Mediastinitis and subcutaneous abscess complicated after EBUS-TBNA of 2R mediastinal lymph node.

IF 0.7 Q4 RESPIRATORY SYSTEM
Enes Ahmetoğlu, Dilek Karadoğan, Hasan Gündoğdu, Uğur Kostakoğlu, Bilge Yılmaz Kara, Zeynep Rakıcı, Hızır Kazdal, Recep Bedir, Hasan Türüt, Ünal Şahin
{"title":"Mediastinitis and subcutaneous abscess complicated after EBUS-TBNA of 2R mediastinal lymph node.","authors":"Enes Ahmetoğlu, Dilek Karadoğan, Hasan Gündoğdu, Uğur Kostakoğlu, Bilge Yılmaz Kara, Zeynep Rakıcı, Hızır Kazdal, Recep Bedir, Hasan Türüt, Ünal Şahin","doi":"10.5578/tt.20239713","DOIUrl":null,"url":null,"abstract":"<p><p>Endobronchial ultrasound-guided transbronchial needle aspiration (EBUSTBNA) is a minimally invasive diagnostic tool used for the evaluation of mediastinal lymphadenopathy. It is a safe procedure, but complications such as bleeding and infection may occur. We report a case of a patient who developed a subcutaneous abscess abscess and mediastinitis after EBUSTBNA. A 75-year-old male with a history of right nephrectomy due to renal cell carcinoma and lung adenocarcinoma history underwent EBUS-TBNA for the evaluation of a right upper paratracheal lymph node. Two weeks after the procedure, the patient presented to the emergency department with skin induration and erythema on the right clavicular area. A non-contrast neck and thorax CT scan was performed, which revealed an extensive subcutaneous abscess on the right clavicular area, extending to the supraclavicular region. The patient was hospitalized, and empirical intravenous antibiotics were initiated due to deep neck infection. Repeated drainage of the subcutaneous abscess was performed. Bacteriologic examination revealed Streptococcus mitis. The patient showed improvement with antibiotic treatment, and a follow-up ultrasound showed a decrease in the size of the abscess and was discharged approximately four weeks after hospitalization. Although very rare, serious infectious complications may develop after EBUSTBNA, and our case report is an important example regarding its management process.</p>","PeriodicalId":45521,"journal":{"name":"Tuberkuloz ve Toraks-Tuberculosis and Thorax","volume":"71 3","pages":"312-317"},"PeriodicalIF":0.7000,"publicationDate":"2023-09-01","publicationTypes":"Journal Article","fieldsOfStudy":null,"isOpenAccess":false,"openAccessPdf":"https://www.ncbi.nlm.nih.gov/pmc/articles/PMC10795241/pdf/","citationCount":"0","resultStr":null,"platform":"Semanticscholar","paperid":null,"PeriodicalName":"Tuberkuloz ve Toraks-Tuberculosis and Thorax","FirstCategoryId":"1085","ListUrlMain":"https://doi.org/10.5578/tt.20239713","RegionNum":0,"RegionCategory":null,"ArticlePicture":[],"TitleCN":null,"AbstractTextCN":null,"PMCID":null,"EPubDate":"","PubModel":"","JCR":"Q4","JCRName":"RESPIRATORY SYSTEM","Score":null,"Total":0}
引用次数: 0

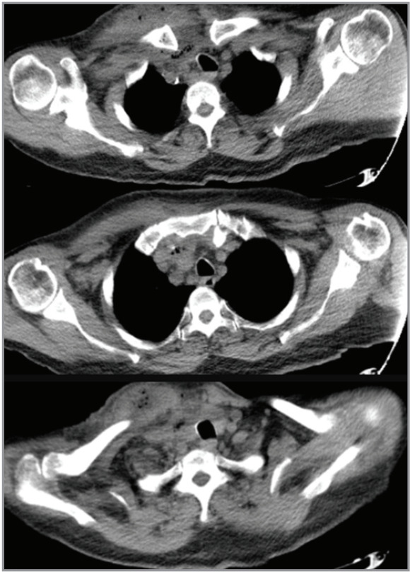
Abstract

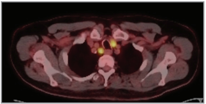
Endobronchial ultrasound-guided transbronchial needle aspiration (EBUSTBNA) is a minimally invasive diagnostic tool used for the evaluation of mediastinal lymphadenopathy. It is a safe procedure, but complications such as bleeding and infection may occur. We report a case of a patient who developed a subcutaneous abscess abscess and mediastinitis after EBUSTBNA. A 75-year-old male with a history of right nephrectomy due to renal cell carcinoma and lung adenocarcinoma history underwent EBUS-TBNA for the evaluation of a right upper paratracheal lymph node. Two weeks after the procedure, the patient presented to the emergency department with skin induration and erythema on the right clavicular area. A non-contrast neck and thorax CT scan was performed, which revealed an extensive subcutaneous abscess on the right clavicular area, extending to the supraclavicular region. The patient was hospitalized, and empirical intravenous antibiotics were initiated due to deep neck infection. Repeated drainage of the subcutaneous abscess was performed. Bacteriologic examination revealed Streptococcus mitis. The patient showed improvement with antibiotic treatment, and a follow-up ultrasound showed a decrease in the size of the abscess and was discharged approximately four weeks after hospitalization. Although very rare, serious infectious complications may develop after EBUSTBNA, and our case report is an important example regarding its management process.

Abstract Image

Abstract Image

2R纵隔淋巴结EBUS-TBNA术后并发纵隔炎和皮下脓肿。
支气管内超声引导下经支气管针抽吸(EBUSTBNA)是一种用于评估纵隔淋巴结病的微创诊断工具。这是一种安全的手术,但可能会出现出血和感染等并发症。我们报告了一例EBUSTBNA术后出现皮下脓肿、脓肿和纵隔炎的患者。一名75岁男性,因肾细胞癌和肺腺癌有右肾切除术史,接受了EBUS-TBNA评估右上气管旁淋巴结。手术两周后,患者因右锁骨区皮肤硬结和红斑被送往急诊科。进行了非对比颈部和胸部CT扫描,发现右锁骨区域有一个广泛的皮下脓肿,一直延伸到锁骨上区域。患者住院治疗,由于深颈部感染,开始静脉注射经验性抗生素。对皮下脓肿进行反复引流。细菌检查显示轻度链球菌。患者在抗生素治疗后病情有所好转,随访超声显示脓肿大小缩小,住院约四周后出院。尽管非常罕见,但EBUSTBNA后可能会出现严重的感染性并发症,我们的病例报告是关于其管理过程的一个重要例子。
本文章由计算机程序翻译,如有差异,请以英文原文为准。
求助全文
约1分钟内获得全文 求助全文
来源期刊
CiteScore
1.50
自引率
9.10%
发文量
43
×
引用
GB/T 7714-2015
复制
MLA
复制
APA
复制
导出至
BibTeX EndNote RefMan NoteFirst NoteExpress
×
提示
您的信息不完整,为了账户安全,请先补充。
现在去补充
×
提示
您因"违规操作"
具体请查看互助需知
我知道了
×
提示
确定
请完成安全验证×
copy
已复制链接
快去分享给好友吧!
我知道了
右上角分享
点击右上角分享
0
联系我们:info@booksci.cn Book学术提供免费学术资源搜索服务,方便国内外学者检索中英文文献。致力于提供最便捷和优质的服务体验。 Copyright © 2023 布克学术 All rights reserved.
京ICP备2023020795号-1
ghs 京公网安备 11010802042870号
Book学术文献互助
Book学术文献互助群
群 号:604180095
Book学术官方微信