Accidental Pathological Findings in Asymptomatic Maxillary Sinuses in Patients Referred for Head and Neck Cone-Beam Computed Tomography: A Cross-sectional Study Analysis.

IF 1.1 Q4 ENGINEERING, BIOMEDICAL
Journal of Medical Signals & Sensors Pub Date : 2022-05-12 eCollection Date: 2022-04-01 DOI:10.4103/jmss.jmss_96_21
Ajay Chandran, Manisha B Patil, S Nachiappan, Pratyaksha Singh Panwar, Anil Kumar Nagarajappa, Deepak R Kolte, J Suresh Babu, C Swarnalatha, Abhishek Singh Nayyar
{"title":"Accidental Pathological Findings in Asymptomatic Maxillary Sinuses in Patients Referred for Head and Neck Cone-Beam Computed Tomography: A Cross-sectional Study Analysis.","authors":"Ajay Chandran,&nbsp;Manisha B Patil,&nbsp;S Nachiappan,&nbsp;Pratyaksha Singh Panwar,&nbsp;Anil Kumar Nagarajappa,&nbsp;Deepak R Kolte,&nbsp;J Suresh Babu,&nbsp;C Swarnalatha,&nbsp;Abhishek Singh Nayyar","doi":"10.4103/jmss.jmss_96_21","DOIUrl":null,"url":null,"abstract":"<p><strong>Background: </strong>The aim of the present study was to detect the prevalence of accidental pathological findings in asymptomatic maxillary sinuses in patients referred for head and neck cone-beam computed tomography (CBCT) examination for varied reasons.</p><p><strong>Methods: </strong>The present cross-sectional study included a detailed analysis of CBCT scans of 150 patients aged between 18 and 70 years reporting for varied dental complaints for detecting accidental pathological findings in maxillary sinuses while the patients did not have any complaint pertaining to sinuses.</p><p><strong>Results: </strong>The findings of the present study revealed 58% patients to have pathological findings in maxillary sinuses while they were asymptomatic for sinuses. Furthermore, the prevalence of mucosal thickening was found in 29.3% of the patients while 36.7% patients presented with polypoidal mucosal thickening.</p><p><strong>Conclusion: </strong>Higher prevalence of pathologies in asymptomatic maxillary sinuses found in the present study emphasized significance of a thorough examination of routine dental patients by dento-maxillofacial radiologists with necessary investigations to be advised in the form of higher imaging modalities like CBCT, if necessary.</p>","PeriodicalId":37680,"journal":{"name":"Journal of Medical Signals & Sensors","volume":"12 2","pages":"138-144"},"PeriodicalIF":1.1000,"publicationDate":"2022-05-12","publicationTypes":"Journal Article","fieldsOfStudy":null,"isOpenAccess":false,"openAccessPdf":"https://ftp.ncbi.nlm.nih.gov/pub/pmc/oa_pdf/00/38/JMSS-12-138.PMC9215838.pdf","citationCount":"3","resultStr":null,"platform":"Semanticscholar","paperid":null,"PeriodicalName":"Journal of Medical Signals & Sensors","FirstCategoryId":"1085","ListUrlMain":"https://doi.org/10.4103/jmss.jmss_96_21","RegionNum":0,"RegionCategory":null,"ArticlePicture":[],"TitleCN":null,"AbstractTextCN":null,"PMCID":null,"EPubDate":"2022/4/1 0:00:00","PubModel":"eCollection","JCR":"Q4","JCRName":"ENGINEERING, BIOMEDICAL","Score":null,"Total":0}
引用次数: 3

Abstract

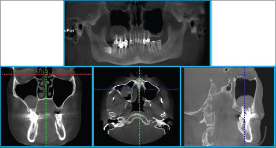
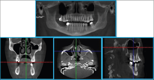
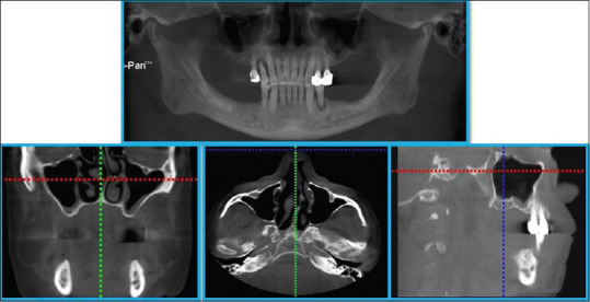
Background: The aim of the present study was to detect the prevalence of accidental pathological findings in asymptomatic maxillary sinuses in patients referred for head and neck cone-beam computed tomography (CBCT) examination for varied reasons.

