccine production and the enhancement of appropriate immune responses. In this study, we examined the expression of bioactive murine interferon-gamma (mIFN-γ) along with HBsAg in tobacco and lettuce leaves aimed to further perform the analysis of immune responses in the mouse model.

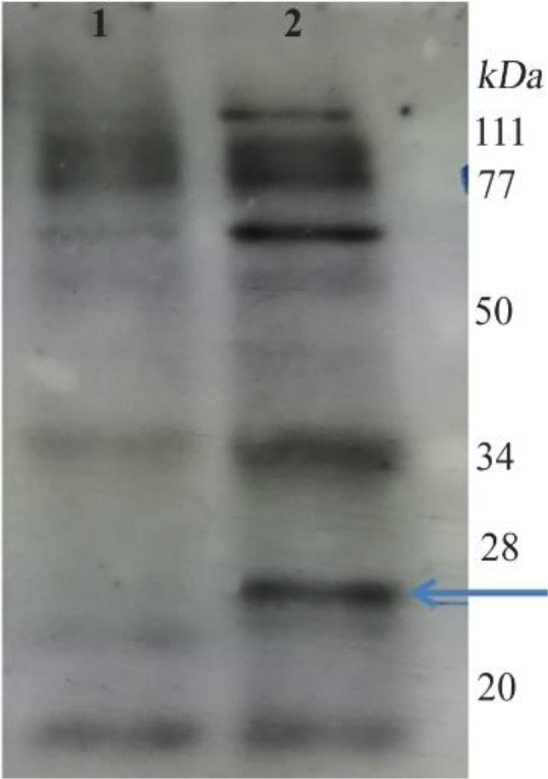
Methods: Monocistronic and bicistronic cassettes, carrying genes encoding mIFN-γ and HBsAg in various orders, were constructed. These cassettes were placed under the control of the 35S CaMV promoter and included the 5' leader sequence of Tobacco Ech Virus (TEV). Through Agrobacterium infiltration, the cassettes were transferred into plant leaves. The concentration of mIFN-γ in different constructs and HBsAg was tested by ELISA. Murine IFN-γ was characterized through Western blotting, and its bioactivity was evaluated by assessing the up-regulation of MHC class II in macrophages derived from mouse bone marrow.

Results: Extracts of agroinfiltrated leaves contained recombinant mIFN-γ and HBsAg proteins at about 14 unit/mg and 50 ng/mg of soluble protein, respectively. Subsequently, mIFN-γ was purified from the plant extract and its ability to up-regulate MHC class II in mouse bone marrow-derived macrophages was confirmed by immunofluorescence.

Conclusion: The co-expression of recombinant HBsAg and mIFN-γ using TEV 5' leader-based cassettes in tobacco and lettuce leaves produced both proteins with active mIFN-γ in different concentrations. The attractive utility and feasibility of using plant transient co-expression systems aimed to co-delivery of vaccine antigen and appropriate cytokine to elicit immune response for different applications.

Abstract Image

Abstract Image

Abstract Image

生物活性小鼠干扰素γ和HBsAg在烟草和生菜中的瞬时共表达
背景:抗原和佐剂蛋白在植物宿主中的同步表达为疫苗生产和增强适当的免疫反应提供了有趣的潜力。在本研究中,我们检测了具有生物活性的小鼠干扰素-γ(mIFN-γ)和HBsAg在烟草和生菜叶片中的表达,旨在进一步分析小鼠模型中的免疫反应。方法:构建单顺反子和双顺反子盒,分别携带不同顺序编码mIFN-γ和HBsAg的基因。这些盒置于35S-CaMV启动子的控制下,并包括烟草棘突病毒(TEV)的5前导序列。通过土壤杆菌的渗透,将卡带转移到植物叶片中。用ELISA法检测不同构建体和HBsAg中mIFN-γ的浓度。通过Western印迹对小鼠IFN-γ进行了表征,并通过评估小鼠骨髓巨噬细胞中MHC II类的上调来评估其生物活性。结果:农业渗透叶提取物含有重组mIFN-γ和HBsAg蛋白,可溶性蛋白含量分别约为14单位/mg和50 ng/mg。随后,从植物提取物中纯化mIFN-γ,并通过免疫荧光证实其上调小鼠骨髓源性巨噬细胞MHC II类的能力。结论:在烟草和生菜叶片中使用基于TEV 5前导的盒体共表达重组HBsAg和mIFN-γ,产生了不同浓度的具有活性mIFN-β的两种蛋白质。使用植物瞬时共表达系统旨在共递送疫苗抗原和适当的细胞因子,以引发不同应用的免疫反应,其具有吸引力的实用性和可行性。
本文章由计算机程序翻译,如有差异,请以英文原文为准。
求助全文
约1分钟内获得全文 求助全文
来源期刊
Avicenna journal of medical biotechnology
Avicenna journal of medical biotechnology Biochemistry, Genetics and Molecular Biology-Biotechnology
CiteScore
2.90
自引率
0.00%
发文量
43
×
引用
GB/T 7714-2015
复制
MLA
复制
APA
复制
导出至
BibTeX EndNote RefMan NoteFirst NoteExpress
×
提示
您的信息不完整,为了账户安全,请先补充。
现在去补充
×
提示
您因"违规操作"
具体请查看互助需知
我知道了
×
提示
确定
请完成安全验证×
copy
已复制链接
快去分享给好友吧!
我知道了
右上角分享
点击右上角分享
0
联系我们:info@booksci.cn Book学术提供免费学术资源搜索服务,方便国内外学者检索中英文文献。致力于提供最便捷和优质的服务体验。 Copyright © 2023 布克学术 All rights reserved.
京ICP备2023020795号-1
ghs 京公网安备 11010802042870号
Book学术文献互助
Book学术文献互助群
群 号:604180095
Book学术官方微信