Conservative Treatment of Fetal Goitrous Hypothyroidism Due to Thyroglobulin Mutations: A Case Report and Literature Review.

IF 1.7
Shiping Liu, Wei Bai, Ying Gao, Chunyan Shi, Lixin Fan, Junya Chen, Jian Shi, Weijie Sun, Xinlin Hou, Huixia Yang
{"title":"Conservative Treatment of Fetal Goitrous Hypothyroidism Due to Thyroglobulin Mutations: A Case Report and Literature Review.","authors":"Shiping Liu, Wei Bai, Ying Gao, Chunyan Shi, Lixin Fan, Junya Chen, Jian Shi, Weijie Sun, Xinlin Hou, Huixia Yang","doi":"10.1097/FM9.0000000000000191","DOIUrl":null,"url":null,"abstract":"<p><p>With the advances in fetal medicine, there will be more cases of congenital hypothyroidism (CH) diagnosed in the fetal period. However, there is no consensus on the management protocol. We present a successful case of conservatively managed fetal goitrous hypothyroidism due to compound heterozygous <i>TG</i> mutations. Goiter was observed in a fetus at 23 weeks of gestation. Because there was no evidence of transplacental passage of antithyroid antibody and drugs, iodine overload, and iodine deficiency, the fetus was highly suspected to have CH. Considering the potential risks of amniocentesis/cordocentesis, and lack of available parenteral levothyroxine in China, the fetus was closely monitored thereafter. A male neonate was delivered vaginally without complications at 39 weeks of gestation. We verified severe hypothyroidism in the infant and immediately initiated levothyroxine therapy. His growth and mental development were normal at the age of 8 month. Whole-exome sequencing showed that the neonate had two compound heterozygous mutations in the <i>TG</i> gene. We also performed a literature review of the prognosis of postnatal treatment of CH due to <i>TG</i> mutations and the result showed that postnatal treatment of CH due to <i>TG</i> mutations has a favorable prognosis. However, further prospective studies are warranted to verify this conclusion.</p>","PeriodicalId":74121,"journal":{"name":"Maternal-fetal medicine (Wolters Kluwer Health, Inc.)","volume":" ","pages":"182-186"},"PeriodicalIF":1.7000,"publicationDate":"2023-07-01","publicationTypes":"Journal Article","fieldsOfStudy":null,"isOpenAccess":false,"openAccessPdf":"https://www.ncbi.nlm.nih.gov/pmc/articles/PMC12096404/pdf/","citationCount":"0","resultStr":null,"platform":"Semanticscholar","paperid":null,"PeriodicalName":"Maternal-fetal medicine (Wolters Kluwer Health, Inc.)","FirstCategoryId":"1085","ListUrlMain":"https://doi.org/10.1097/FM9.0000000000000191","RegionNum":0,"RegionCategory":null,"ArticlePicture":[],"TitleCN":null,"AbstractTextCN":null,"PMCID":null,"EPubDate":"2023/5/18 0:00:00","PubModel":"Epub","JCR":"","JCRName":"","Score":null,"Total":0}
引用次数: 0