Methods: The present cross-sectional study included a detailed analysis of CBCT scans of 150 patients aged between 18 and 70 years reporting for varied dental complaints for detecting accidental pathological findings in maxillary sinuses while the patients did not have any complaint pertaining to sinuses.

Results: The findings of the present study revealed 58% patients to have pathological findings in maxillary sinuses while they were asymptomatic for sinuses. Furthermore, the prevalence of mucosal thickening was found in 29.3% of the patients while 36.7% patients presented with polypoidal mucosal thickening.

Conclusion: Higher prevalence of pathologies in asymptomatic maxillary sinuses found in the present study emphasized significance of a thorough examination of routine dental patients by dento-maxillofacial radiologists with necessary investigations to be advised in the form of higher imaging modalities like CBCT, if necessary.

Abstract Image

Abstract Image

Abstract Image

无症状上颌窦患者行头颈部锥束计算机断层扫描的意外病理发现:一项横断面研究分析。
背景:本研究的目的是检测无症状上颌窦患者因各种原因进行头颈部锥束计算机断层扫描(CBCT)检查时意外病理发现的患病率。方法:本横断面研究包括详细分析150例年龄在18至70岁之间的患者的CBCT扫描,这些患者报告了各种牙科投诉,以检测上颌窦意外病理发现,而患者没有任何关于鼻窦的投诉。结果:本研究结果显示,58%的患者在无鼻窦症状时上颌窦有病理表现。29.3%的患者存在粘膜增厚,36.7%的患者表现为息肉样粘膜增厚。结论:本研究中发现的无症状上颌窦病变发生率较高,强调了牙颌面放射科医生对常规牙科患者进行彻底检查的重要性,必要时建议采用CBCT等更高的成像方式进行必要的检查。
本文章由计算机程序翻译,如有差异,请以英文原文为准。
求助全文
约1分钟内获得全文 求助全文
来源期刊
Journal of Medical Signals & Sensors
Journal of Medical Signals & Sensors ENGINEERING, BIOMEDICAL-
CiteScore
2.30
自引率
0.00%
发文量
53
审稿时长
33 weeks
期刊介绍: JMSS is an interdisciplinary journal that incorporates all aspects of the biomedical engineering including bioelectrics, bioinformatics, medical physics, health technology assessment, etc. Subject areas covered by the journal include: - Bioelectric: Bioinstruments Biosensors Modeling Biomedical signal processing Medical image analysis and processing Medical imaging devices Control of biological systems Neuromuscular systems Cognitive sciences Telemedicine Robotic Medical ultrasonography Bioelectromagnetics Electrophysiology Cell tracking - Bioinformatics and medical informatics: Analysis of biological data Data mining Stochastic modeling Computational genomics Artificial intelligence & fuzzy Applications Medical softwares Bioalgorithms Electronic health - Biophysics and medical physics: Computed tomography Radiation therapy Laser therapy - Education in biomedical engineering - Health technology assessment - Standard in biomedical engineering.
×
引用
GB/T 7714-2015
复制
MLA
复制
APA
复制
导出至
BibTeX EndNote RefMan NoteFirst NoteExpress
×
提示
您的信息不完整,为了账户安全,请先补充。
现在去补充
×
提示
您因"违规操作"
具体请查看互助需知
我知道了
×
提示
确定
请完成安全验证×
copy
已复制链接
快去分享给好友吧!
我知道了
右上角分享
点击右上角分享
0
联系我们:info@booksci.cn Book学术提供免费学术资源搜索服务,方便国内外学者检索中英文文献。致力于提供最便捷和优质的服务体验。 Copyright © 2023 布克学术 All rights reserved.
京ICP备2023020795号-1
ghs 京公网安备 11010802042870号
Book学术文献互助
Book学术文献互助群
群 号:604180095
Book学术官方微信