Automatic classification and neurotransmitter prediction of synapses in electron microscopy.

Biological imaging Pub Date : 2022-07-29 eCollection Date: 2022-01-01 DOI:10.1017/S2633903X2200006X
Angela Zhang, S Shailja, Cezar Borba, Yishen Miao, Michael Goebel, Raphael Ruschel, Kerrianne Ryan, William Smith, B S Manjunath
{"title":"Automatic classification and neurotransmitter prediction of synapses in electron microscopy.","authors":"Angela Zhang, S Shailja, Cezar Borba, Yishen Miao, Michael Goebel, Raphael Ruschel, Kerrianne Ryan, William Smith, B S Manjunath","doi":"10.1017/S2633903X2200006X","DOIUrl":null,"url":null,"abstract":"<p><p>This paper presents a deep-learning-based workflow to detect synapses and predict their neurotransmitter type in the primitive chordate <i>Ciona intestinalis</i> (<i>Ciona</i>) electron microscopic (EM) images. Identifying synapses from EM images to build a full map of connections between neurons is a labor-intensive process and requires significant domain expertise. Automation of synapse classification would hasten the generation and analysis of connectomes. Furthermore, inferences concerning neuron type and function from synapse features are in many cases difficult to make. Finding the connection between synapse structure and function is an important step in fully understanding a connectome. Class Activation Maps derived from the convolutional neural network provide insights on important features of synapses based on cell type and function. The main contribution of this work is in the differentiation of synapses by neurotransmitter type through the structural information in their EM images. This enables the prediction of neurotransmitter types for neurons in <i>Ciona</i>, which were previously unknown. The prediction model with code is available on GitHub.</p>","PeriodicalId":72371,"journal":{"name":"Biological imaging","volume":" ","pages":"e6"},"PeriodicalIF":0.0000,"publicationDate":"2022-07-29","publicationTypes":"Journal Article","fieldsOfStudy":null,"isOpenAccess":false,"openAccessPdf":"https://www.ncbi.nlm.nih.gov/pmc/articles/PMC10936391/pdf/","citationCount":"0","resultStr":null,"platform":"Semanticscholar","paperid":null,"PeriodicalName":"Biological imaging","FirstCategoryId":"1085","ListUrlMain":"https://doi.org/10.1017/S2633903X2200006X","RegionNum":0,"RegionCategory":null,"ArticlePicture":[],"TitleCN":null,"AbstractTextCN":null,"PMCID":null,"EPubDate":"2022/1/1 0:00:00","PubModel":"eCollection","JCR":"","JCRName":"","Score":null,"Total":0}
引用次数: 0

Abstract

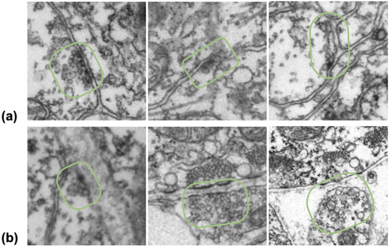
This paper presents a deep-learning-based workflow to detect synapses and predict their neurotransmitter type in the primitive chordate Ciona intestinalis (Ciona) electron microscopic (EM) images. Identifying synapses from EM images to build a full map of connections between neurons is a labor-intensive process and requires significant domain expertise. Automation of synapse classification would hasten the generation and analysis of connectomes. Furthermore, inferences concerning neuron type and function from synapse features are in many cases difficult to make. Finding the connection between synapse structure and function is an important step in fully understanding a connectome. Class Activation Maps derived from the convolutional neural network provide insights on important features of synapses based on cell type and function. The main contribution of this work is in the differentiation of synapses by neurotransmitter type through the structural information in their EM images. This enables the prediction of neurotransmitter types for neurons in Ciona, which were previously unknown. The prediction model with code is available on GitHub.

Abstract Image

Abstract Image

Abstract Image

电子显微镜下突触的自动分类和神经递质预测
摘要本文提出了一种基于深度学习的工作流程,用于在原始肠索细胞(Ciona intestinalis)的电镜(EM)图像中检测突触并预测其神经递质类型。从EM图像中识别突触以构建神经元之间连接的完整地图是一个劳动密集型过程,需要大量的领域专业知识。突触分类的自动化将加速连接体的产生和分析。此外,在许多情况下,从突触特征推断神经元类型和功能是困难的。找到突触结构和功能之间的联系是充分理解连接体的重要一步。源自卷积神经网络的类激活图提供了基于细胞类型和功能的突触重要特征的见解。这项工作的主要贡献是通过神经递质类型的EM图像中的结构信息来区分突触。这使得能够预测Ciona神经元的神经递质类型,而这些类型以前是未知的。GitHub上提供了带有代码的预测模型。
本文章由计算机程序翻译,如有差异,请以英文原文为准。
求助全文
约1分钟内获得全文 求助全文
来源期刊
自引率
0.00%
发文量
0
×
引用
GB/T 7714-2015
复制
MLA
复制
APA
复制
导出至
BibTeX EndNote RefMan NoteFirst NoteExpress
×
提示
您的信息不完整,为了账户安全,请先补充。
现在去补充
×
提示
您因"违规操作"
具体请查看互助需知
我知道了
×
提示
确定
请完成安全验证×
copy
已复制链接
快去分享给好友吧!
我知道了
右上角分享
点击右上角分享
0
联系我们:info@booksci.cn Book学术提供免费学术资源搜索服务,方便国内外学者检索中英文文献。致力于提供最便捷和优质的服务体验。 Copyright © 2023 布克学术 All rights reserved.
京ICP备2023020795号-1
ghs 京公网安备 11010802042870号
Book学术文献互助
Book学术文献互助群
群 号:604180095
Book学术官方微信