Development and evaluation of an 18F-labeled nanobody to target SARS-CoV-2's spike protein.

IF 1.4
Sara Lopes van den Broek, Rocío García-Vázquez, Ida Vang Andersen, Guillermo Valenzuela-Nieto, Vladimir Shalgunov, Umberto M Battisti, David Schwefel, Naphak Modhiran, Vasko Kramer, Yorka Cheuquemilla, Ronald Jara, Constanza Salinas-Varas, Alberto A Amarilla, Daniel Watterson, Alejandro Rojas-Fernandez, Matthias M Herth
{"title":"Development and evaluation of an <sup>18</sup>F-labeled nanobody to target SARS-CoV-2's spike protein.","authors":"Sara Lopes van den Broek, Rocío García-Vázquez, Ida Vang Andersen, Guillermo Valenzuela-Nieto, Vladimir Shalgunov, Umberto M Battisti, David Schwefel, Naphak Modhiran, Vasko Kramer, Yorka Cheuquemilla, Ronald Jara, Constanza Salinas-Varas, Alberto A Amarilla, Daniel Watterson, Alejandro Rojas-Fernandez, Matthias M Herth","doi":"10.3389/fnume.2022.1033697","DOIUrl":null,"url":null,"abstract":"<p><p>COVID-19, caused by the SARS-CoV-2 virus, has become a global pandemic that is still present after more than two years. COVID-19 is mainly known as a respiratory disease that can cause long-term consequences referred to as long COVID. Molecular imaging of SARS-CoV-2 in COVID-19 patients would be a powerful tool for studying the pathological mechanisms and viral load in different organs, providing insights into the disease and the origin of long-term consequences and assessing the effectiveness of potential COVID-19 treatments. Current diagnostic methods used in the clinic do not allow direct imaging of SARS-CoV-2. In this work, a nanobody (NB) - a small, engineered protein derived from alpacas - and an Fc-fused NB which selectively target the SARS-CoV-2 Spike protein were developed as imaging agents for positron emission tomography (PET). We used the tetrazine ligation to <sup>18</sup>F-label the NB under mild conditions once the NBs were successfully modified with <i>trans-</i>cyclooctenes (TCOs). We confirmed binding to the Spike protein by SDS-PAGE. Dynamic PET scans in rats showed excretion through the liver for both constructs. Future work will evaluate <i>in vivo</i> binding to the Spike protein with our radioligands.</p>","PeriodicalId":73095,"journal":{"name":"Frontiers in nuclear medicine (Lausanne, Switzerland)","volume":" ","pages":"1033697"},"PeriodicalIF":1.4000,"publicationDate":"2022-11-23","publicationTypes":"Journal Article","fieldsOfStudy":null,"isOpenAccess":false,"openAccessPdf":"https://www.ncbi.nlm.nih.gov/pmc/articles/PMC11440877/pdf/","citationCount":"0","resultStr":null,"platform":"Semanticscholar","paperid":null,"PeriodicalName":"Frontiers in nuclear medicine (Lausanne, Switzerland)","FirstCategoryId":"1085","ListUrlMain":"https://doi.org/10.3389/fnume.2022.1033697","RegionNum":0,"RegionCategory":null,"ArticlePicture":[],"TitleCN":null,"AbstractTextCN":null,"PMCID":null,"EPubDate":"2022/1/1 0:00:00","PubModel":"eCollection","JCR":"","JCRName":"","Score":null,"Total":0}
引用次数: 0

Abstract

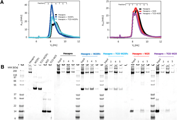
COVID-19, caused by the SARS-CoV-2 virus, has become a global pandemic that is still present after more than two years. COVID-19 is mainly known as a respiratory disease that can cause long-term consequences referred to as long COVID. Molecular imaging of SARS-CoV-2 in COVID-19 patients would be a powerful tool for studying the pathological mechanisms and viral load in different organs, providing insights into the disease and the origin of long-term consequences and assessing the effectiveness of potential COVID-19 treatments. Current diagnostic methods used in the clinic do not allow direct imaging of SARS-CoV-2. In this work, a nanobody (NB) - a small, engineered protein derived from alpacas - and an Fc-fused NB which selectively target the SARS-CoV-2 Spike protein were developed as imaging agents for positron emission tomography (PET). We used the tetrazine ligation to 18F-label the NB under mild conditions once the NBs were successfully modified with trans-cyclooctenes (TCOs). We confirmed binding to the Spike protein by SDS-PAGE. Dynamic PET scans in rats showed excretion through the liver for both constructs. Future work will evaluate in vivo binding to the Spike protein with our radioligands.

Abstract Image

Abstract Image

Abstract Image

靶向SARS-CoV-2刺突蛋白的18f标记纳米体的开发和评价
由SARS-CoV-2病毒引起的COVID-19已经成为全球大流行,两年多后仍然存在。COVID-19主要被称为一种呼吸道疾病,可导致长期后果,称为长COVID。COVID-19患者的SARS-CoV-2分子成像将成为研究不同器官病理机制和病毒载量的有力工具,有助于深入了解疾病及其长期后果的起源,并评估潜在的COVID-19治疗方法的有效性。目前临床使用的诊断方法不允许对SARS-CoV-2进行直接成像。在这项工作中,研究人员开发了一种纳米体(NB)——一种源自羊驼的小的工程蛋白——和一种选择性靶向SARS-CoV-2刺突蛋白的fc融合NB,作为正电子发射断层扫描(PET)的显像剂。一旦NB被反式环烯(TCOs)成功修饰,我们在温和的条件下使用四氮肼连接18f标记NB。我们通过SDS-PAGE证实了与Spike蛋白的结合。大鼠的动态PET扫描显示,两种结构都通过肝脏排泄。未来的工作将评估我们的放射配体与Spike蛋白的体内结合。
本文章由计算机程序翻译,如有差异,请以英文原文为准。
求助全文
约1分钟内获得全文 求助全文
来源期刊
CiteScore
0.90
自引率
0.00%
发文量
0
×
引用
GB/T 7714-2015
复制
MLA
复制
APA
复制
导出至
BibTeX EndNote RefMan NoteFirst NoteExpress
×
提示
您的信息不完整,为了账户安全,请先补充。
现在去补充
×
提示
您因"违规操作"
具体请查看互助需知
我知道了
×
提示
确定
请完成安全验证×
copy
已复制链接
快去分享给好友吧!
我知道了
右上角分享
点击右上角分享
0
联系我们:info@booksci.cn Book学术提供免费学术资源搜索服务,方便国内外学者检索中英文文献。致力于提供最便捷和优质的服务体验。 Copyright © 2023 布克学术 All rights reserved.
京ICP备2023020795号-1
ghs 京公网安备 11010802042870号
Book学术文献互助
Book学术文献互助群
群 号:604180095
Book学术官方微信