Fungal necrotizing external otitis: diagnosis, management and outcomes of 15 cases.

The Pan African Medical Journal Pub Date : 2022-08-24 eCollection Date: 2022-01-01 DOI:10.11604/pamj.2022.42.306.27168
Amel El Korbi, Jihene Houas, Naourez Kolsi, Rachida Bouatay, Mehdi Ferjaoui, Adnene Toumi, Khaled Harrathi, Jamel Koubaa
{"title":"Fungal necrotizing external otitis: diagnosis, management and outcomes of 15 cases.","authors":"Amel El Korbi,&nbsp;Jihene Houas,&nbsp;Naourez Kolsi,&nbsp;Rachida Bouatay,&nbsp;Mehdi Ferjaoui,&nbsp;Adnene Toumi,&nbsp;Khaled Harrathi,&nbsp;Jamel Koubaa","doi":"10.11604/pamj.2022.42.306.27168","DOIUrl":null,"url":null,"abstract":"<p><p>Fungal necrotizing external otitis (NEO) is a rare disease. It is an aggressive and potentially fatal infection. The most commonly reported pathogen is Candida. We aim through this study to share our experience in the management of fungal necrotizing external otitis and discuss its diagnosis tools, anti-fungal treatment choice, and outcomes. We included fifteen patients with diagnosis criteria of fungal NEO; clinical features of NEO with positive culture swabs and/or positive serologic test to a fungal pathogen. The mean age was of 70 years with a prevalence of males. The main symptoms were otalgia (n=15) and otorrhea (n=7). Facial palsy was observed in four cases. Fungal pathogens were Candida(n=10) and Aspergillus (n=5). Complications were observed in eight cases: extension to the temporo-mandibular (n=4), abscess in the retropharyngeal space (n=2), abscess in the parapharyngeal space (n=1) and thrombophlebitis of the internal jugular vein (n=1). Six patients were treated with fluconazole, eight with voriconazole, and one patient with itraconazole. After a mean duration of 52 days of antifungal therapy, fourteen patients have been cured with normalization of the ear symptoms, biological, and imaging features. One patient died of septic shock. No recurrence of the disease was observed after a follow-up of 12 months in all cases.</p>","PeriodicalId":131455,"journal":{"name":"The Pan African Medical Journal","volume":" ","pages":"306"},"PeriodicalIF":0.0000,"publicationDate":"2022-08-24","publicationTypes":"Journal Article","fieldsOfStudy":null,"isOpenAccess":false,"openAccessPdf":"https://www.ncbi.nlm.nih.gov/pmc/articles/PMC9653543/pdf/","citationCount":"3","resultStr":null,"platform":"Semanticscholar","paperid":null,"PeriodicalName":"The Pan African Medical Journal","FirstCategoryId":"1085","ListUrlMain":"https://doi.org/10.11604/pamj.2022.42.306.27168","RegionNum":0,"RegionCategory":null,"ArticlePicture":[],"TitleCN":null,"AbstractTextCN":null,"PMCID":null,"EPubDate":"2022/1/1 0:00:00","PubModel":"eCollection","JCR":"","JCRName":"","Score":null,"Total":0}
引用次数: 3

Abstract

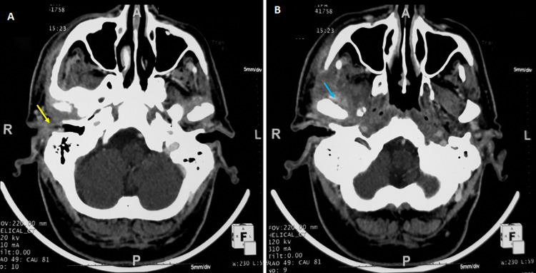
Fungal necrotizing external otitis (NEO) is a rare disease. It is an aggressive and potentially fatal infection. The most commonly reported pathogen is Candida. We aim through this study to share our experience in the management of fungal necrotizing external otitis and discuss its diagnosis tools, anti-fungal treatment choice, and outcomes. We included fifteen patients with diagnosis criteria of fungal NEO; clinical features of NEO with positive culture swabs and/or positive serologic test to a fungal pathogen. The mean age was of 70 years with a prevalence of males. The main symptoms were otalgia (n=15) and otorrhea (n=7). Facial palsy was observed in four cases. Fungal pathogens were Candida(n=10) and Aspergillus (n=5). Complications were observed in eight cases: extension to the temporo-mandibular (n=4), abscess in the retropharyngeal space (n=2), abscess in the parapharyngeal space (n=1) and thrombophlebitis of the internal jugular vein (n=1). Six patients were treated with fluconazole, eight with voriconazole, and one patient with itraconazole. After a mean duration of 52 days of antifungal therapy, fourteen patients have been cured with normalization of the ear symptoms, biological, and imaging features. One patient died of septic shock. No recurrence of the disease was observed after a follow-up of 12 months in all cases.

Abstract Image

Abstract Image

真菌性坏死性外耳炎15例诊断、治疗及预后分析。
真菌性坏死性外耳炎(NEO)是一种罕见的疾病。这是一种具有侵袭性和潜在致命性的感染。最常见的病原体是念珠菌。我们的目的是通过本研究分享我们在真菌坏死性外耳炎的治疗经验,并讨论其诊断工具,抗真菌治疗的选择和结果。我们纳入了15例符合真菌性NEO诊断标准的患者;NEO培养拭子阳性和/或真菌病原体血清学检测阳性的临床特征。平均年龄70岁,男性居多。主要症状为耳痛(15例)、耳漏(7例)。面神经麻痹4例。病原菌为念珠菌(n=10)和曲霉(n=5)。观察到8例并发症:颞下颌部延伸(n=4),咽后间隙脓肿(n=2),咽旁间隙脓肿(n=1),颈内静脉血栓性静脉炎(n=1)。氟康唑组6例,伏立康唑组8例,伊曲康唑组1例。经过平均52天的抗真菌治疗,14例患者治愈,耳部症状、生物学和影像学特征恢复正常。一名患者死于感染性休克。所有病例随访12个月后均无复发。
本文章由计算机程序翻译,如有差异,请以英文原文为准。
求助全文
约1分钟内获得全文 求助全文
来源期刊
自引率
0.00%
发文量
0
×
引用
GB/T 7714-2015
复制
MLA
复制
APA
复制
导出至
BibTeX EndNote RefMan NoteFirst NoteExpress
×
提示
您的信息不完整,为了账户安全,请先补充。
现在去补充
×
提示
您因"违规操作"
具体请查看互助需知
我知道了
×
提示
确定
请完成安全验证×
copy
已复制链接
快去分享给好友吧!
我知道了
右上角分享
点击右上角分享
0
联系我们:info@booksci.cn Book学术提供免费学术资源搜索服务,方便国内外学者检索中英文文献。致力于提供最便捷和优质的服务体验。 Copyright © 2023 布克学术 All rights reserved.
京ICP备2023020795号-1
ghs 京公网安备 11010802042870号
Book学术文献互助
Book学术文献互助群
群 号:604180095
Book学术官方微信