Selective Fetal Growth Restriction in Monochorionic Diamniotic Twins: Diagnosis and Management.

IF 1.7
Alicia Mazer Zumaeta, María Mar Gil, Miguel Rodríguez-Fernández, Pilar Carretero, José Hector Ochoa, María Cristina Casanova, Francisca Sonia Molina
{"title":"Selective Fetal Growth Restriction in Monochorionic Diamniotic Twins: Diagnosis and Management.","authors":"Alicia Mazer Zumaeta, María Mar Gil, Miguel Rodríguez-Fernández, Pilar Carretero, José Hector Ochoa, María Cristina Casanova, Francisca Sonia Molina","doi":"10.1097/FM9.0000000000000171","DOIUrl":null,"url":null,"abstract":"<p><p>Selective fetal growth restriction (sFGR) is a severe condition that complicates 10% to 15% of all monochorionic diamniotic (MCDA) twin pregnancies. Pregnancies complicated with sFGR are at high risk of intrauterine demise or adverse perinatal outcome for the twins. Three clinical types have been described according to the umbilical artery (UA) Doppler pattern observed in the smaller twin: type I, when the UA Doppler is normal; type II, when there is persistent absent or reversed end-diastolic blood flow in the UA Doppler; and type III, when there is intermittent absent and/or reversed end-diastolic blood flow in the UA Doppler. Clinical evolution and management options mainly depend on the type of sFGR. Type I is usually associated with a good prognosis and is managed conservatively. There is no consensus on the management of types II and III, but in earlier and more severe presentations, fetal interventions such as selective laser photocoagulation of placental anastomoses or selective fetal cord occlusion of the smaller twin may be considered. This review aims to provide updated information about the diagnosis, evaluation, follow-up, and management of sFGR in MCDA twin pregnancies.</p>","PeriodicalId":74121,"journal":{"name":"Maternal-fetal medicine (Wolters Kluwer Health, Inc.)","volume":"4 1","pages":"268-275"},"PeriodicalIF":1.7000,"publicationDate":"2022-09-21","publicationTypes":"Journal Article","fieldsOfStudy":null,"isOpenAccess":false,"openAccessPdf":"https://www.ncbi.nlm.nih.gov/pmc/articles/PMC12087895/pdf/","citationCount":"0","resultStr":null,"platform":"Semanticscholar","paperid":null,"PeriodicalName":"Maternal-fetal medicine (Wolters Kluwer Health, Inc.)","FirstCategoryId":"1085","ListUrlMain":"https://doi.org/10.1097/FM9.0000000000000171","RegionNum":0,"RegionCategory":null,"ArticlePicture":[],"TitleCN":null,"AbstractTextCN":null,"PMCID":null,"EPubDate":"2022/10/1 0:00:00","PubModel":"eCollection","JCR":"","JCRName":"","Score":null,"Total":0}
引用次数: 0

