Late presentation of hyperandrogenism in pregnancy: clinical features and differential diagnosis.

IF 0.7
Gautam Das, Vinay S Eligar, Jyothish Govindan, D Aled Rees
{"title":"Late presentation of hyperandrogenism in pregnancy: clinical features and differential diagnosis.","authors":"Gautam Das,&nbsp;Vinay S Eligar,&nbsp;Jyothish Govindan,&nbsp;D Aled Rees","doi":"10.1530/EDM-13-0048","DOIUrl":null,"url":null,"abstract":"<p><strong>Background: </strong>Hyperandrogenic states in pregnancy are rare but arise most commonly due to new-onset ovarian pathology in pregnancy. We describe the case of a young woman who presented in the latter half of her pregnancy with features of hyperandrogenism. We review the biochemical and imaging findings and discuss the differential diagnosis.</p><p><strong>Case presentation: </strong>A 26-year-old woman presented in the later part of her pregnancy with widespread hirsutism. Biochemical testing confirmed hyperandrogenism (testosterone, 13.7 nmol/l and second-trimester pregnancy range, 0.9-4.9 nmol/l), although she had no history of menstrual disturbance, hirsutism or acne prior to conception. Radiological evaluation (ultrasound and magnetic resonance imaging) revealed multiple cystic lesions in both ovaries, leading to a presumptive diagnosis of hyperreactio luteinalis (HL). The implications of maternal hyperandrogenism on foetal virilisation were considered and the patient was counselled appropriately. She delivered a healthy baby boy uneventfully. Androgen levels, hirsutism and acne normalised within a few weeks of delivery.</p><p><strong>Conclusion: </strong>HL can occur at any stage of pregnancy and is an important differential diagnosis in pregnant patients with features of androgen excess. Most cases regress spontaneously after delivery and major interventions are usually not needed.</p><p><strong>Learning points: </strong>Hyperandrogenism in pregnancy is rare.Clinical features are similar to the non-pregnant state in the mother but virilisation in the foetus can have profound consequences.HL and pregnancy luteoma are the most common ovarian pathologies leading to hyperandrogenism in pregnancy.Spontaneous regression occurs in the post-partum period in the vast majority of cases and surgery is only required for local complications.</p>","PeriodicalId":520608,"journal":{"name":"Endocrinology, diabetes & metabolism case reports","volume":" ","pages":"130048"},"PeriodicalIF":0.7000,"publicationDate":"2013-01-01","publicationTypes":"Journal Article","fieldsOfStudy":null,"isOpenAccess":false,"openAccessPdf":"https://sci-hub-pdf.com/10.1530/EDM-13-0048","citationCount":"8","resultStr":null,"platform":"Semanticscholar","paperid":null,"PeriodicalName":"Endocrinology, diabetes & metabolism case reports","FirstCategoryId":"1085","ListUrlMain":"https://doi.org/10.1530/EDM-13-0048","RegionNum":0,"RegionCategory":null,"ArticlePicture":[],"TitleCN":null,"AbstractTextCN":null,"PMCID":null,"EPubDate":"2013/10/16 0:00:00","PubModel":"Epub","JCR":"","JCRName":"","Score":null,"Total":0}
引用次数: 8

Abstract

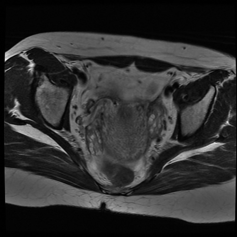
Background: Hyperandrogenic states in pregnancy are rare but arise most commonly due to new-onset ovarian pathology in pregnancy. We describe the case of a young woman who presented in the latter half of her pregnancy with features of hyperandrogenism. We review the biochemical and imaging findings and discuss the differential diagnosis.

Case presentation: A 26-year-old woman presented in the later part of her pregnancy with widespread hirsutism. Biochemical testing confirmed hyperandrogenism (testosterone, 13.7 nmol/l and second-trimester pregnancy range, 0.9-4.9 nmol/l), although she had no history of menstrual disturbance, hirsutism or acne prior to conception. Radiological evaluation (ultrasound and magnetic resonance imaging) revealed multiple cystic lesions in both ovaries, leading to a presumptive diagnosis of hyperreactio luteinalis (HL). The implications of maternal hyperandrogenism on foetal virilisation were considered and the patient was counselled appropriately. She delivered a healthy baby boy uneventfully. Androgen levels, hirsutism and acne normalised within a few weeks of delivery.

Conclusion: HL can occur at any stage of pregnancy and is an important differential diagnosis in pregnant patients with features of androgen excess. Most cases regress spontaneously after delivery and major interventions are usually not needed.

Learning points: Hyperandrogenism in pregnancy is rare.Clinical features are similar to the non-pregnant state in the mother but virilisation in the foetus can have profound consequences.HL and pregnancy luteoma are the most common ovarian pathologies leading to hyperandrogenism in pregnancy.Spontaneous regression occurs in the post-partum period in the vast majority of cases and surgery is only required for local complications.

Abstract Image

Abstract Image

晚期妊娠高雄激素症的临床特征和鉴别诊断。
背景:妊娠期高雄激素状态是罕见的,但最常见的是由于妊娠期新发卵巢病理。我们描述的情况下,一个年轻的妇女谁提出了在她怀孕的后半段的特点高雄激素症。我们回顾生化和影像学表现,并讨论鉴别诊断。病例介绍:一位26岁的女性在怀孕后期出现了广泛的多毛症。生化检查证实高雄激素(睾酮,13.7 nmol/l,妊娠中期范围,0.9-4.9 nmol/l),尽管她在受孕前没有月经紊乱、多毛或痤疮史。放射学评估(超声和磁共振成像)显示双卵巢多发囊性病变,推定诊断为黄体高反应性黄体炎(HL)。考虑到母体雄激素过多对胎儿阳刚化的影响,并对患者进行了适当的咨询。她平安无事地生了一个健康的男婴。雄激素水平、多毛和痤疮在分娩后几周内恢复正常。结论:HL可发生于妊娠的任何阶段,是以雄激素过多为特征的妊娠患者的重要鉴别诊断。大多数病例在分娩后自行消退,通常不需要重大干预措施。学习要点:妊娠期雄激素过多是罕见的。临床特征与母亲未怀孕状态相似,但胎儿的男性化可能会产生深远的影响。HL和妊娠黄体瘤是最常见的卵巢病理导致妊娠高雄激素症。自发性退化发生在产后,在绝大多数情况下,手术只需要局部并发症。
本文章由计算机程序翻译,如有差异,请以英文原文为准。
求助全文
约1分钟内获得全文 求助全文
来源期刊
自引率
0.00%
发文量
0
×
引用
GB/T 7714-2015
复制
MLA
复制
APA
复制
导出至
BibTeX EndNote RefMan NoteFirst NoteExpress
×
提示
您的信息不完整,为了账户安全,请先补充。
现在去补充
×
提示
您因"违规操作"
具体请查看互助需知
我知道了
×
提示
确定
请完成安全验证×
copy
已复制链接
快去分享给好友吧!
我知道了
右上角分享
点击右上角分享
0
联系我们:info@booksci.cn Book学术提供免费学术资源搜索服务,方便国内外学者检索中英文文献。致力于提供最便捷和优质的服务体验。 Copyright © 2023 布克学术 All rights reserved.
京ICP备2023020795号-1
ghs 京公网安备 11010802042870号
Book学术文献互助
Book学术文献互助群
群 号:604180095
Book学术官方微信