Twin Reversed Arterial Perfusion Sequence: Prenatal Diagnosis and Treatment.

IF 1.7
Xiaoqing Ye, Jiayan Wang, Jing Lu, Nan Li, Wenping Ding, Yuxia Fu, Min Chen
{"title":"Twin Reversed Arterial Perfusion Sequence: Prenatal Diagnosis and Treatment.","authors":"Xiaoqing Ye, Jiayan Wang, Jing Lu, Nan Li, Wenping Ding, Yuxia Fu, Min Chen","doi":"10.1097/FM9.0000000000000172","DOIUrl":null,"url":null,"abstract":"<p><p>Twin reversed arterial perfusion sequence, a severe and unique complication of monochorionic multiple pregnancy, is characterized by vascular anastomosis and abnormal or absent cardiac development in the twins. This article reviewed its pathogenesis, prenatal ultrasound diagnosis, and management. The pump twin's chances for survival can be maximized by proper management. The optimal timing of the interventions remains a debate, although the latest studies encourage early intervention, i.e., in the first trimester. The most preferred approach is to interrupt the vascular supply to the acardius, such as through ultrasound-guided laser coagulation and radiofrequency ablation of the intrafetal vessels.</p>","PeriodicalId":74121,"journal":{"name":"Maternal-fetal medicine (Wolters Kluwer Health, Inc.)","volume":"4 1","pages":"262-267"},"PeriodicalIF":1.7000,"publicationDate":"2022-09-24","publicationTypes":"Journal Article","fieldsOfStudy":null,"isOpenAccess":false,"openAccessPdf":"https://www.ncbi.nlm.nih.gov/pmc/articles/PMC12087880/pdf/","citationCount":"0","resultStr":null,"platform":"Semanticscholar","paperid":null,"PeriodicalName":"Maternal-fetal medicine (Wolters Kluwer Health, Inc.)","FirstCategoryId":"1085","ListUrlMain":"https://doi.org/10.1097/FM9.0000000000000172","RegionNum":0,"RegionCategory":null,"ArticlePicture":[],"TitleCN":null,"AbstractTextCN":null,"PMCID":null,"EPubDate":"2022/10/1 0:00:00","PubModel":"eCollection","JCR":"","JCRName":"","Score":null,"Total":0}
引用次数: 0

Abstract

Twin reversed arterial perfusion sequence, a severe and unique complication of monochorionic multiple pregnancy, is characterized by vascular anastomosis and abnormal or absent cardiac development in the twins. This article reviewed its pathogenesis, prenatal ultrasound diagnosis, and management. The pump twin's chances for survival can be maximized by proper management. The optimal timing of the interventions remains a debate, although the latest studies encourage early intervention, i.e., in the first trimester. The most preferred approach is to interrupt the vascular supply to the acardius, such as through ultrasound-guided laser coagulation and radiofrequency ablation of the intrafetal vessels.

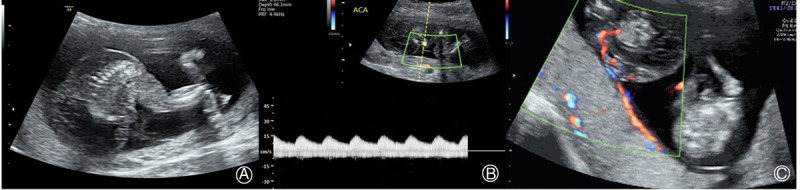
Abstract Image

双反动脉灌注序列的产前诊断与治疗
摘要双胎动脉灌注反转序列是单绒毛膜多胎妊娠的一种严重而独特的并发症,其特点是血管吻合,双胎心脏发育异常或缺失。本文就其发病机制、产前超声诊断及处理进行综述。通过适当的管理,双胞胎的生存机会可以最大化。干预的最佳时机仍然存在争议,尽管最新的研究鼓励早期干预,即在前三个月。首选的方法是中断心脏的血管供应,如通过超声引导的激光凝血和射频消融胎儿血管。
本文章由计算机程序翻译,如有差异,请以英文原文为准。
求助全文
约1分钟内获得全文 求助全文
来源期刊
自引率
0.00%
发文量
0
×
引用
GB/T 7714-2015
复制
MLA
复制
APA
复制
导出至
BibTeX EndNote RefMan NoteFirst NoteExpress
×
提示
您的信息不完整,为了账户安全,请先补充。
现在去补充
×
提示
您因"违规操作"
具体请查看互助需知
我知道了
×
提示
确定
请完成安全验证×
copy
已复制链接
快去分享给好友吧!
我知道了
右上角分享
点击右上角分享
0
联系我们:info@booksci.cn Book学术提供免费学术资源搜索服务,方便国内外学者检索中英文文献。致力于提供最便捷和优质的服务体验。 Copyright © 2023 布克学术 All rights reserved.
京ICP备2023020795号-1
ghs 京公网安备 11010802042870号
Book学术文献互助
Book学术文献互助群
群 号:604180095
Book学术官方微信