Effect of Zearalenone-Induced Ferroptosis on Mice Spermatogenesis.

Yajing Li, Zhendong Zhu, Haixiang Cui, Kexin Ding, Yong Zhao, Xiangping Ma, Adedeji Olufemi Adetunji, Lingjiang Min
{"title":"Effect of Zearalenone-Induced Ferroptosis on Mice Spermatogenesis.","authors":"Yajing Li,&nbsp;Zhendong Zhu,&nbsp;Haixiang Cui,&nbsp;Kexin Ding,&nbsp;Yong Zhao,&nbsp;Xiangping Ma,&nbsp;Adedeji Olufemi Adetunji,&nbsp;Lingjiang Min","doi":"10.3390/ani12213026","DOIUrl":null,"url":null,"abstract":"<p><p>Male reproductive health is critically worsening around the world. It has been reported that the mycotoxin ZEA causes reproductive toxicity to domestic animals and affects spermatogenesis, thereby inhibiting male reproductive function. Ferroptosis is a newly identified type of programmed cell death that is different from apoptosis and it depends on iron accumulation and lipid peroxidation. Whether ferroptosis is linked to ZEA's detrimental effect on spermatogenesis needs to be further explored. This study clarifies ferroptosis's involvement in ZEA-induced damage on spermatogenesis. The reproductive injury model used in this study was induced by gavaging male mice in the ZEA treatment group with 30 μg/kg of ZEA for five weeks. Results show that ZEA treatment reduced mouse sperm motility and concentration, destroyed the structure of the seminiferous tubules of the testis, damaged the antioxidant defense system, and blocked spermatogenesis. Ferrostatin-1 (Fer-1) inhibition of ferroptosis partially alleviated ZEA-induced oligozoospermia in mice. In addition, ZEA treatment was found to activate a signaling pathway associated with ferroptosis in mouse testis. ZEA also downregulated the expression of <i>Nrf2</i>, <i>SLC7A11</i>, and <i>GPX4</i>, and decreased the protein expression of SLC7A11 and GPX4, resulting in the accumulation of lipid peroxides and an increase in the level of 4-HNE protein in the testis. Importantly, these changes were accompanied by an increase in the relative contents of Fe<sup>2+</sup> and Fe<sup>3+</sup>. Iron accumulation and lipid peroxidation are the causes of ferroptosis in spermatogenic cells, leading to a decrease in sperm motility and concentration. While the administration of Fer-1 at 0.5 and 1 mg/kg also increased the expression of SLC7A11 and GPX4 proteins by upregulating <i>Nrf2</i> expression, reducing iron accumulation, and reversing ZEA-induced ferroptosis, Fer-1 at 1.5 mg/kg had the best repairing effect for all parameters. In conclusion, ZEA-induced ferroptosis may be mediated by a notable reduction in <i>Nrf2</i>, <i>SLC7A11</i> and <i>GPX4</i> expression levels. Overall, ferroptosis is a novel therapeutic target for mitigating ZEA-induced reproductive toxicity.</p>","PeriodicalId":519482,"journal":{"name":"Animals : an Open Access Journal from MDPI","volume":" ","pages":""},"PeriodicalIF":0.0000,"publicationDate":"2022-11-03","publicationTypes":"Journal Article","fieldsOfStudy":null,"isOpenAccess":false,"openAccessPdf":"https://www.ncbi.nlm.nih.gov/pmc/articles/PMC9657494/pdf/","citationCount":"8","resultStr":null,"platform":"Semanticscholar","paperid":null,"PeriodicalName":"Animals : an Open Access Journal from MDPI","FirstCategoryId":"97","ListUrlMain":"https://doi.org/10.3390/ani12213026","RegionNum":0,"RegionCategory":null,"ArticlePicture":[],"TitleCN":null,"AbstractTextCN":null,"PMCID":null,"EPubDate":"","PubModel":"","JCR":"","JCRName":"","Score":null,"Total":0}
引用次数: 8

