Brief potentially ictal rhythmic discharges on intraoperative electrocorticography predict a good outcome of focal cortical dysplasia after surgical resection: a case report.

IF 1.2 Q4 CLINICAL NEUROLOGY
Sofía S Sánchez-Boluarte, Wilfor Aguirre-Quispe, Manuel Herrera Aramburú, William O Tatum, Walter De La Cruz Ramírez
{"title":"Brief potentially ictal rhythmic discharges on intraoperative electrocorticography predict a good outcome of focal cortical dysplasia after surgical resection: a case report.","authors":"Sofía S Sánchez-Boluarte, Wilfor Aguirre-Quispe, Manuel Herrera Aramburú, William O Tatum, Walter De La Cruz Ramírez","doi":"10.1186/s42494-023-00131-6","DOIUrl":null,"url":null,"abstract":"<p><strong>Background: </strong>Focal cortical dysplasia (FCD) is a common cause of drug-resistant epilepsy. Electroencephalography (EEG) biomarkers that predict good postoperative outcomes are essential for identifying patients with focal epilepsies.</p><p><strong>Case presentation: </strong>We report the case of a 21-year-old female with seizure onset at the age of 9, characterized by left-hand dystonic posturing and impaired awareness, which evolved to bilateral tonic-clonic seizures, evaluated in a neurological referral center in Lima, Peru. During 6-h video-EEG, interictal EEG revealing focal brief potentially ictal rhythmic discharges (BIRDs) over the right frontal central region, lasting less than 10 s. The ictal features were characterized by low-voltage fast activity over the same area. Brain magnetic resonance imaging (MRI) demonstrated a focal lesion of focal cortical dysplasia type II in the right frontal lobe. The patient underwent a lesionectomy guided by electrocorticography, which showed continuous polyspikes. BIRDs showing a brief burst of spikes lasting longer than 0.5 s, were also identified on intraoperative electrocorticography (ECoG) and helped define the extent of resection. The patient obtained an Engel Outcome Class IA at 6 years of follow-up.</p><p><strong>Conclusions: </strong>The atypical BIRDs on ECoG can be used as a prognostic biomarker for prolonged seizure-freedom outcome in patients with epilepsy. Additional reports are needed in developing countries with and without brain MRI lesions to advance outpatient presurgical evaluations despite limited resources.</p>","PeriodicalId":33628,"journal":{"name":"Acta Epileptologica","volume":"5 1","pages":"18"},"PeriodicalIF":1.2000,"publicationDate":"2023-07-18","publicationTypes":"Journal Article","fieldsOfStudy":null,"isOpenAccess":false,"openAccessPdf":"https://www.ncbi.nlm.nih.gov/pmc/articles/PMC11960384/pdf/","citationCount":"0","resultStr":null,"platform":"Semanticscholar","paperid":null,"PeriodicalName":"Acta Epileptologica","FirstCategoryId":"1085","ListUrlMain":"https://doi.org/10.1186/s42494-023-00131-6","RegionNum":0,"RegionCategory":null,"ArticlePicture":[],"TitleCN":null,"AbstractTextCN":null,"PMCID":null,"EPubDate":"","PubModel":"","JCR":"Q4","JCRName":"CLINICAL NEUROLOGY","Score":null,"Total":0}
引用次数: 0

Abstract

Background: Focal cortical dysplasia (FCD) is a common cause of drug-resistant epilepsy. Electroencephalography (EEG) biomarkers that predict good postoperative outcomes are essential for identifying patients with focal epilepsies.

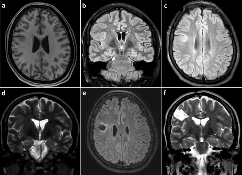
Case presentation: We report the case of a 21-year-old female with seizure onset at the age of 9, characterized by left-hand dystonic posturing and impaired awareness, which evolved to bilateral tonic-clonic seizures, evaluated in a neurological referral center in Lima, Peru. During 6-h video-EEG, interictal EEG revealing focal brief potentially ictal rhythmic discharges (BIRDs) over the right frontal central region, lasting less than 10 s. The ictal features were characterized by low-voltage fast activity over the same area. Brain magnetic resonance imaging (MRI) demonstrated a focal lesion of focal cortical dysplasia type II in the right frontal lobe. The patient underwent a lesionectomy guided by electrocorticography, which showed continuous polyspikes. BIRDs showing a brief burst of spikes lasting longer than 0.5 s, were also identified on intraoperative electrocorticography (ECoG) and helped define the extent of resection. The patient obtained an Engel Outcome Class IA at 6 years of follow-up.

Conclusions: The atypical BIRDs on ECoG can be used as a prognostic biomarker for prolonged seizure-freedom outcome in patients with epilepsy. Additional reports are needed in developing countries with and without brain MRI lesions to advance outpatient presurgical evaluations despite limited resources.

Abstract Image

Abstract Image

术中皮质电图上短暂的潜在的节律性放电预测手术切除后局灶性皮质发育不良的良好结果:一个病例报告
背景:局灶性皮质发育不良(FCD)是耐药性癫痫的常见病因。脑电图(EEG)生物标志物预测良好的术后预后是必要的,以确定局灶性癫痫患者。病例介绍:我们报告了一个21岁的女性在9岁时癫痫发作的病例,其特征是左手张力障碍姿势和意识受损,并演变为双侧强直阵挛性癫痫发作,在秘鲁利马的一家神经系统转诊中心进行了评估。在6小时的视频脑电图中,间歇期脑电图显示右侧额叶中央区域局部短暂的潜在节律性放电(BIRDs),持续时间不超过10秒。其特征是在同一区域的低电压快速活动。脑磁共振成像(MRI)显示右额叶局灶性皮质发育不良II型病灶。患者在皮质电图引导下行病灶切除术,发现连续多峰。术中皮质电图(ECoG)也发现了出现持续时间超过0.5 s的短暂尖峰爆发的鸟类,并有助于确定切除的范围。在6年的随访中,患者获得了Engel预后等级IA。结论:ECoG上的非典型BIRDs可作为癫痫患者长时间无发作结局的预后生物标志物。尽管资源有限,发展中国家有或没有脑MRI病变需要更多的报告,以推进门诊术前评估。
本文章由计算机程序翻译,如有差异,请以英文原文为准。
求助全文
约1分钟内获得全文 求助全文
来源期刊
Acta Epileptologica
Acta Epileptologica Medicine-Neurology (clinical)
CiteScore
2.00
自引率
0.00%
发文量
38
审稿时长
20 weeks
×
引用
GB/T 7714-2015
复制
MLA
复制
APA
复制
导出至
BibTeX EndNote RefMan NoteFirst NoteExpress
×
提示
您的信息不完整,为了账户安全,请先补充。
现在去补充
×
提示
您因"违规操作"
具体请查看互助需知
我知道了
×
提示
确定
请完成安全验证×
copy
已复制链接
快去分享给好友吧!
我知道了
右上角分享
点击右上角分享
0
联系我们:info@booksci.cn Book学术提供免费学术资源搜索服务,方便国内外学者检索中英文文献。致力于提供最便捷和优质的服务体验。 Copyright © 2023 布克学术 All rights reserved.
京ICP备2023020795号-1
ghs 京公网安备 11010802042870号
Book学术文献互助
Book学术文献互助群
群 号:604180095
Book学术官方微信