[Contribution of the AVR lead in the diagnosis of ischemic heart disease in one case at the Institute of Cardiology of Abidjan (Ivory Coast)].

The Pan African Medical Journal Pub Date : 2022-08-25 eCollection Date: 2022-01-01 DOI:10.11604/pamj.2022.42.311.20166
Loa Ambroise Gnaba, Kassi Anicet Adoubi, Kouakou Florent Diby, Isabelle Kouamé, Pinnin Evelyne Adjara Ouattara, Manga Diomandé, Mbe Matokoma Daniogo, Keumian Gabin Tro, Koudré Serge Armel Dakoi, Aka Roland N'Guetta
{"title":"[Contribution of the AVR lead in the diagnosis of ischemic heart disease in one case at the Institute of Cardiology of Abidjan (Ivory Coast)].","authors":"Loa Ambroise Gnaba,&nbsp;Kassi Anicet Adoubi,&nbsp;Kouakou Florent Diby,&nbsp;Isabelle Kouamé,&nbsp;Pinnin Evelyne Adjara Ouattara,&nbsp;Manga Diomandé,&nbsp;Mbe Matokoma Daniogo,&nbsp;Keumian Gabin Tro,&nbsp;Koudré Serge Armel Dakoi,&nbsp;Aka Roland N'Guetta","doi":"10.11604/pamj.2022.42.311.20166","DOIUrl":null,"url":null,"abstract":"<p><p>Abnormalities in the aVR lead would provide useful information on the risk of coronary heart disease. This clinical case is an illustration. Indeed, this is a 60-year-old patient, an active smoker and a former type 2 diabetic who presented with angina-like chest pain with a positive stress test. The initial electrocardiogram showed a discreet elevation of the ST segment and an aVR necrosis Q wave with mirror signs in the inferior territory. An ischemic heart disease with altered ventricular ejection fraction was objectified. The diagnostic coronary angiography objectified a multi-vessel coronary lesion. Ultimately, the aVR lead provides valuable clinical information and argues for special attention to this often forgotten lead.</p>","PeriodicalId":131455,"journal":{"name":"The Pan African Medical Journal","volume":" ","pages":"311"},"PeriodicalIF":0.0000,"publicationDate":"2022-08-25","publicationTypes":"Journal Article","fieldsOfStudy":null,"isOpenAccess":false,"openAccessPdf":"https://www.ncbi.nlm.nih.gov/pmc/articles/PMC9664502/pdf/","citationCount":"0","resultStr":null,"platform":"Semanticscholar","paperid":null,"PeriodicalName":"The Pan African Medical Journal","FirstCategoryId":"1085","ListUrlMain":"https://doi.org/10.11604/pamj.2022.42.311.20166","RegionNum":0,"RegionCategory":null,"ArticlePicture":[],"TitleCN":null,"AbstractTextCN":null,"PMCID":null,"EPubDate":"2022/1/1 0:00:00","PubModel":"eCollection","JCR":"","JCRName":"","Score":null,"Total":0}
引用次数: 0

Abstract

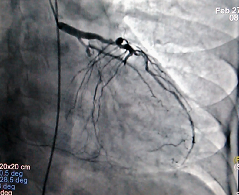
Abnormalities in the aVR lead would provide useful information on the risk of coronary heart disease. This clinical case is an illustration. Indeed, this is a 60-year-old patient, an active smoker and a former type 2 diabetic who presented with angina-like chest pain with a positive stress test. The initial electrocardiogram showed a discreet elevation of the ST segment and an aVR necrosis Q wave with mirror signs in the inferior territory. An ischemic heart disease with altered ventricular ejection fraction was objectified. The diagnostic coronary angiography objectified a multi-vessel coronary lesion. Ultimately, the aVR lead provides valuable clinical information and argues for special attention to this often forgotten lead.

Abstract Image

Abstract Image

[在阿比让(科特迪瓦)心脏病研究所的一个病例中,AVR在缺血性心脏病诊断中的作用]。
aVR导联异常将提供冠心病风险的有用信息。这个临床病例就是一个例证。事实上,这是一个60岁的病人,一个活跃的吸烟者和前2型糖尿病患者,表现为心绞痛样胸痛,压力测试呈阳性。最初的心电图显示ST段明显升高,aVR坏死Q波在下区有镜状征象。本文报道一例缺血性心脏病伴心室射血分数改变。诊断性冠状动脉造影显示多支冠状动脉病变。最终,aVR导联提供了有价值的临床信息,并呼吁特别关注这一经常被遗忘的导联。
本文章由计算机程序翻译,如有差异,请以英文原文为准。
求助全文
约1分钟内获得全文 求助全文
来源期刊
自引率
0.00%
发文量
0
×
引用
GB/T 7714-2015
复制
MLA
复制
APA
复制
导出至
BibTeX EndNote RefMan NoteFirst NoteExpress
×
提示
您的信息不完整,为了账户安全,请先补充。
现在去补充
×
提示
您因"违规操作"
具体请查看互助需知
我知道了
×
提示
确定
请完成安全验证×
copy
已复制链接
快去分享给好友吧!
我知道了
右上角分享
点击右上角分享
0
联系我们:info@booksci.cn Book学术提供免费学术资源搜索服务,方便国内外学者检索中英文文献。致力于提供最便捷和优质的服务体验。 Copyright © 2023 布克学术 All rights reserved.
京ICP备2023020795号-1
ghs 京公网安备 11010802042870号
Book学术文献互助
Book学术文献互助群
群 号:604180095
Book学术官方微信