Candida species in community-acquired pneumonia in patients with chronic aspiration.

IF 6.2 Q1 RESPIRATORY SYSTEM
Benjamin J Moss, Daniel M Musher
{"title":"Candida species in community-acquired pneumonia in patients with chronic aspiration.","authors":"Benjamin J Moss,&nbsp;Daniel M Musher","doi":"10.1186/s41479-021-00090-x","DOIUrl":null,"url":null,"abstract":"<p><strong>Background: </strong>When Candida species is found in a sputum culture, clinicians generally dismiss it as a contaminant. We sought to identify cases of community-acquired pneumonia (CAP) in which Candida might play a contributory etiologic role.</p><p><strong>Methods: </strong>In a convenience sample of patients hospitalized for CAP, we screened for \"high-quality sputum\" by Gram stain (> 20 WBC/epithelial cell) and performed quantitative sputum cultures. Criteria for a potential etiologic role for Candida included the observation of large numbers of yeast forms on Gram stain, intracellular organisms and > 10<sup>6</sup> CFU/ml Candida in sputum. We gathered clinical information on cases that met these criteria for possible Candida infection.</p><p><strong>Results: </strong>Sputum from 6 of 154 consecutive CAP patients had large numbers of extra- and intracellular yeast forms on Gram stain, with > 10<sup>6</sup> CFU/ml Candida albicans, glabrata, or tropicalis on quantitative culture. In all 6 patients, the clinical diagnoses at admission included chronic aspiration. Greater than 10<sup>5</sup> CFU/ml of a recognized bacterial pathogen (Streptococcus pneumoniae, Staphylococcus aureus, or Pseudomonas) or > 10<sup>6</sup> CFU/ml of other 'normal respiratory flora' (Lactobacillus species) were present together with Candida spp. in every case. Blood cultures yielded Candida in 2 cases, and 1,3-beta-D glucan was > 500 ng/mL in 3 of 3 cases in which it was assayed. Since all patients were treated with anti-bacterial and anti-fungal drugs, no inference about etiology can be derived from therapeutic response.</p><p><strong>Conclusions: </strong>Candida spp. together with a recognized bacterial pathogen or normal respiratory flora may contribute to the cause of CAP in patients who chronically aspirate.</p>","PeriodicalId":45120,"journal":{"name":"Pneumonia","volume":"13 1","pages":"12"},"PeriodicalIF":6.2000,"publicationDate":"2021-07-05","publicationTypes":"Journal Article","fieldsOfStudy":null,"isOpenAccess":false,"openAccessPdf":"https://sci-hub-pdf.com/10.1186/s41479-021-00090-x","citationCount":"7","resultStr":null,"platform":"Semanticscholar","paperid":null,"PeriodicalName":"Pneumonia","FirstCategoryId":"1085","ListUrlMain":"https://doi.org/10.1186/s41479-021-00090-x","RegionNum":0,"RegionCategory":null,"ArticlePicture":[],"TitleCN":null,"AbstractTextCN":null,"PMCID":null,"EPubDate":"","PubModel":"","JCR":"Q1","JCRName":"RESPIRATORY SYSTEM","Score":null,"Total":0}
引用次数: 7

Abstract

Background: When Candida species is found in a sputum culture, clinicians generally dismiss it as a contaminant. We sought to identify cases of community-acquired pneumonia (CAP) in which Candida might play a contributory etiologic role.

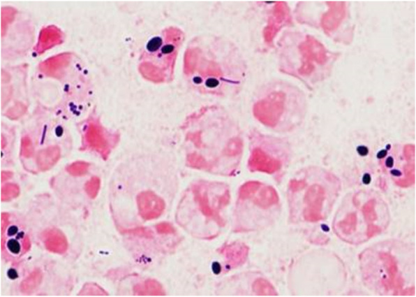
Methods: In a convenience sample of patients hospitalized for CAP, we screened for "high-quality sputum" by Gram stain (> 20 WBC/epithelial cell) and performed quantitative sputum cultures. Criteria for a potential etiologic role for Candida included the observation of large numbers of yeast forms on Gram stain, intracellular organisms and > 106 CFU/ml Candida in sputum. We gathered clinical information on cases that met these criteria for possible Candida infection.

