Equine Stomach Development in the Foetal Period of Prenatal Life-A Histological and Histometric Study.

Dominik Poradowski, Aleksander Chrószcz
{"title":"Equine Stomach Development in the Foetal Period of Prenatal Life-A Histological and Histometric Study.","authors":"Dominik Poradowski,&nbsp;Aleksander Chrószcz","doi":"10.3390/ani12213047","DOIUrl":null,"url":null,"abstract":"<p><p>Histological and morphometrical analysis of the stomach wall was performed during the foetal period divided into three age groups (4th-11th month of gestation). The material was taken from non-glandular (the blind ventricular sac) and glandular parts (the plicated edge margin/cardiac part, the body of stomach and the pyloric part) of the stomach. It was preserved and prepared according to the standard protocol. The histological slides were stained (H-E, Masson-Goldner and PAS). The analyses were performed using the light microscope. All measurements were statistically elaborated. The crown-rump length growth rate was estimated as isometric. The blind ventricular sac growth rate was lower than CRL (negative allometric) and the partition of stomach mucosa into non-glandular and glandular part occurred in the 1st age group. The plicated edge margin/cardiac part and the pyloric part shoved similar tendencies. Only the body of stomach demonstrated a higher growth rate than CRL (positive allometric), which can be explained due to the strongest development of fundic glands. Moreover, comparing the adult reference group to the three parts of the foetal period, all metric values were lower than those achieved prenatally. The blind ventricular sac was covered with the multiple plane epithelium. The glandular parts of stomach that formed the superficial concave areas were covered with the simple columnar epithelium in the 1st age group, which developed to the cardiac, fundic, and pyloric glands in the 2rd and 3rd age groups. The <i>propria mucosae</i> was built with the mesenchyme, which differentiated later to the loose connective tissue. The muscular layer of mucosa was not clearly distinguishable in the 1st age group. The muscular layer of the stomach wall was formed with myoblasts in the 1st age group and later in the 2nd and the 3rd age groups built with fusiform myocytes divided into internal and external layers. The non-differentiated cells of glandular epithelium transformed into the parietal and chief cells. The first were visible in the gastric glands of the 2nd age group. Both of them were present in the 3rd age group gastric mucosa. The PAS staining proved a moderate PAS-positive reaction in the 2rd age group, while it was estimated as intense Pas-positive in the gastric glands in the 3rd age group and was comparable to postnatal observation (the adult reference group).</p>","PeriodicalId":519482,"journal":{"name":"Animals : an Open Access Journal from MDPI","volume":" ","pages":""},"PeriodicalIF":0.0000,"publicationDate":"2022-11-06","publicationTypes":"Journal Article","fieldsOfStudy":null,"isOpenAccess":false,"openAccessPdf":"https://www.ncbi.nlm.nih.gov/pmc/articles/PMC9656738/pdf/","citationCount":"1","resultStr":null,"platform":"Semanticscholar","paperid":null,"PeriodicalName":"Animals : an Open Access Journal from MDPI","FirstCategoryId":"97","ListUrlMain":"https://doi.org/10.3390/ani12213047","RegionNum":0,"RegionCategory":null,"ArticlePicture":[],"TitleCN":null,"AbstractTextCN":null,"PMCID":null,"EPubDate":"","PubModel":"","JCR":"","JCRName":"","Score":null,"Total":0}
引用次数: 1