Abstract

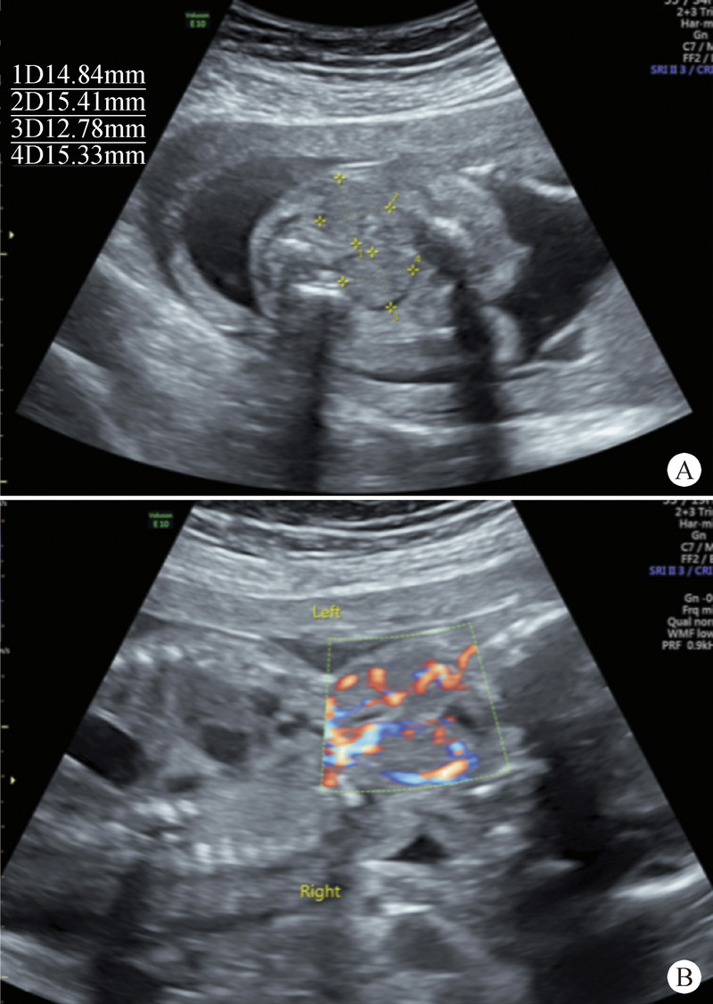
With the advances in fetal medicine, there will be more cases of congenital hypothyroidism (CH) diagnosed in the fetal period. However, there is no consensus on the management protocol. We present a successful case of conservatively managed fetal goitrous hypothyroidism due to compound heterozygous TG mutations. Goiter was observed in a fetus at 23 weeks of gestation. Because there was no evidence of transplacental passage of antithyroid antibody and drugs, iodine overload, and iodine deficiency, the fetus was highly suspected to have CH. Considering the potential risks of amniocentesis/cordocentesis, and lack of available parenteral levothyroxine in China, the fetus was closely monitored thereafter. A male neonate was delivered vaginally without complications at 39 weeks of gestation. We verified severe hypothyroidism in the infant and immediately initiated levothyroxine therapy. His growth and mental development were normal at the age of 8 month. Whole-exome sequencing showed that the neonate had two compound heterozygous mutations in the TG gene. We also performed a literature review of the prognosis of postnatal treatment of CH due to TG mutations and the result showed that postnatal treatment of CH due to TG mutations has a favorable prognosis. However, further prospective studies are warranted to verify this conclusion.

Abstract Image

Abstract Image

Abstract Image

甲状腺球蛋白突变致胎儿甲状腺功能减退症的保守治疗1例并文献复习
随着胎儿医学的发展,胎儿期诊断出先天性甲状腺功能减退症(CH)的病例将越来越多。然而,在管理协议上没有达成共识。我们提出一个成功的保守管理胎儿甲状腺功能减退症由于复合杂合TG突变。在妊娠23周的胎儿中观察到甲状腺肿大。由于未见抗甲状腺抗体和药物经胎盘通过、碘超载、碘缺乏的证据,高度怀疑胎儿患有CH。考虑到羊膜穿刺术/脐带穿刺术的潜在风险,以及国内缺乏有效的左甲状腺素,此后对胎儿进行了密切监测。一例男婴在妊娠39周顺产,无并发症。我们证实婴儿患有严重的甲状腺功能减退症,并立即开始左旋甲状腺素治疗。8个月时生长发育正常,智力发育正常。全外显子组测序结果显示,新生儿在TG基因上有两个复合杂合突变。我们还对TG突变所致CH的产后治疗预后进行了文献回顾,结果显示TG突变所致CH的产后治疗预后良好。然而,需要进一步的前瞻性研究来验证这一结论。
本文章由计算机程序翻译,如有差异,请以英文原文为准。
求助全文
约1分钟内获得全文 求助全文
来源期刊
自引率
0.00%
发文量
0
×
引用
GB/T 7714-2015
复制
MLA
复制
APA
复制
导出至
BibTeX EndNote RefMan NoteFirst NoteExpress
×
提示
您的信息不完整,为了账户安全,请先补充。
现在去补充
×
提示
您因"违规操作"
具体请查看互助需知
我知道了
×
提示
确定
请完成安全验证×
copy
已复制链接
快去分享给好友吧!
我知道了
右上角分享
点击右上角分享
0
联系我们:info@booksci.cn Book学术提供免费学术资源搜索服务,方便国内外学者检索中英文文献。致力于提供最便捷和优质的服务体验。 Copyright © 2023 布克学术 All rights reserved.
京ICP备2023020795号-1
ghs 京公网安备 11010802042870号
Book学术文献互助
Book学术文献互助群
群 号:604180095
Book学术官方微信