Abstract

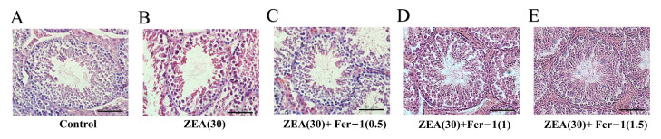
Male reproductive health is critically worsening around the world. It has been reported that the mycotoxin ZEA causes reproductive toxicity to domestic animals and affects spermatogenesis, thereby inhibiting male reproductive function. Ferroptosis is a newly identified type of programmed cell death that is different from apoptosis and it depends on iron accumulation and lipid peroxidation. Whether ferroptosis is linked to ZEA's detrimental effect on spermatogenesis needs to be further explored. This study clarifies ferroptosis's involvement in ZEA-induced damage on spermatogenesis. The reproductive injury model used in this study was induced by gavaging male mice in the ZEA treatment group with 30 μg/kg of ZEA for five weeks. Results show that ZEA treatment reduced mouse sperm motility and concentration, destroyed the structure of the seminiferous tubules of the testis, damaged the antioxidant defense system, and blocked spermatogenesis. Ferrostatin-1 (Fer-1) inhibition of ferroptosis partially alleviated ZEA-induced oligozoospermia in mice. In addition, ZEA treatment was found to activate a signaling pathway associated with ferroptosis in mouse testis. ZEA also downregulated the expression of Nrf2, SLC7A11, and GPX4, and decreased the protein expression of SLC7A11 and GPX4, resulting in the accumulation of lipid peroxides and an increase in the level of 4-HNE protein in the testis. Importantly, these changes were accompanied by an increase in the relative contents of Fe2+ and Fe3+. Iron accumulation and lipid peroxidation are the causes of ferroptosis in spermatogenic cells, leading to a decrease in sperm motility and concentration. While the administration of Fer-1 at 0.5 and 1 mg/kg also increased the expression of SLC7A11 and GPX4 proteins by upregulating Nrf2 expression, reducing iron accumulation, and reversing ZEA-induced ferroptosis, Fer-1 at 1.5 mg/kg had the best repairing effect for all parameters. In conclusion, ZEA-induced ferroptosis may be mediated by a notable reduction in Nrf2, SLC7A11 and GPX4 expression levels. Overall, ferroptosis is a novel therapeutic target for mitigating ZEA-induced reproductive toxicity.

Abstract Image

Abstract Image

Abstract Image

玉米赤霉烯酮诱导的铁下垂对小鼠精子发生的影响。
世界各地的男性生殖健康状况正在严重恶化。据报道,ZEA真菌毒素对家畜产生生殖毒性,影响精子发生,从而抑制雄性生殖功能。铁死亡是一种新发现的程序性细胞死亡类型,不同于细胞凋亡,它依赖于铁积累和脂质过氧化。铁下垂是否与ZEA对精子发生的不利影响有关还有待进一步探讨。本研究阐明了铁下垂参与zea诱导的精子发生损伤。本研究采用30 μg/kg ZEA灌胃治疗组雄性小鼠,连续5周建立生殖损伤模型。结果表明,ZEA处理降低了小鼠精子活力和浓度,破坏了睾丸精管结构,破坏了抗氧化防御系统,阻碍了精子的发生。抑制铁抑制素-1可部分缓解zea诱导的小鼠少精子症。此外,发现ZEA处理可激活小鼠睾丸中与铁下垂相关的信号通路。ZEA还下调Nrf2、SLC7A11和GPX4的表达,降低SLC7A11和GPX4的蛋白表达,导致睾丸内脂质过氧化物积累,4-HNE蛋白水平升高。重要的是,这些变化伴随着Fe2+和Fe3+相对含量的增加。铁积累和脂质过氧化是导致生精细胞铁下垂的原因,导致精子活力和浓度下降。0.5 mg/kg和1 mg/kg的fe -1也通过上调Nrf2表达、减少铁积累和逆转zea诱导的铁下垂来增加SLC7A11和GPX4蛋白的表达,但1.5 mg/kg的fe -1对所有参数的修复效果最好。由此可见,zea诱导的铁下垂可能是由Nrf2、SLC7A11和GPX4表达水平的显著降低介导的。综上所述,铁下垂是减轻zea诱导的生殖毒性的一个新的治疗靶点。
本文章由计算机程序翻译,如有差异,请以英文原文为准。
求助全文
约1分钟内获得全文 求助全文
来源期刊
自引率
0.00%
发文量
0
×
引用
GB/T 7714-2015
复制
MLA
复制
APA
复制
导出至
BibTeX EndNote RefMan NoteFirst NoteExpress
×
提示
您的信息不完整,为了账户安全,请先补充。
现在去补充
×
提示
您因"违规操作"
具体请查看互助需知
我知道了
×
提示
确定
请完成安全验证×
copy
已复制链接
快去分享给好友吧!
我知道了
右上角分享
点击右上角分享
0
联系我们:info@booksci.cn Book学术提供免费学术资源搜索服务,方便国内外学者检索中英文文献。致力于提供最便捷和优质的服务体验。 Copyright © 2023 布克学术 All rights reserved.
京ICP备2023020795号-1
ghs 京公网安备 11010802042870号
Book学术文献互助
Book学术文献互助群
群 号:604180095
Book学术官方微信