The worst is yet to come: probable sporadic Creutzfeldt-Jakob disease in a well-controlled HIV patient.

IF 1.6 3区 生物学 Q4 BIOCHEMISTRY & MOLECULAR BIOLOGY
Euripedes Gomes De Carvalho Neto, Matheus Ferreira Gomes, Marina De Oliveira, Maryuris Isabel Niño Guete, Iuri Pereira Santos, Mateus Damiani Monteiro, Fernando Gustavo Stelzer, Fernando Kowacs, Liselotte Menke Barea
{"title":"The worst is yet to come: probable sporadic Creutzfeldt-Jakob disease in a well-controlled HIV patient.","authors":"Euripedes Gomes De Carvalho Neto, Matheus Ferreira Gomes, Marina De Oliveira, Maryuris Isabel Niño Guete, Iuri Pereira Santos, Mateus Damiani Monteiro, Fernando Gustavo Stelzer, Fernando Kowacs, Liselotte Menke Barea","doi":"10.1080/19336896.2019.1648985","DOIUrl":null,"url":null,"abstract":"<p><p>We describe a case of probable sporadic Creutzfeldt-Jakob disease in the setting of well-controlled HIV and discuss whether exist, in fact, HIV-related factors that may predispose to the development of prion disease. To the best of our knowledge, this is the third report of this association.</p>","PeriodicalId":54585,"journal":{"name":"Prion","volume":"13 1","pages":"156-159"},"PeriodicalIF":1.6000,"publicationDate":"2019-01-01","publicationTypes":"Journal Article","fieldsOfStudy":null,"isOpenAccess":false,"openAccessPdf":"https://www.ncbi.nlm.nih.gov/pmc/articles/PMC6746544/pdf/","citationCount":"0","resultStr":null,"platform":"Semanticscholar","paperid":null,"PeriodicalName":"Prion","FirstCategoryId":"99","ListUrlMain":"https://doi.org/10.1080/19336896.2019.1648985","RegionNum":3,"RegionCategory":"生物学","ArticlePicture":[],"TitleCN":null,"AbstractTextCN":null,"PMCID":null,"EPubDate":"","PubModel":"","JCR":"Q4","JCRName":"BIOCHEMISTRY & MOLECULAR BIOLOGY","Score":null,"Total":0}
引用次数: 0

Abstract

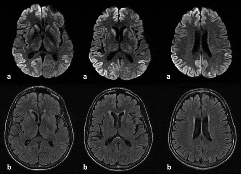
We describe a case of probable sporadic Creutzfeldt-Jakob disease in the setting of well-controlled HIV and discuss whether exist, in fact, HIV-related factors that may predispose to the development of prion disease. To the best of our knowledge, this is the third report of this association.

Abstract Image

Abstract Image

最糟糕的情况还在后头:一名控制良好的艾滋病患者可能会出现散发性克雅氏病
摘要:我们描述了一例在HIV控制良好的情况下可能发生散发性克雅氏病的病例,并讨论了是否存在可能导致朊病毒疾病发展的HIV相关因素。据我们所知,这是该协会的第三份报告。
本文章由计算机程序翻译,如有差异,请以英文原文为准。
求助全文
约1分钟内获得全文 求助全文
来源期刊
Prion
Prion 生物-生化与分子生物学
CiteScore
5.20
自引率
4.30%
发文量
13
审稿时长
6-12 weeks
期刊介绍: Prion is the first international peer-reviewed open access journal to focus exclusively on protein folding and misfolding, protein assembly disorders, protein-based and structural inheritance. The goal is to foster communication and rapid exchange of information through timely publication of important results using traditional as well as electronic formats. The overriding criteria for publication in Prion are originality, scientific merit and general interest.
×
引用
GB/T 7714-2015
复制
MLA
复制
APA
复制
导出至
BibTeX EndNote RefMan NoteFirst NoteExpress
×
提示
您的信息不完整,为了账户安全,请先补充。
现在去补充
×
提示
您因"违规操作"
具体请查看互助需知
我知道了
×
提示
确定
请完成安全验证×
copy
已复制链接
快去分享给好友吧!
我知道了
右上角分享
点击右上角分享
0
联系我们:info@booksci.cn Book学术提供免费学术资源搜索服务,方便国内外学者检索中英文文献。致力于提供最便捷和优质的服务体验。 Copyright © 2023 布克学术 All rights reserved.
京ICP备2023020795号-1
ghs 京公网安备 11010802042870号
Book学术文献互助
Book学术文献互助群
群 号:604180095
Book学术官方微信