The outcomes of polyparasitism in stray cats from Brazilian Midwest assessed by epidemiological, hematological and pathological data.

Alanderson Rodrigues da Silva, Gisele Braziliano Andrade, Joyce Katiuccia Medeiros Ramos Carvalho, Wanessa Teixeira Gomes Barreto, Filipe Martins Santos, Keyla Carstens Marques de Sousa, Marcos Rogério André, Luiz Claudio Ferreira, Rodrigo Caldas Menezes, Heitor Miraglia Herrera
{"title":"The outcomes of polyparasitism in stray cats from Brazilian Midwest assessed by epidemiological, hematological and pathological data.","authors":"Alanderson Rodrigues da Silva, Gisele Braziliano Andrade, Joyce Katiuccia Medeiros Ramos Carvalho, Wanessa Teixeira Gomes Barreto, Filipe Martins Santos, Keyla Carstens Marques de Sousa, Marcos Rogério André, Luiz Claudio Ferreira, Rodrigo Caldas Menezes, Heitor Miraglia Herrera","doi":"10.1590/S1984-29612022033","DOIUrl":null,"url":null,"abstract":"<p><p>We evaluated the epidemiological, hematological, and pathological data of Leishmania spp., Toxoplasma gondii, Platynosomum illiciens, feline immunodeficiency virus (FIV), and feline leukemia virus (FeLV) infections and the coinfections in stray cats of an endemic area for leishmaniasis. The diagnosis was performed by serological tests and necropsy. We described gross lesions and histopathological findings. We used immunohistochemistry and chromogenic in situ hybridization for L. infantum detection. We found infection in 27 out of 50 sampled cats, among them, 14 presented coinfections. A strong correlation between splenomegaly and lymphadenomegaly with FeLV, and an association between hepatic lesions and cachexia with parasitism due to P. illiciens were observed. Moreover, we found a significant increase in the monocyte count in the FeLV-infected and a decrease in the red blood cell count in the FIV-infected animals. Amastigote forms of Leishmania spp. and tissue changes were detected in lymphoid organs of an animal coinfected with P. illiciens, T. gondii, and FIV. Polyparasitism recorded in stray cats of the Brazilian Midwest should be considered in effective control strategies for public health diseases. Moreover, stray cats of Campo Grande may be a source of infection of FIV, FeLV and P. illiciens for populations of domiciled cats.</p>","PeriodicalId":21270,"journal":{"name":"Revista brasileira de parasitologia veterinaria = Brazilian journal of veterinary parasitology : Orgao Oficial do Colegio Brasileiro de Parasitologia Veterinaria","volume":" ","pages":"e004222"},"PeriodicalIF":0.0000,"publicationDate":"2022-07-04","publicationTypes":"Journal Article","fieldsOfStudy":null,"isOpenAccess":false,"openAccessPdf":"https://www.ncbi.nlm.nih.gov/pmc/articles/PMC12136384/pdf/","citationCount":"0","resultStr":null,"platform":"Semanticscholar","paperid":null,"PeriodicalName":"Revista brasileira de parasitologia veterinaria = Brazilian journal of veterinary parasitology : Orgao Oficial do Colegio Brasileiro de Parasitologia Veterinaria","FirstCategoryId":"1085","ListUrlMain":"https://doi.org/10.1590/S1984-29612022033","RegionNum":0,"RegionCategory":null,"ArticlePicture":[],"TitleCN":null,"AbstractTextCN":null,"PMCID":null,"EPubDate":"2022/1/1 0:00:00","PubModel":"eCollection","JCR":"","JCRName":"","Score":null,"Total":0}
引用次数: 0

Abstract

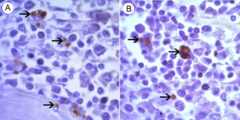
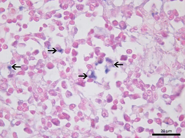
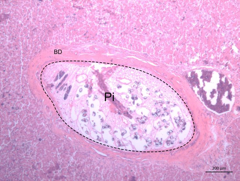
We evaluated the epidemiological, hematological, and pathological data of Leishmania spp., Toxoplasma gondii, Platynosomum illiciens, feline immunodeficiency virus (FIV), and feline leukemia virus (FeLV) infections and the coinfections in stray cats of an endemic area for leishmaniasis. The diagnosis was performed by serological tests and necropsy. We described gross lesions and histopathological findings. We used immunohistochemistry and chromogenic in situ hybridization for L. infantum detection. We found infection in 27 out of 50 sampled cats, among them, 14 presented coinfections. A strong correlation between splenomegaly and lymphadenomegaly with FeLV, and an association between hepatic lesions and cachexia with parasitism due to P. illiciens were observed. Moreover, we found a significant increase in the monocyte count in the FeLV-infected and a decrease in the red blood cell count in the FIV-infected animals. Amastigote forms of Leishmania spp. and tissue changes were detected in lymphoid organs of an animal coinfected with P. illiciens, T. gondii, and FIV. Polyparasitism recorded in stray cats of the Brazilian Midwest should be considered in effective control strategies for public health diseases. Moreover, stray cats of Campo Grande may be a source of infection of FIV, FeLV and P. illiciens for populations of domiciled cats.

Abstract Image

Abstract Image

Abstract Image

通过流行病学、血液学和病理学资料评估巴西中西部流浪猫多寄生的结果。
我们对某利什曼病流行区流浪猫的利什曼原虫、刚地弓形虫、利氏白虫、猫免疫缺陷病毒(FIV)和猫白血病病毒(FeLV)感染及合并感染进行了流行病学、血液学和病理学分析。通过血清学检查和尸检进行诊断。我们描述了大体病变和组织病理学结果。我们采用免疫组织化学和显色原位杂交技术检测婴儿乳杆菌。50只猫中有27只感染,其中共感染14只。脾肿大和淋巴肿大与FeLV有很强的相关性,肝脏病变和恶病质与疟原虫寄生有很强的相关性。此外,我们发现感染felv的动物单核细胞计数明显增加,而感染fiv的动物红细胞计数明显减少。在同一动物的淋巴器官中发现了利什曼原虫、弓形虫和FIV共感染的利什曼原虫和组织改变。巴西中西部流浪猫的多重寄生现象应作为公共卫生疾病有效控制策略加以考虑。此外,Campo Grande的流浪猫可能是定居猫种群中FIV、FeLV和P. illiciens的感染源。
本文章由计算机程序翻译,如有差异,请以英文原文为准。
求助全文
约1分钟内获得全文 求助全文
来源期刊
自引率
0.00%
发文量
0
×
引用
GB/T 7714-2015
复制
MLA
复制
APA
复制
导出至
BibTeX EndNote RefMan NoteFirst NoteExpress
×
提示
您的信息不完整,为了账户安全,请先补充。
现在去补充
×
提示
您因"违规操作"
具体请查看互助需知
我知道了
×
提示
确定
请完成安全验证×
copy
已复制链接
快去分享给好友吧!
我知道了
右上角分享
点击右上角分享
0
联系我们:info@booksci.cn Book学术提供免费学术资源搜索服务,方便国内外学者检索中英文文献。致力于提供最便捷和优质的服务体验。 Copyright © 2023 布克学术 All rights reserved.
京ICP备2023020795号-1
ghs 京公网安备 11010802042870号
Book学术文献互助
Book学术文献互助群
群 号:604180095
Book学术官方微信