Abstract

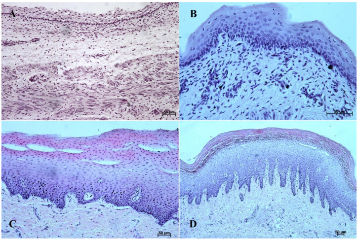
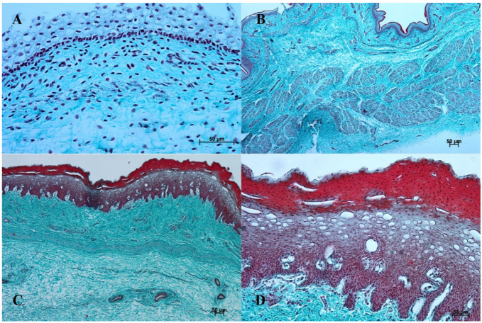
Histological and morphometrical analysis of the stomach wall was performed during the foetal period divided into three age groups (4th-11th month of gestation). The material was taken from non-glandular (the blind ventricular sac) and glandular parts (the plicated edge margin/cardiac part, the body of stomach and the pyloric part) of the stomach. It was preserved and prepared according to the standard protocol. The histological slides were stained (H-E, Masson-Goldner and PAS). The analyses were performed using the light microscope. All measurements were statistically elaborated. The crown-rump length growth rate was estimated as isometric. The blind ventricular sac growth rate was lower than CRL (negative allometric) and the partition of stomach mucosa into non-glandular and glandular part occurred in the 1st age group. The plicated edge margin/cardiac part and the pyloric part shoved similar tendencies. Only the body of stomach demonstrated a higher growth rate than CRL (positive allometric), which can be explained due to the strongest development of fundic glands. Moreover, comparing the adult reference group to the three parts of the foetal period, all metric values were lower than those achieved prenatally. The blind ventricular sac was covered with the multiple plane epithelium. The glandular parts of stomach that formed the superficial concave areas were covered with the simple columnar epithelium in the 1st age group, which developed to the cardiac, fundic, and pyloric glands in the 2rd and 3rd age groups. The propria mucosae was built with the mesenchyme, which differentiated later to the loose connective tissue. The muscular layer of mucosa was not clearly distinguishable in the 1st age group. The muscular layer of the stomach wall was formed with myoblasts in the 1st age group and later in the 2nd and the 3rd age groups built with fusiform myocytes divided into internal and external layers. The non-differentiated cells of glandular epithelium transformed into the parietal and chief cells. The first were visible in the gastric glands of the 2nd age group. Both of them were present in the 3rd age group gastric mucosa. The PAS staining proved a moderate PAS-positive reaction in the 2rd age group, while it was estimated as intense Pas-positive in the gastric glands in the 3rd age group and was comparable to postnatal observation (the adult reference group).

Abstract Image

Abstract Image

Abstract Image

马胎儿期胃发育的组织学和组织计量学研究。
将胎儿分为3个年龄组(妊娠4 -11个月),对其胃壁进行组织学和形态计量学分析。材料取自胃的非腺部(盲室囊)和腺部(胃的复杂边缘/心脏部分、胃体和幽门部分)。它是按照标准程序保存和制备的。组织切片染色(H-E, Masson-Goldner和PAS)。使用光学显微镜进行分析。所有的测量结果都经过统计分析。冠臀长增长率估计为等距增长。盲室囊生长速率低于负异速生长(CRL), 1岁组胃黏膜出现非腺部分和腺部分的分割。复杂的边缘/心脏部分和幽门部分推进相似的趋势。只有胃体的生长速度高于CRL(正异速生长),这可以解释为底腺发育最强。此外,将成年参照组与胎期的三个部分进行比较,所有度量值都低于产前达到的值。盲脑室囊被多平面上皮覆盖。胃腺体部分形成浅表凹区,1岁时被单层柱状上皮覆盖,2岁和3岁时发展到贲门腺、底腺和幽门腺。固有粘膜由间质形成,后分化为疏松结缔组织。1岁组肌层黏膜不明显。1龄大鼠胃壁肌层由成肌细胞形成,2、3龄大鼠胃壁肌层由梭状肌细胞分为内外两层形成。腺上皮未分化细胞转化为顶细胞和主细胞。前者可见于第二年龄组的胃腺。这两种症状均出现在3岁组胃粘膜。2龄组PAS染色为中度PAS阳性反应,而3龄组胃腺PAS染色估计为强烈PAS阳性,与出生后观察(成人参照组)相当。
本文章由计算机程序翻译,如有差异,请以英文原文为准。
求助全文
约1分钟内获得全文 求助全文
来源期刊
自引率
0.00%
发文量
0
×
引用
GB/T 7714-2015
复制
MLA
复制
APA
复制
导出至
BibTeX EndNote RefMan NoteFirst NoteExpress
×
提示
您的信息不完整,为了账户安全,请先补充。
现在去补充
×
提示
您因"违规操作"
具体请查看互助需知
我知道了
×
提示
确定
请完成安全验证×
copy
已复制链接
快去分享给好友吧!
我知道了
右上角分享
点击右上角分享
0
联系我们:info@booksci.cn Book学术提供免费学术资源搜索服务,方便国内外学者检索中英文文献。致力于提供最便捷和优质的服务体验。 Copyright © 2023 布克学术 All rights reserved.
京ICP备2023020795号-1
ghs 京公网安备 11010802042870号
Book学术文献互助
Book学术文献互助群
群 号:604180095
Book学术官方微信