Recurrent Dermatofibrosarcoma Protuberans of the Vulva: A Rare Occurrence and Review of Literature.

Lajya Devi Goyal, Priyanka Garg, Manmeet Kaur, Diksha Sharma
{"title":"Recurrent Dermatofibrosarcoma Protuberans of the Vulva: A Rare Occurrence and Review of Literature.","authors":"Lajya Devi Goyal,&nbsp;Priyanka Garg,&nbsp;Manmeet Kaur,&nbsp;Diksha Sharma","doi":"10.18502/jfrh.v15i2.6456","DOIUrl":null,"url":null,"abstract":"<p><p><b>Objective:</b> Dermatofibrosarcoma protuberans (DFSP) of the vulva is an uncommon soft tissue tumor with fewer than 60 cases reported previously. Distant metastasis is rare with a high propensity for local invasion. Surgical management is the gold standard with adequate margin excision to prevent future recurrences. We report a case of vulvar DFSP requiring three resections to achieve primary clearance. To the best of our knowledge, this is the first case report from India. <b>Case report</b> <b>:</b> A 35-years-old female, presented with nodular vulvar mass for the third time arising from the upper part of right labia majora for the last year. She had a history of two similar episodes in the past for which excision was done and histopathology confirmed DFSP. The third wide local resection was performed with 3 cm margins and the margins were sent for intra-operative frozen section analysis, which was confirmed clear by the pathologist. The patient has been free of recurrence for two years. <b>Conclusion:</b> DFSP is a challenging condition presenting as a non-tender nodular mass characterized by local invasion and recurrence. Early diagnosis and appropriate management using wide local excision with accurate margin assessment can achieve optimal results and prevent future recurrences.</p>","PeriodicalId":15845,"journal":{"name":"Journal of Family and Reproductive Health","volume":"15 2","pages":"136-140"},"PeriodicalIF":0.0000,"publicationDate":"2021-06-01","publicationTypes":"Journal Article","fieldsOfStudy":null,"isOpenAccess":false,"openAccessPdf":"https://ftp.ncbi.nlm.nih.gov/pub/pmc/oa_pdf/f2/43/JFRH-15-136.PMC8520659.pdf","citationCount":"3","resultStr":null,"platform":"Semanticscholar","paperid":null,"PeriodicalName":"Journal of Family and Reproductive Health","FirstCategoryId":"1085","ListUrlMain":"https://doi.org/10.18502/jfrh.v15i2.6456","RegionNum":0,"RegionCategory":null,"ArticlePicture":[],"TitleCN":null,"AbstractTextCN":null,"PMCID":null,"EPubDate":"","PubModel":"","JCR":"","JCRName":"","Score":null,"Total":0}
引用次数: 3

Abstract

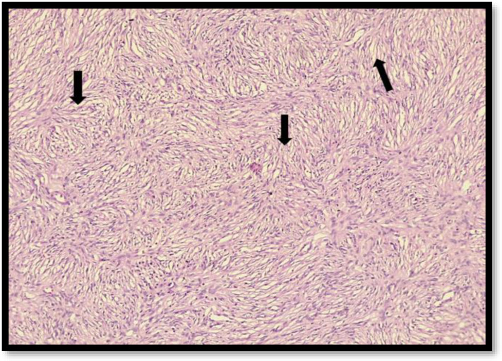
Objective: Dermatofibrosarcoma protuberans (DFSP) of the vulva is an uncommon soft tissue tumor with fewer than 60 cases reported previously. Distant metastasis is rare with a high propensity for local invasion. Surgical management is the gold standard with adequate margin excision to prevent future recurrences. We report a case of vulvar DFSP requiring three resections to achieve primary clearance. To the best of our knowledge, this is the first case report from India. Case report : A 35-years-old female, presented with nodular vulvar mass for the third time arising from the upper part of right labia majora for the last year. She had a history of two similar episodes in the past for which excision was done and histopathology confirmed DFSP. The third wide local resection was performed with 3 cm margins and the margins were sent for intra-operative frozen section analysis, which was confirmed clear by the pathologist. The patient has been free of recurrence for two years. Conclusion: DFSP is a challenging condition presenting as a non-tender nodular mass characterized by local invasion and recurrence. Early diagnosis and appropriate management using wide local excision with accurate margin assessment can achieve optimal results and prevent future recurrences.

Abstract Image

Abstract Image

Abstract Image

外阴隆突性皮肤纤维肉瘤复发:罕见病例及文献回顾。
目的:外阴隆突性皮肤纤维肉瘤(DFSP)是一种少见的软组织肿瘤,文献报道不足60例。远端转移是罕见的,有很高的局部侵袭倾向。手术治疗是金标准,适当切除边缘以防止未来复发。我们报告一例外阴DFSP需要三次切除才能获得初步清除。据我们所知,这是印度首例病例报告。病例报告:一名35岁女性,去年第三次出现右大阴唇上部的结节性外阴肿块。患者既往有两次类似病史,均行手术切除,组织病理学证实为DFSP。第三次大面积局部切除,切缘3cm,术中冰冻切片分析,病理证实无误。这个病人已经两年没有复发了。结论:DFSP是一种具有挑战性的疾病,表现为非压痛性结节性肿块,具有局部侵袭和复发的特点。早期诊断和适当的治疗,采用广泛的局部切除和准确的切缘评估,可以达到最佳效果,防止未来复发。
本文章由计算机程序翻译,如有差异,请以英文原文为准。
求助全文
约1分钟内获得全文 求助全文
来源期刊
自引率
0.00%
发文量
30
审稿时长
5 weeks
期刊介绍: The Journal of Family & Reproductive Health (JFRH) is the quarterly official journal of Vali–e–Asr Reproductive Health Research Center. This journal features fulllength, peerreviewed papers reporting original research, clinical case histories, review articles, as well as opinions and debates on topical issues. Papers published cover the scientific and medical aspects of reproductive physiology and pathology including genetics, endocrinology, andrology, embryology, gynecologic urology, fetomaternal medicine, oncology, infectious disease, public health, nutrition, surgery, menopause, family planning, infertility, psychiatry–psychology, demographic modeling, perinatalogy–neonatolgy ethics and social issues, and pharmacotherapy. A high scientific and editorial standard is maintained throughout the journal along with a regular rate of publication. All published articles will become the property of the JFRH. The editor and publisher accept no responsibility for the statements expressed by the authors here in. Also they do not guarantee, warrant or endorse any product or service advertised in the journal.
×
引用
GB/T 7714-2015
复制
MLA
复制
APA
复制
导出至
BibTeX EndNote RefMan NoteFirst NoteExpress
×
提示
您的信息不完整,为了账户安全,请先补充。
现在去补充
×
提示
您因"违规操作"
具体请查看互助需知
我知道了
×
提示
确定
请完成安全验证×
copy
已复制链接
快去分享给好友吧!
我知道了
右上角分享
点击右上角分享
0
联系我们:info@booksci.cn Book学术提供免费学术资源搜索服务,方便国内外学者检索中英文文献。致力于提供最便捷和优质的服务体验。 Copyright © 2023 布克学术 All rights reserved.
京ICP备2023020795号-1
ghs 京公网安备 11010802042870号
Book学术文献互助
Book学术文献互助群
群 号:604180095
Book学术官方微信