Reflex seizures induced by micturition: a case report.

IF 1.2 Q4 CLINICAL NEUROLOGY
Zhiyun Zhang, Qiwei Li, Tiejia Jiang, Jiajia Fang
{"title":"Reflex seizures induced by micturition: a case report.","authors":"Zhiyun Zhang, Qiwei Li, Tiejia Jiang, Jiajia Fang","doi":"10.1186/s42494-022-00107-y","DOIUrl":null,"url":null,"abstract":"<p><strong>Background: </strong>Reflex seizures (RS) induced by micturition are extremely rare, and the clinical and electroencephalogram features of RS are not widely known among clinicians. In particular, the origin of the epileptic area is still unclear.</p><p><strong>Case presentation: </strong>An 8-year-old girl who had generalized tonic-clonic seizures was diagnosed with RS induced by micturition based on the clinical manifestation and EEG recordings. We also reviewed the clinical and EEG characteristics of RS induced by micturition in literature by searching the databases of PubMed and MEDLINE using keywords \"micturition reflex seizure\", \"reflex seizure induced by micturition\", and \"micturition induced seizure\" by January 2022. We speculate that the mechanism of micturition-induced RS may involve excessive neuronal excitation in regions that participate in micturition.</p><p><strong>Conclusions: </strong>The RS in this patient was considered to be induced by micturition. Awareness should be raised to this rare form of RS among practitioners.</p>","PeriodicalId":33628,"journal":{"name":"Acta Epileptologica","volume":"5 1","pages":"4"},"PeriodicalIF":1.2000,"publicationDate":"2023-01-13","publicationTypes":"Journal Article","fieldsOfStudy":null,"isOpenAccess":false,"openAccessPdf":"https://www.ncbi.nlm.nih.gov/pmc/articles/PMC11960376/pdf/","citationCount":"0","resultStr":null,"platform":"Semanticscholar","paperid":null,"PeriodicalName":"Acta Epileptologica","FirstCategoryId":"1085","ListUrlMain":"https://doi.org/10.1186/s42494-022-00107-y","RegionNum":0,"RegionCategory":null,"ArticlePicture":[],"TitleCN":null,"AbstractTextCN":null,"PMCID":null,"EPubDate":"","PubModel":"","JCR":"Q4","JCRName":"CLINICAL NEUROLOGY","Score":null,"Total":0}
引用次数: 0

Abstract

Background: Reflex seizures (RS) induced by micturition are extremely rare, and the clinical and electroencephalogram features of RS are not widely known among clinicians. In particular, the origin of the epileptic area is still unclear.

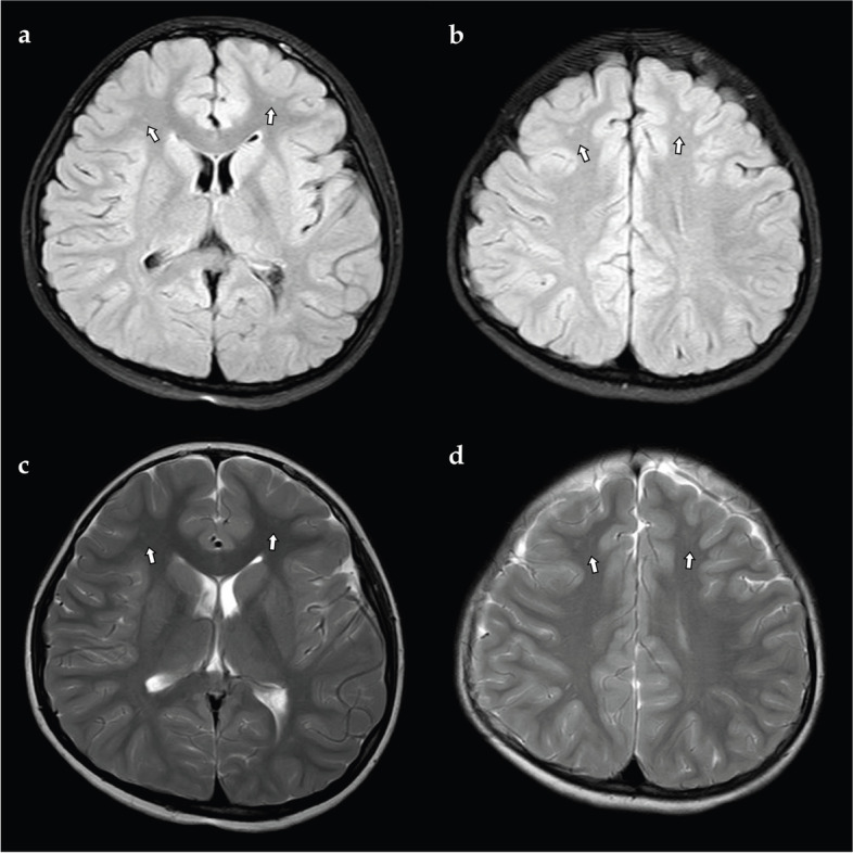
Case presentation: An 8-year-old girl who had generalized tonic-clonic seizures was diagnosed with RS induced by micturition based on the clinical manifestation and EEG recordings. We also reviewed the clinical and EEG characteristics of RS induced by micturition in literature by searching the databases of PubMed and MEDLINE using keywords "micturition reflex seizure", "reflex seizure induced by micturition", and "micturition induced seizure" by January 2022. We speculate that the mechanism of micturition-induced RS may involve excessive neuronal excitation in regions that participate in micturition.

Conclusions: The RS in this patient was considered to be induced by micturition. Awareness should be raised to this rare form of RS among practitioners.

Abstract Image

Abstract Image

排尿诱发反射性癫痫1例
背景:排尿引起的反射性癫痫(RS)极为罕见,临床医生对RS的临床和脑电图特征知之甚少。特别是,癫痫区起源仍不清楚。病例介绍:一名8岁女童,因全身性强直阵挛发作,经临床表现及脑电图诊断为排尿所致RS。检索PubMed和MEDLINE数据库,检索关键词为“排尿反射性癫痫发作”、“排尿诱发反射性癫痫发作”和“排尿诱发性癫痫发作”,检索截至2022年1月的文献,回顾排尿诱发RS的临床和脑电图特征。我们推测排尿诱导RS的机制可能涉及参与排尿区域的过度神经元兴奋。结论:本例RS可考虑为排尿所致。应提高从业人员对这种罕见RS的认识。
本文章由计算机程序翻译,如有差异,请以英文原文为准。
求助全文
约1分钟内获得全文 求助全文
来源期刊
Acta Epileptologica
Acta Epileptologica Medicine-Neurology (clinical)
CiteScore
2.00
自引率
0.00%
发文量
38
审稿时长
20 weeks
×
引用
GB/T 7714-2015
复制
MLA
复制
APA
复制
导出至
BibTeX EndNote RefMan NoteFirst NoteExpress
×
提示
您的信息不完整,为了账户安全,请先补充。
现在去补充
×
提示
您因"违规操作"
具体请查看互助需知
我知道了
×
提示
确定
请完成安全验证×
copy
已复制链接
快去分享给好友吧!
我知道了
右上角分享
点击右上角分享
0
联系我们:info@booksci.cn Book学术提供免费学术资源搜索服务,方便国内外学者检索中英文文献。致力于提供最便捷和优质的服务体验。 Copyright © 2023 布克学术 All rights reserved.
京ICP备2023020795号-1
ghs 京公网安备 11010802042870号
Book学术文献互助
Book学术文献互助群
群 号:604180095
Book学术官方微信