Results: Sputum from 6 of 154 consecutive CAP patients had large numbers of extra- and intracellular yeast forms on Gram stain, with > 106 CFU/ml Candida albicans, glabrata, or tropicalis on quantitative culture. In all 6 patients, the clinical diagnoses at admission included chronic aspiration. Greater than 105 CFU/ml of a recognized bacterial pathogen (Streptococcus pneumoniae, Staphylococcus aureus, or Pseudomonas) or > 106 CFU/ml of other 'normal respiratory flora' (Lactobacillus species) were present together with Candida spp. in every case. Blood cultures yielded Candida in 2 cases, and 1,3-beta-D glucan was > 500 ng/mL in 3 of 3 cases in which it was assayed. Since all patients were treated with anti-bacterial and anti-fungal drugs, no inference about etiology can be derived from therapeutic response.

Conclusions: Candida spp. together with a recognized bacterial pathogen or normal respiratory flora may contribute to the cause of CAP in patients who chronically aspirate.

Abstract Image

Abstract Image

慢性吸入性社区获得性肺炎患者的念珠菌种类。
背景:当在痰培养中发现念珠菌时,临床医生通常认为它是一种污染物。我们试图确定社区获得性肺炎(CAP)的病例,其中念珠菌可能在病因学中起作用。方法:在CAP住院患者的方便样本中,我们通过革兰氏染色筛选“优质痰”(> 20 WBC/上皮细胞)并进行定量痰培养。念珠菌潜在病原学作用的标准包括革兰氏染色观察到大量酵母菌,细胞内生物和痰中念珠菌> 106 CFU/ml。我们收集了符合这些可能的念珠菌感染标准的病例的临床信息。结果:在154例连续的CAP患者中,有6例患者的痰在革兰氏染色上有大量的细胞外和细胞内酵母菌,在定量培养上白色念珠菌、光秃念珠菌或热带念珠菌> 106 CFU/ml。6例患者入院时临床诊断均为慢性误吸。在所有病例中,与念珠菌属一起出现的已知细菌病原体(肺炎链球菌、金黄色葡萄球菌或假单胞菌)大于105 CFU/ml或其他“正常呼吸道菌群”(乳杆菌种)> 106 CFU/ml。2例血培养检出念珠菌,3例中有3例1,3- β - d葡聚糖> 500 ng/mL。由于所有患者均接受了抗菌和抗真菌药物治疗,因此不能从治疗反应中推断病因。结论:念珠菌与一种已知的细菌病原体或正常的呼吸道菌群可能是导致慢性吸气患者CAP的原因。
本文章由计算机程序翻译,如有差异,请以英文原文为准。
求助全文
约1分钟内获得全文 求助全文
来源期刊
Pneumonia
Pneumonia RESPIRATORY SYSTEM-
自引率
1.50%
发文量
7
审稿时长
11 weeks
期刊介绍:
×
引用
GB/T 7714-2015
复制
MLA
复制
APA
复制
导出至
BibTeX EndNote RefMan NoteFirst NoteExpress
×
提示
您的信息不完整,为了账户安全,请先补充。
现在去补充
×
提示
您因"违规操作"
具体请查看互助需知
我知道了
×
提示
确定
请完成安全验证×
copy
已复制链接
快去分享给好友吧!
我知道了
右上角分享
点击右上角分享
0
联系我们:info@booksci.cn Book学术提供免费学术资源搜索服务,方便国内外学者检索中英文文献。致力于提供最便捷和优质的服务体验。 Copyright © 2023 布克学术 All rights reserved.
京ICP备2023020795号-1
ghs 京公网安备 11010802042870号
Book学术文献互助
Book学术文献互助群
群 号:604180095
Book学术官方微信