Neutrophilic Dermatoses: a Clinical Update.

IF 1.4 Q2 DERMATOLOGY
Current Dermatology Reports Pub Date : 2022-01-01 Epub Date: 2022-03-16 DOI:10.1007/s13671-022-00355-8
Emma H Weiss, Christine J Ko, Thomas H Leung, Robert G Micheletti, Arash Mostaghimi, Sarika M Ramachandran, Misha Rosenbach, Caroline A Nelson
{"title":"Neutrophilic Dermatoses: a Clinical Update.","authors":"Emma H Weiss,&nbsp;Christine J Ko,&nbsp;Thomas H Leung,&nbsp;Robert G Micheletti,&nbsp;Arash Mostaghimi,&nbsp;Sarika M Ramachandran,&nbsp;Misha Rosenbach,&nbsp;Caroline A Nelson","doi":"10.1007/s13671-022-00355-8","DOIUrl":null,"url":null,"abstract":"<p><strong>Purpose of review: </strong>Neutrophilic dermatoses are defined by the presence of a sterile neutrophilic infiltrate on histopathology. This review focuses on the pathogenesis, epidemiology, clinicopathological features, diagnosis, and management of four disorders: Sweet syndrome, pyoderma gangrenosum, Behçet syndrome, and neutrophilic eccrine hidradenitis.</p><p><strong>Recent findings: </strong>Recent studies have provided insight into the complex pathogenesis of neutrophilic dermatoses. Evidence supports an intricate interplay of abnormal neutrophil function and inflammasome activation, malignant transformation into dermal infiltrating neutrophils, and genetic predisposition.</p><p><strong>Summary: </strong>Neutrophilic dermatoses have diverse cutaneous and extracutaneous manifestations and may be associated with significant morbidity and mortality. Common underlying associations include infectious, inflammatory, and neoplastic disorders, as well as drug reactions. Emerging diagnostic and therapeutic frameworks identify an expanding role for biologic and targeted anti-inflammatory therapies.</p>","PeriodicalId":10838,"journal":{"name":"Current Dermatology Reports","volume":" ","pages":"89-102"},"PeriodicalIF":1.4000,"publicationDate":"2022-01-01","publicationTypes":"Journal Article","fieldsOfStudy":null,"isOpenAccess":false,"openAccessPdf":"https://www.ncbi.nlm.nih.gov/pmc/articles/PMC8924564/pdf/","citationCount":"11","resultStr":null,"platform":"Semanticscholar","paperid":null,"PeriodicalName":"Current Dermatology Reports","FirstCategoryId":"1085","ListUrlMain":"https://doi.org/10.1007/s13671-022-00355-8","RegionNum":0,"RegionCategory":null,"ArticlePicture":[],"TitleCN":null,"AbstractTextCN":null,"PMCID":null,"EPubDate":"2022/3/16 0:00:00","PubModel":"Epub","JCR":"Q2","JCRName":"DERMATOLOGY","Score":null,"Total":0}
引用次数: 11

Abstract

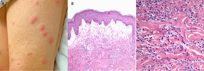
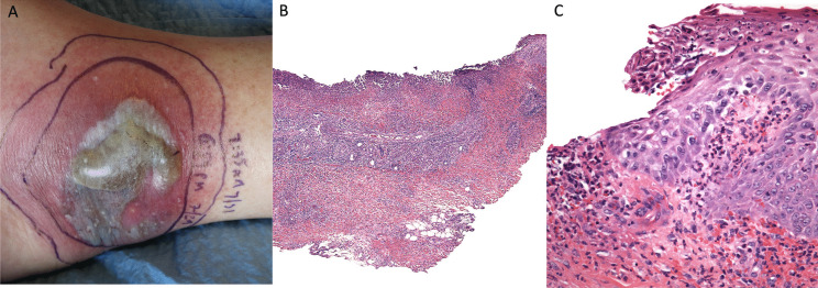
Purpose of review: Neutrophilic dermatoses are defined by the presence of a sterile neutrophilic infiltrate on histopathology. This review focuses on the pathogenesis, epidemiology, clinicopathological features, diagnosis, and management of four disorders: Sweet syndrome, pyoderma gangrenosum, Behçet syndrome, and neutrophilic eccrine hidradenitis.

Recent findings: Recent studies have provided insight into the complex pathogenesis of neutrophilic dermatoses. Evidence supports an intricate interplay of abnormal neutrophil function and inflammasome activation, malignant transformation into dermal infiltrating neutrophils, and genetic predisposition.

Summary: Neutrophilic dermatoses have diverse cutaneous and extracutaneous manifestations and may be associated with significant morbidity and mortality. Common underlying associations include infectious, inflammatory, and neoplastic disorders, as well as drug reactions. Emerging diagnostic and therapeutic frameworks identify an expanding role for biologic and targeted anti-inflammatory therapies.

Abstract Image

Abstract Image

Abstract Image

中性粒细胞皮肤病:临床最新进展。
综述目的:中性粒细胞性皮肤病的定义是在组织病理学上出现无菌的中性粒细胞浸润。本文综述了Sweet综合征、坏疽性脓皮病、behet综合征和中性粒细胞性汗腺炎的发病机制、流行病学、临床病理特征、诊断和治疗。最近的发现:最近的研究为中性粒细胞性皮肤病的复杂发病机制提供了见解。证据支持异常中性粒细胞功能和炎性体激活、恶性转化为真皮浸润性中性粒细胞和遗传易感性之间复杂的相互作用。摘要:中性粒细胞性皮肤病具有多种皮肤和皮肤外表现,可能与显著的发病率和死亡率相关。常见的潜在关联包括感染性、炎症性和肿瘤性疾病,以及药物反应。新兴的诊断和治疗框架确定了生物和靶向抗炎治疗的扩大作用。
本文章由计算机程序翻译,如有差异,请以英文原文为准。
求助全文
约1分钟内获得全文 求助全文
来源期刊
CiteScore
3.30
自引率
6.20%
发文量
28
期刊介绍: This journal intends to review the most significant recent developments in the field of dermatology. By providing clear, insightful, balanced contributions by expert international authors, the journal aims to serve all those involved in the diagnosis, treatment, management, and prevention of dermatologic conditions. We accomplish this aim by appointing international authorities to serve as Section Editors in key subject areas across the field, such as epidemiology, surgery, pharmacology, clinical trial design, and pediatrics. Section Editors select topics for which leading experts contribute comprehensive review articles that emphasize new developments and recently published papers of major importance, highlighted by annotated reference lists. We also provide commentaries from well-known figures in the field, and an Editorial Board of more than 20 internationally diverse members suggests topics of special interest to their country/region and ensures that topics are current and include emerging research.
×
引用
GB/T 7714-2015
复制
MLA
复制
APA
复制
导出至
BibTeX EndNote RefMan NoteFirst NoteExpress
×
提示
您的信息不完整,为了账户安全,请先补充。
现在去补充
×
提示
您因"违规操作"
具体请查看互助需知
我知道了
×
提示
确定
请完成安全验证×
copy
已复制链接
快去分享给好友吧!
我知道了
右上角分享
点击右上角分享
0
联系我们:info@booksci.cn Book学术提供免费学术资源搜索服务,方便国内外学者检索中英文文献。致力于提供最便捷和优质的服务体验。 Copyright © 2023 布克学术 All rights reserved.
京ICP备2023020795号-1
ghs 京公网安备 11010802042870号
Book学术文献互助
Book学术文献互助群
群 号:604180095
Book学术官方微信