Combination treatment of dupilumab with bortezomib in a patient with IgG kappa gammopathy of renal significance, uremic pruritus and chronic lichenoid dermatitis.

Paolino Giovanni, Matteo Riccardo Di Nicola, Magda Marcatti, Nathalie Rizzo, Vittoria Bianchi, Valeria Ferla, Santo Raffaele Mercuri
{"title":"Combination treatment of dupilumab with bortezomib in a patient with IgG kappa gammopathy of renal significance, uremic pruritus and chronic lichenoid dermatitis.","authors":"Paolino Giovanni, Matteo Riccardo Di Nicola, Magda Marcatti, Nathalie Rizzo, Vittoria Bianchi, Valeria Ferla, Santo Raffaele Mercuri","doi":"10.23750/abm.v94i5.14279","DOIUrl":null,"url":null,"abstract":"<p><p>Chronic pruritus (CP) is one of the most frequent symptoms among dermatological conditions, capable of reducing the quality of life (QoL). CP may be induced by atopic dermatitis or other dermatological and/or non-dermatological conditions. In this article, we report the case of a patient affected by generalized CP, characterised by multiple papulo-nodular and escoriatic lesions, developed after the onset of an immunoglobulin G (IgG) kappa monoclonal gammopathy of renal significance (MGRS), associated with renal insufficiency. Therefore, a combined treatment with dupilumab for CP and bortezomib for the hematologic malignancy was administered to the patient. The present case report highlights the efficacy of dupilumab for the treatment of CP. Moreover, no relevant side effects were recorded during the treatment in combination with other systemic biological drugs for other systemic pathologies.</p>","PeriodicalId":93849,"journal":{"name":"Acta bio-medica : Atenei Parmensis","volume":"94 5","pages":"e2023241"},"PeriodicalIF":0.0000,"publicationDate":"2023-10-17","publicationTypes":"Journal Article","fieldsOfStudy":null,"isOpenAccess":false,"openAccessPdf":"https://www.ncbi.nlm.nih.gov/pmc/articles/PMC10644923/pdf/","citationCount":"0","resultStr":null,"platform":"Semanticscholar","paperid":null,"PeriodicalName":"Acta bio-medica : Atenei Parmensis","FirstCategoryId":"1085","ListUrlMain":"https://doi.org/10.23750/abm.v94i5.14279","RegionNum":0,"RegionCategory":null,"ArticlePicture":[],"TitleCN":null,"AbstractTextCN":null,"PMCID":null,"EPubDate":"","PubModel":"","JCR":"","JCRName":"","Score":null,"Total":0}
引用次数: 0

Abstract

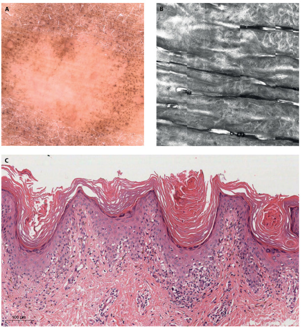
Chronic pruritus (CP) is one of the most frequent symptoms among dermatological conditions, capable of reducing the quality of life (QoL). CP may be induced by atopic dermatitis or other dermatological and/or non-dermatological conditions. In this article, we report the case of a patient affected by generalized CP, characterised by multiple papulo-nodular and escoriatic lesions, developed after the onset of an immunoglobulin G (IgG) kappa monoclonal gammopathy of renal significance (MGRS), associated with renal insufficiency. Therefore, a combined treatment with dupilumab for CP and bortezomib for the hematologic malignancy was administered to the patient. The present case report highlights the efficacy of dupilumab for the treatment of CP. Moreover, no relevant side effects were recorded during the treatment in combination with other systemic biological drugs for other systemic pathologies.

Abstract Image

Abstract Image

Abstract Image

dupilumab与硼替佐米联合治疗一例具有肾脏意义的IgG-κ-γ病、尿毒症瘙痒和慢性苔藓样皮炎患者。
慢性瘙痒(CP)是皮肤病中最常见的症状之一,可降低生活质量。CP可能由特应性皮炎或其他皮肤病和/或非皮肤病引起。在这篇文章中,我们报告了一例全身性CP患者,其特征是多发丘疹结节性和焦痂性病变,发生在与肾功能不全相关的具有肾意义的免疫球蛋白G(IgG)κ单克隆免疫球蛋白病(MGRS)发生后。因此,对患者进行了dupilumab治疗CP和硼替佐米治疗血液系统恶性肿瘤的联合治疗。本病例报告强调了dupilumab治疗CP的疗效。此外,在与其他全身生物药物联合治疗其他全身病理的过程中,没有记录到相关的副作用。
本文章由计算机程序翻译,如有差异,请以英文原文为准。
求助全文
约1分钟内获得全文 求助全文
来源期刊
自引率
0.00%
发文量
0
×
引用
GB/T 7714-2015
复制
MLA
复制
APA
复制
导出至
BibTeX EndNote RefMan NoteFirst NoteExpress
×
提示
您的信息不完整,为了账户安全,请先补充。
现在去补充
×
提示
您因"违规操作"
具体请查看互助需知
我知道了
×
提示
确定
请完成安全验证×
copy
已复制链接
快去分享给好友吧!
我知道了
右上角分享
点击右上角分享
0
联系我们:info@booksci.cn Book学术提供免费学术资源搜索服务,方便国内外学者检索中英文文献。致力于提供最便捷和优质的服务体验。 Copyright © 2023 布克学术 All rights reserved.
京ICP备2023020795号-1
ghs 京公网安备 11010802042870号
Book学术文献互助
Book学术文献互助群
群 号:604180095
Book学术官方微信