Successful Treatment of Pure Aqueductal Pilomyxoid Astrocytoma and Arrested Hydrocephalus With Endoscopic Tumor Resection Followed by Chemotherapy: A Case Report and Technical Considerations.

Neurosurgery open Pub Date : 2023-02-02 eCollection Date: 2023-03-01 DOI:10.1227/neuprac.0000000000000030
Kiyohiko Sakata, Aya Hashimoto, Yoshikuni Kotaki, Hidenobu Yoshitake, Shoko Shimokawa, Satoru Komaki, Hideo Nakamura, Takuya Furuta, Motohiro Morioka
{"title":"Successful Treatment of Pure Aqueductal Pilomyxoid Astrocytoma and Arrested Hydrocephalus With Endoscopic Tumor Resection Followed by Chemotherapy: A Case Report and Technical Considerations.","authors":"Kiyohiko Sakata, Aya Hashimoto, Yoshikuni Kotaki, Hidenobu Yoshitake, Shoko Shimokawa, Satoru Komaki, Hideo Nakamura, Takuya Furuta, Motohiro Morioka","doi":"10.1227/neuprac.0000000000000030","DOIUrl":null,"url":null,"abstract":"<p><strong>Background and importance: </strong>Pure aqueductal tumors are extremely rare and may lead to death, regardless of histopathology. We report the first case of pure aqueductal pilomyxoid astrocytoma in an adult woman with arrested hydrocephalus. Endoscopic tumor resection for securing aqueductal patency followed by chemotherapy allowed control of both the tumor and the hydrocephalus.</p><p><strong>Clinical presentation: </strong>A 20-year-old woman presented with mild cognitive dysfunction and marked ventricular dilatation. She had no preoperative symptoms of intracranial hypertension, and her head circumference was more than 2 SDs above the 98th percentile. The aqueduct of Sylvius was entirely occupied by a neoplastic lesion with 2 periventricular nodules at the wall of the third ventricle and anterior horn of the right lateral ventricle. She was treated successfully with endoscopic tumor resection followed by chemotherapy, and the patency of the aqueduct of Sylvius was secured throughout the duration of treatment.</p><p><strong>Conclusion: </strong>Pure aqueductal tumors may be an appropriate indication for endoscopic tumor resection to secure the aqueductal patency of cerebrospinal fluid. This case demonstrates the surgical technique of a combined rigid-flexible endoscopic transforaminal approach, which was a useful surgical intervention for the management of this patient.</p>","PeriodicalId":93342,"journal":{"name":"Neurosurgery open","volume":" ","pages":"e00030"},"PeriodicalIF":0.0000,"publicationDate":"2023-02-02","publicationTypes":"Journal Article","fieldsOfStudy":null,"isOpenAccess":false,"openAccessPdf":"https://www.ncbi.nlm.nih.gov/pmc/articles/PMC11809950/pdf/","citationCount":"0","resultStr":null,"platform":"Semanticscholar","paperid":null,"PeriodicalName":"Neurosurgery open","FirstCategoryId":"1085","ListUrlMain":"https://doi.org/10.1227/neuprac.0000000000000030","RegionNum":0,"RegionCategory":null,"ArticlePicture":[],"TitleCN":null,"AbstractTextCN":null,"PMCID":null,"EPubDate":"2023/3/1 0:00:00","PubModel":"eCollection","JCR":"","JCRName":"","Score":null,"Total":0}
引用次数: 0

Abstract

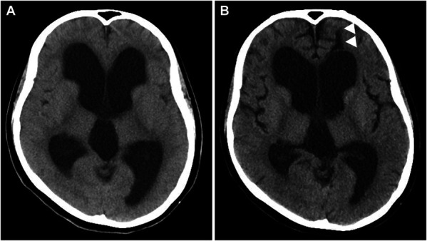
Background and importance: Pure aqueductal tumors are extremely rare and may lead to death, regardless of histopathology. We report the first case of pure aqueductal pilomyxoid astrocytoma in an adult woman with arrested hydrocephalus. Endoscopic tumor resection for securing aqueductal patency followed by chemotherapy allowed control of both the tumor and the hydrocephalus.

Clinical presentation: A 20-year-old woman presented with mild cognitive dysfunction and marked ventricular dilatation. She had no preoperative symptoms of intracranial hypertension, and her head circumference was more than 2 SDs above the 98th percentile. The aqueduct of Sylvius was entirely occupied by a neoplastic lesion with 2 periventricular nodules at the wall of the third ventricle and anterior horn of the right lateral ventricle. She was treated successfully with endoscopic tumor resection followed by chemotherapy, and the patency of the aqueduct of Sylvius was secured throughout the duration of treatment.

Conclusion: Pure aqueductal tumors may be an appropriate indication for endoscopic tumor resection to secure the aqueductal patency of cerebrospinal fluid. This case demonstrates the surgical technique of a combined rigid-flexible endoscopic transforaminal approach, which was a useful surgical intervention for the management of this patient.

Abstract Image

Abstract Image

Abstract Image

单纯输水导管毛粘液样星形细胞瘤经内镜切除后化疗成功治疗脑积水1例及技术考虑
背景和重要性:单纯的导水管肿瘤极为罕见,无论组织病理学如何,都可能导致死亡。我们报告第一例纯输水管毛粘液样星形细胞瘤在一个成年妇女脑积水。内镜下肿瘤切除以确保导水管通畅,然后化疗可以同时控制肿瘤和脑积水。临床表现:一名20岁女性,表现为轻度认知功能障碍和明显的心室扩张。患者术前无颅内高压症状,头围大于98百分位2个标准差。Sylvius输水管道完全被肿瘤病变占据,在第三脑室壁和右侧脑室前角有2个脑室周围结节。她成功地接受了内镜下肿瘤切除术和化疗,并在整个治疗期间确保了Sylvius导水管的通畅。结论:单纯的导尿管肿瘤可能是内镜下肿瘤切除的合适指征,以确保脑脊液导尿管通畅。本病例展示了硬-柔联合内镜经椎间孔入路的手术技术,这是一种有效的手术干预治疗该患者。
本文章由计算机程序翻译,如有差异,请以英文原文为准。
求助全文
约1分钟内获得全文 求助全文
来源期刊
自引率
0.00%
发文量
0
×
引用
GB/T 7714-2015
复制
MLA
复制
APA
复制
导出至
BibTeX EndNote RefMan NoteFirst NoteExpress
×
提示
您的信息不完整,为了账户安全,请先补充。
现在去补充
×
提示
您因"违规操作"
具体请查看互助需知
我知道了
×
提示
确定
请完成安全验证×
copy
已复制链接
快去分享给好友吧!
我知道了
右上角分享
点击右上角分享
0
联系我们:info@booksci.cn Book学术提供免费学术资源搜索服务,方便国内外学者检索中英文文献。致力于提供最便捷和优质的服务体验。 Copyright © 2023 布克学术 All rights reserved.
京ICP备2023020795号-1
ghs 京公网安备 11010802042870号
Book学术文献互助
Book学术文献互助群
群 号:604180095
Book学术官方微信