A rare case: Endobronchial solitary mixed papilloma.

IF 0.7 Q4 RESPIRATORY SYSTEM
Barış Demirkol, Muhammet Atıf Karagöl, Efsun Gonca Uğur Chousein, Özal Adıyeke, Nur Büyükpınarbaşılı, Ayşe Bahadır, Sibel Yurt, Mehmet Akif Özgül
{"title":"A rare case: Endobronchial solitary mixed papilloma.","authors":"Barış Demirkol, Muhammet Atıf Karagöl, Efsun Gonca Uğur Chousein, Özal Adıyeke, Nur Büyükpınarbaşılı, Ayşe Bahadır, Sibel Yurt, Mehmet Akif Özgül","doi":"10.5578/tt.20239712","DOIUrl":null,"url":null,"abstract":"<p><p>Endobronchial solitary papillomas are extremely rare lung neoplasms originating from the bronchial surface epithelium. They often present with cough or recurrent hemoptysis. These tumors are benign, but they should be followed closely because they may even have a low probability of malignant transformation features. It should be kept in mind that malignancy may develop especially if the patient is a smoker. Although the etiology is not known for certain, it is thought to be caused by human papillomavirus in some cases. A 43-year-old male patient was admitted with a complaint of chronic cough. Rigid bronchoscopy was performed for diagnostic and therapeutic purposes after imaging techniques revealed a lesion obstructing the lumen of the right main bronchus. The pathology result was reported as mixed bronchial papilloma. We aimed to present our case because of its rarity and to indicate that chronic cough must be further evaluated.</p>","PeriodicalId":45521,"journal":{"name":"Tuberkuloz ve Toraks-Tuberculosis and Thorax","volume":"71 3","pages":"308-311"},"PeriodicalIF":0.7000,"publicationDate":"2023-09-01","publicationTypes":"Journal Article","fieldsOfStudy":null,"isOpenAccess":false,"openAccessPdf":"https://www.ncbi.nlm.nih.gov/pmc/articles/PMC10795236/pdf/","citationCount":"0","resultStr":null,"platform":"Semanticscholar","paperid":null,"PeriodicalName":"Tuberkuloz ve Toraks-Tuberculosis and Thorax","FirstCategoryId":"1085","ListUrlMain":"https://doi.org/10.5578/tt.20239712","RegionNum":0,"RegionCategory":null,"ArticlePicture":[],"TitleCN":null,"AbstractTextCN":null,"PMCID":null,"EPubDate":"","PubModel":"","JCR":"Q4","JCRName":"RESPIRATORY SYSTEM","Score":null,"Total":0}
引用次数: 0

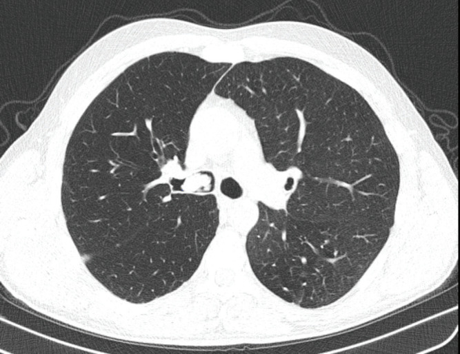
Abstract

Endobronchial solitary papillomas are extremely rare lung neoplasms originating from the bronchial surface epithelium. They often present with cough or recurrent hemoptysis. These tumors are benign, but they should be followed closely because they may even have a low probability of malignant transformation features. It should be kept in mind that malignancy may develop especially if the patient is a smoker. Although the etiology is not known for certain, it is thought to be caused by human papillomavirus in some cases. A 43-year-old male patient was admitted with a complaint of chronic cough. Rigid bronchoscopy was performed for diagnostic and therapeutic purposes after imaging techniques revealed a lesion obstructing the lumen of the right main bronchus. The pathology result was reported as mixed bronchial papilloma. We aimed to present our case because of its rarity and to indicate that chronic cough must be further evaluated.

Abstract Image

Abstract Image

Abstract Image

罕见病例:支气管内孤立性混合性乳头状瘤。
支气管内孤立性乳头状瘤是极为罕见的起源于支气管表面上皮的肺部肿瘤。他们经常表现为咳嗽或反复咳血。这些肿瘤是良性的,但应该密切关注,因为它们甚至可能具有低概率的恶性转化特征。应该记住,恶性肿瘤可能会发展,尤其是如果患者是吸烟者。虽然病因尚不明确,但在某些情况下,它被认为是由人乳头瘤病毒引起的。一名43岁男性患者因慢性咳嗽入院。在成像技术显示右主支气管管腔有病变后,进行了刚性支气管镜检查以进行诊断和治疗。病理结果报告为混合性支气管乳头状瘤。我们的目的是介绍我们的病例,因为它很罕见,并表明慢性咳嗽必须进一步评估。
本文章由计算机程序翻译,如有差异,请以英文原文为准。
求助全文
约1分钟内获得全文 求助全文
来源期刊
CiteScore
1.50
自引率
9.10%
发文量
43
×
引用
GB/T 7714-2015
复制
MLA
复制
APA
复制
导出至
BibTeX EndNote RefMan NoteFirst NoteExpress
×
提示
您的信息不完整,为了账户安全,请先补充。
现在去补充
×
提示
您因"违规操作"
具体请查看互助需知
我知道了
×
提示
确定
请完成安全验证×
copy
已复制链接
快去分享给好友吧!
我知道了
右上角分享
点击右上角分享
0
联系我们:info@booksci.cn Book学术提供免费学术资源搜索服务,方便国内外学者检索中英文文献。致力于提供最便捷和优质的服务体验。 Copyright © 2023 布克学术 All rights reserved.
京ICP备2023020795号-1
ghs 京公网安备 11010802042870号
Book学术文献互助
Book学术文献互助群
群 号:604180095
Book学术官方微信