Diagnostic accuracy of the latest-generation digital PET/CT scanner for detection of metastatic lymph nodes in head and neck cancer.

IF 1.4
Frederick Butt, Lillian Dominguez-Konicki, Noah Tocci, Joseph Paydarfar, Marc Seltzer, David Pastel
{"title":"Diagnostic accuracy of the latest-generation digital PET/CT scanner for detection of metastatic lymph nodes in head and neck cancer.","authors":"Frederick Butt, Lillian Dominguez-Konicki, Noah Tocci, Joseph Paydarfar, Marc Seltzer, David Pastel","doi":"10.3389/fnume.2023.1184448","DOIUrl":null,"url":null,"abstract":"<p><strong>Purpose: </strong>The aim of this retrospective analysis was to assess the diagnostic accuracy of the latest-generation digital positron emission tomography/computed tomography (PET/CT) scanner in the detection of cervical lymph node metastasis in patients undergoing staging work-up for head and neck cancer.</p><p><strong>Materials and methods: </strong>A total of 55 consecutive patients with head and neck cancer at our institution who had a PET/CT after installation of the latest-generation PET/CT (Siemens Biograph Vision) who subsequently underwent surgical neck dissection were included. The nodal station location and number of reported PET/CT-positive metastatic lymph nodes were compared to a gold standard of final surgical pathology after neck dissection.</p><p><strong>Results: </strong>In total, 188 neck levels and 1,373 lymph nodes were resected; 56 neck levels (118 nodes) in 31 (56%) patients contained nodal metastases on surgical pathology. On a nodal level-by-level analysis, the overall sensitivity for the detection of lymph node metastases on the latest-generation PET/CT scanner was 96.4% and the specificity was 86.4%. The sensitivity and specificity for the neck side analysis were 94.0% and 63.7%, and for the individual patient analysis were 100% and 71%, respectively.</p><p><strong>Conclusions: </strong>In this single-institution study, latest-generation PET/CT had a high sensitivity and moderate to high specificity for detecting cervical node metastasis in head and neck cancer. Compared to data from older PET/CT scanners, the sensitivity of the latest-generation PET/CT was slightly higher, while the specificity was similar or slightly lower. Physicians involved in the management of head and neck cancer should be aware of possible changes in the overall diagnostic accuracy when changing to a latest-generation PET/CT scanner.</p>","PeriodicalId":73095,"journal":{"name":"Frontiers in nuclear medicine (Lausanne, Switzerland)","volume":" ","pages":"1184448"},"PeriodicalIF":1.4000,"publicationDate":"2023-05-30","publicationTypes":"Journal Article","fieldsOfStudy":null,"isOpenAccess":false,"openAccessPdf":"https://www.ncbi.nlm.nih.gov/pmc/articles/PMC11440969/pdf/","citationCount":"0","resultStr":null,"platform":"Semanticscholar","paperid":null,"PeriodicalName":"Frontiers in nuclear medicine (Lausanne, Switzerland)","FirstCategoryId":"1085","ListUrlMain":"https://doi.org/10.3389/fnume.2023.1184448","RegionNum":0,"RegionCategory":null,"ArticlePicture":[],"TitleCN":null,"AbstractTextCN":null,"PMCID":null,"EPubDate":"2023/1/1 0:00:00","PubModel":"eCollection","JCR":"","JCRName":"","Score":null,"Total":0}
引用次数: 0

Abstract

Purpose: The aim of this retrospective analysis was to assess the diagnostic accuracy of the latest-generation digital positron emission tomography/computed tomography (PET/CT) scanner in the detection of cervical lymph node metastasis in patients undergoing staging work-up for head and neck cancer.

Materials and methods: A total of 55 consecutive patients with head and neck cancer at our institution who had a PET/CT after installation of the latest-generation PET/CT (Siemens Biograph Vision) who subsequently underwent surgical neck dissection were included. The nodal station location and number of reported PET/CT-positive metastatic lymph nodes were compared to a gold standard of final surgical pathology after neck dissection.

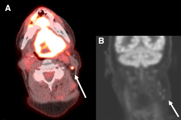
Results: In total, 188 neck levels and 1,373 lymph nodes were resected; 56 neck levels (118 nodes) in 31 (56%) patients contained nodal metastases on surgical pathology. On a nodal level-by-level analysis, the overall sensitivity for the detection of lymph node metastases on the latest-generation PET/CT scanner was 96.4% and the specificity was 86.4%. The sensitivity and specificity for the neck side analysis were 94.0% and 63.7%, and for the individual patient analysis were 100% and 71%, respectively.

Conclusions: In this single-institution study, latest-generation PET/CT had a high sensitivity and moderate to high specificity for detecting cervical node metastasis in head and neck cancer. Compared to data from older PET/CT scanners, the sensitivity of the latest-generation PET/CT was slightly higher, while the specificity was similar or slightly lower. Physicians involved in the management of head and neck cancer should be aware of possible changes in the overall diagnostic accuracy when changing to a latest-generation PET/CT scanner.

Abstract Image

Abstract Image

Abstract Image

最新一代数字PET/CT扫描仪检测头颈癌转移淋巴结的诊断准确性
目的本回顾性分析的目的是评估最新一代数字正电子发射断层扫描/计算机断层扫描(PET/CT)扫描仪在头颈部癌症分期检查中检测颈淋巴结转移的诊断准确性。材料与方法纳入我院连续55例头颈部癌症患者,他们在安装最新一代PET/CT(Siemens Biograph-Vision)后进行了PET/CT检查,随后进行了颈部解剖手术。将报告的PET/CT阳性转移淋巴结的淋巴结位置和数量与颈清扫后最终手术病理学的金标准进行比较。结果共切除颈部188个,淋巴结1373个;31例(56%)患者的56个颈部水平(118个淋巴结)在手术病理学上包含淋巴结转移。在逐级淋巴结分析中,最新一代PET/CT扫描仪检测淋巴结转移的总体灵敏度为96.4%,特异性为86.4%。颈侧分析的灵敏度和特异性分别为94.0%和63.7%,个体患者分析的灵敏度为100%和71%。结论在这项单机构研究中,最新一代PET/CT对检测癌症头颈部颈淋巴结转移具有高灵敏度和中高特异性。与旧一代PET/CT扫描仪的数据相比,最新一代的PET/CT的灵敏度略高,而特异性相似或略低。参与癌症头颈部管理的医生在更换最新一代PET/CT扫描仪时,应注意整体诊断准确性的可能变化。
本文章由计算机程序翻译,如有差异,请以英文原文为准。
求助全文
约1分钟内获得全文 求助全文
来源期刊
CiteScore
0.90
自引率
0.00%
发文量
0
×
引用
GB/T 7714-2015
复制
MLA
复制
APA
复制
导出至
BibTeX EndNote RefMan NoteFirst NoteExpress
×
提示
您的信息不完整,为了账户安全,请先补充。
现在去补充
×
提示
您因"违规操作"
具体请查看互助需知
我知道了
×
提示
确定
请完成安全验证×
copy
已复制链接
快去分享给好友吧!
我知道了
右上角分享
点击右上角分享
0
联系我们:info@booksci.cn Book学术提供免费学术资源搜索服务,方便国内外学者检索中英文文献。致力于提供最便捷和优质的服务体验。 Copyright © 2023 布克学术 All rights reserved.
京ICP备2023020795号-1
ghs 京公网安备 11010802042870号
Book学术文献互助
Book学术文献互助群
群 号:604180095
Book学术官方微信
小红书