Abstract

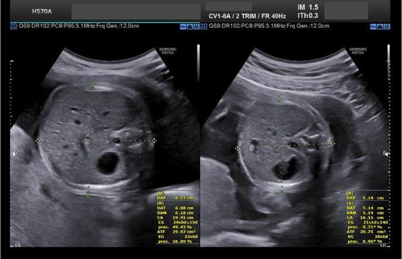
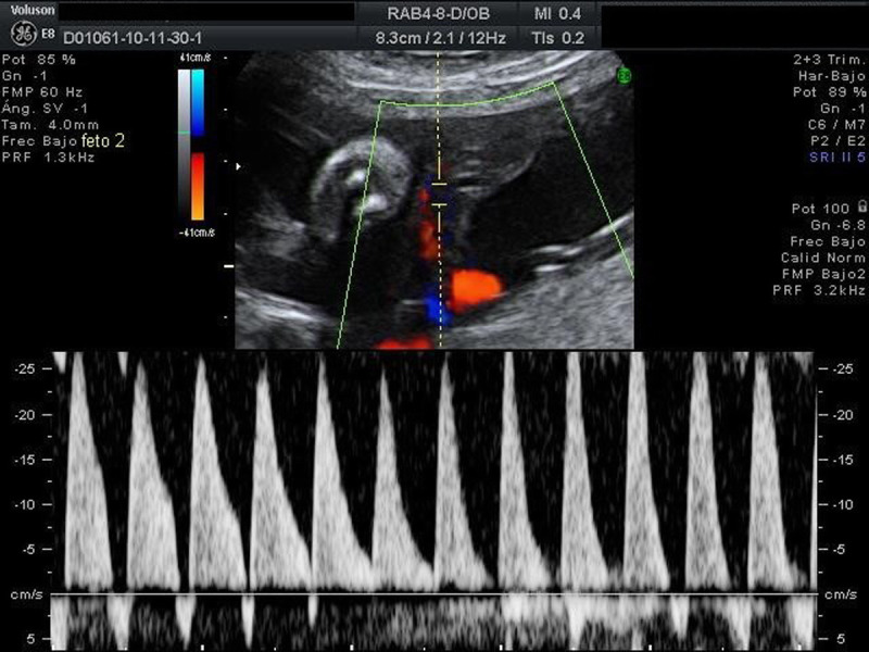
Selective fetal growth restriction (sFGR) is a severe condition that complicates 10% to 15% of all monochorionic diamniotic (MCDA) twin pregnancies. Pregnancies complicated with sFGR are at high risk of intrauterine demise or adverse perinatal outcome for the twins. Three clinical types have been described according to the umbilical artery (UA) Doppler pattern observed in the smaller twin: type I, when the UA Doppler is normal; type II, when there is persistent absent or reversed end-diastolic blood flow in the UA Doppler; and type III, when there is intermittent absent and/or reversed end-diastolic blood flow in the UA Doppler. Clinical evolution and management options mainly depend on the type of sFGR. Type I is usually associated with a good prognosis and is managed conservatively. There is no consensus on the management of types II and III, but in earlier and more severe presentations, fetal interventions such as selective laser photocoagulation of placental anastomoses or selective fetal cord occlusion of the smaller twin may be considered. This review aims to provide updated information about the diagnosis, evaluation, follow-up, and management of sFGR in MCDA twin pregnancies.

Abstract Image

Abstract Image

Abstract Image

单绒毛膜双胎双胞胎选择性胎儿生长限制:诊断和处理
摘要选择性胎儿生长受限(sFGR)是一种严重的疾病,使10%至15%的单核细胞性二羟(MCDA)双胎妊娠复杂化。妊娠合并sFGR的双胞胎有很高的宫内死亡或不良围产期结局的风险。根据在较小双胞胎中观察到的脐动脉(UA)多普勒模式,已经描述了三种临床类型:I型,当UA多普勒正常时;II型,当UA多普勒中存在持续的舒张末期血流缺失或反向时;以及当UA多普勒中存在间歇性的舒张末期血流缺失和/或反向时的III型。临床演变和管理选择主要取决于sFGR的类型。I型通常与良好的预后相关,并且是保守治疗的。对于II型和III型的治疗还没有达成共识,但在早期和更严重的表现中,可以考虑胎儿干预措施,如选择性激光凝固胎盘吻合或选择性胎儿脐带闭塞较小的双胞胎。本综述旨在提供有关MCDA双胎妊娠sFGR的诊断、评估、随访和管理的最新信息。
本文章由计算机程序翻译,如有差异,请以英文原文为准。
求助全文
约1分钟内获得全文 求助全文
来源期刊
自引率
0.00%
发文量
0
×
引用
GB/T 7714-2015
复制
MLA
复制
APA
复制
导出至
BibTeX EndNote RefMan NoteFirst NoteExpress
×
提示
您的信息不完整,为了账户安全,请先补充。
现在去补充
×
提示
您因"违规操作"
具体请查看互助需知
我知道了
×
提示
确定
请完成安全验证×
copy
已复制链接
快去分享给好友吧!
我知道了
右上角分享
点击右上角分享
0
联系我们:info@booksci.cn Book学术提供免费学术资源搜索服务,方便国内外学者检索中英文文献。致力于提供最便捷和优质的服务体验。 Copyright © 2023 布克学术 All rights reserved.
京ICP备2023020795号-1
ghs 京公网安备 11010802042870号
Book学术文献互助
Book学术文献互助群
群 号:604180095
Book学术官方微信