Leukotriene B4 Loaded in Microspheres Inhibits Osteoclast Differentiation and Activation.

Q2 Medicine
Francine Lorencetti-Silva, Maya Fernanda Manfrin Arnez, João Pedro de Queiroz Thomé, Marcio Santos de Carvalho, Fabrício Kitazono de Carvalho, Alexandra Mussolino de Queiroz, Lúcia Helena Faccioli, Francisco Wanderley Garcia Paula-Silva
{"title":"Leukotriene B4 Loaded in Microspheres Inhibits Osteoclast Differentiation and Activation.","authors":"Francine Lorencetti-Silva, Maya Fernanda Manfrin Arnez, João Pedro de Queiroz Thomé, Marcio Santos de Carvalho, Fabrício Kitazono de Carvalho, Alexandra Mussolino de Queiroz, Lúcia Helena Faccioli, Francisco Wanderley Garcia Paula-Silva","doi":"10.1590/0103-6440202204827","DOIUrl":null,"url":null,"abstract":"<p><p>To investigate osteoclast formation in vivo and if leukotriene B4 (LTB4) loaded in microspheres (MS) could be used as a therapeutical strategy to promote a sustained delivery of the mediator and prevent osteoclast differentiation. Methods: In vivo, apical periodontitis was induced in mice to investigate osteoclast differentiation and signaling in absence of 5-lipoxygenase (5-LO). In vitro, LTB4-MS were prepared using an oil-in-water emulsion solvent extraction-evaporation process. Characterization and efficiency of LTB4 encapsulation were investigated. J774A.1 macrophages were cultured in the presence of monocyte colony-stimulating factor (M-CSF) and ligand for receptor activator of nuclear factor kappa B (RANKL) and then stimulated with LTB4-MS. Cytotoxicity, in vitro MS-LTB4 uptake, osteoclast formation and gene expression were measured. Results: We found that 5-LO negatively regulates osteoclastic formation in vivo during apical periodontitis development. In vitro, LTB4-MS were up-taken by macrophages and were not cytotoxic to the cells. LTB4-MS inhibited osteoclast formation and the synthesis of osteoclastogenic genes Acp5, Mmp9, Calcr and Ctsk. LTB4-MS inhibited differentiation of macrophages into an osteoclastic phenotype and cell activation under M-CSF and RANKL stimulus.</p>","PeriodicalId":9211,"journal":{"name":"Brazilian dental journal","volume":"33 1","pages":"35-45"},"PeriodicalIF":0.0000,"publicationDate":"2022-09-01","publicationTypes":"Journal Article","fieldsOfStudy":null,"isOpenAccess":false,"openAccessPdf":"https://www.ncbi.nlm.nih.gov/pmc/articles/PMC9645171/pdf/","citationCount":"0","resultStr":null,"platform":"Semanticscholar","paperid":null,"PeriodicalName":"Brazilian dental journal","FirstCategoryId":"1085","ListUrlMain":"https://doi.org/10.1590/0103-6440202204827","RegionNum":0,"RegionCategory":null,"ArticlePicture":[],"TitleCN":null,"AbstractTextCN":null,"PMCID":null,"EPubDate":"","PubModel":"","JCR":"Q2","JCRName":"Medicine","Score":null,"Total":0}
引用次数: 0

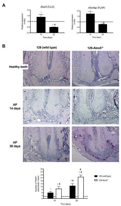
Abstract

To investigate osteoclast formation in vivo and if leukotriene B4 (LTB4) loaded in microspheres (MS) could be used as a therapeutical strategy to promote a sustained delivery of the mediator and prevent osteoclast differentiation. Methods: In vivo, apical periodontitis was induced in mice to investigate osteoclast differentiation and signaling in absence of 5-lipoxygenase (5-LO). In vitro, LTB4-MS were prepared using an oil-in-water emulsion solvent extraction-evaporation process. Characterization and efficiency of LTB4 encapsulation were investigated. J774A.1 macrophages were cultured in the presence of monocyte colony-stimulating factor (M-CSF) and ligand for receptor activator of nuclear factor kappa B (RANKL) and then stimulated with LTB4-MS. Cytotoxicity, in vitro MS-LTB4 uptake, osteoclast formation and gene expression were measured. Results: We found that 5-LO negatively regulates osteoclastic formation in vivo during apical periodontitis development. In vitro, LTB4-MS were up-taken by macrophages and were not cytotoxic to the cells. LTB4-MS inhibited osteoclast formation and the synthesis of osteoclastogenic genes Acp5, Mmp9, Calcr and Ctsk. LTB4-MS inhibited differentiation of macrophages into an osteoclastic phenotype and cell activation under M-CSF and RANKL stimulus.

Abstract Image

Abstract Image

Abstract Image

微球负载白三烯B4抑制破骨细胞分化和活化
摘要研究体内破骨细胞的形成,以及微球(MS)中负载的白三烯B4(LTB4)是否可以用作促进介质持续递送和防止破骨细胞分化的治疗策略。方法:在体内诱导小鼠根尖周炎,以研究在缺乏5-脂氧合酶(5-LO)的情况下破骨细胞的分化和信号传导。在体外,使用水包油乳液溶剂萃取蒸发工艺制备LTB4-MS。研究了LTB4包封的特性和包封效率。J774A.1巨噬细胞在单核细胞集落刺激因子(M-CSF)和核因子κB受体激活剂配体(RANKL)存在下培养,然后用LTB4-MS刺激。测定细胞毒性、体外MS-LTB4摄取、破骨细胞形成和基因表达。结果:我们发现5-LO在根尖周炎发展过程中对体内破骨细胞的形成具有负调控作用。在体外,LTB4-MS被巨噬细胞吸收,对细胞没有细胞毒性。LTB4-MS抑制破骨细胞的形成和破骨基因Acp5、Mmp9、Calcr和Ctsk的合成。LTB4-MS在M-CSF和RANKL刺激下抑制巨噬细胞向破骨细胞表型的分化和细胞活化。
本文章由计算机程序翻译,如有差异,请以英文原文为准。
求助全文
约1分钟内获得全文 求助全文
来源期刊
Brazilian dental journal
Brazilian dental journal Dentistry-Dentistry (all)
CiteScore
2.20
自引率
0.00%
发文量
69
审稿时长
12 weeks
期刊介绍: Brazilian Dental Journal, publishes Full-Length Papers, Short Communications and Case Reports, dealing with dentistry or related disciplines and edited six times a year.
×
引用
GB/T 7714-2015
复制
MLA
复制
APA
复制
导出至
BibTeX EndNote RefMan NoteFirst NoteExpress
×
提示
您的信息不完整,为了账户安全,请先补充。
现在去补充
×
提示
您因"违规操作"
具体请查看互助需知
我知道了
×
提示
确定
请完成安全验证×
copy
已复制链接
快去分享给好友吧!
我知道了
右上角分享
点击右上角分享
0
联系我们:info@booksci.cn Book学术提供免费学术资源搜索服务,方便国内外学者检索中英文文献。致力于提供最便捷和优质的服务体验。 Copyright © 2023 布克学术 All rights reserved.
京ICP备2023020795号-1
ghs 京公网安备 11010802042870号
Book学术文献互助
Book学术文献互助群
群 号:604180095
Book学术官方微信