A Modified Laparoscopic Technique for the Removal of Nonfragmentable Giant Gastric Trichobezoar.

Nigerian Journal of Surgery Pub Date : 2020-01-01 Epub Date: 2020-02-10 DOI:10.4103/njs.NJS_20_19
Sakthivel Harikrishnan, Senthilkumar Perumal, Kanchan Sachanandani, M Thiruvarul, C Sugumar, Jeswanth Sathyanesan, P Ravichandran
{"title":"A Modified Laparoscopic Technique for the Removal of Nonfragmentable Giant Gastric Trichobezoar.","authors":"Sakthivel Harikrishnan,&nbsp;Senthilkumar Perumal,&nbsp;Kanchan Sachanandani,&nbsp;M Thiruvarul,&nbsp;C Sugumar,&nbsp;Jeswanth Sathyanesan,&nbsp;P Ravichandran","doi":"10.4103/njs.NJS_20_19","DOIUrl":null,"url":null,"abstract":"<p><p>Bezoars are usually defined as collections of nondigestible matter that most commonly accumulates in the stomach and can sometimes extend to the small bowel. Trichobezoars are a rare entity which is most commonly observed in young psychiatric females with trichotillomania and trichophagia. Here, we report a case of giant gastric trichobezoar and a novel technique of laparoscopic removal in a 16 year old female with trichophagia. The giant gastric trichobezoar weighing about half a kilogram was removed en masse laparoscopically by a novel technique. She had an uneventful postoperative recovery and was discharged after psychiatric counseling.</p>","PeriodicalId":30399,"journal":{"name":"Nigerian Journal of Surgery","volume":"26 1","pages":"84-87"},"PeriodicalIF":0.0000,"publicationDate":"2020-01-01","publicationTypes":"Journal Article","fieldsOfStudy":null,"isOpenAccess":false,"openAccessPdf":"https://ftp.ncbi.nlm.nih.gov/pub/pmc/oa_pdf/73/74/NJS-26-84.PMC7041354.pdf","citationCount":"3","resultStr":null,"platform":"Semanticscholar","paperid":null,"PeriodicalName":"Nigerian Journal of Surgery","FirstCategoryId":"1085","ListUrlMain":"https://doi.org/10.4103/njs.NJS_20_19","RegionNum":0,"RegionCategory":null,"ArticlePicture":[],"TitleCN":null,"AbstractTextCN":null,"PMCID":null,"EPubDate":"2020/2/10 0:00:00","PubModel":"Epub","JCR":"","JCRName":"","Score":null,"Total":0}
引用次数: 3

Abstract

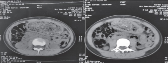
Bezoars are usually defined as collections of nondigestible matter that most commonly accumulates in the stomach and can sometimes extend to the small bowel. Trichobezoars are a rare entity which is most commonly observed in young psychiatric females with trichotillomania and trichophagia. Here, we report a case of giant gastric trichobezoar and a novel technique of laparoscopic removal in a 16 year old female with trichophagia. The giant gastric trichobezoar weighing about half a kilogram was removed en masse laparoscopically by a novel technique. She had an uneventful postoperative recovery and was discharged after psychiatric counseling.

Abstract Image

Abstract Image

Abstract Image

一种改良的腹腔镜技术用于去除不可破碎的巨大胃毛毛球。
牛粪通常被定义为不可消化物质的集合,通常积聚在胃中,有时会延伸到小肠。拔毛虫是一种罕见的实体,最常见于患有拔毛癖和拔毛癖的年轻精神病女性。在此,我们报告一例巨大的胃毛癣和一种新的腹腔镜下去除技术在一个16岁的女性毛癣。一种新技术在腹腔镜下将重约半公斤的巨大胃毛虫全部切除。术后恢复顺利,经心理咨询后出院。
本文章由计算机程序翻译,如有差异,请以英文原文为准。
求助全文
约1分钟内获得全文 求助全文
来源期刊
自引率
0.00%
发文量
0
审稿时长
37 weeks
×
引用
GB/T 7714-2015
复制
MLA
复制
APA
复制
导出至
BibTeX EndNote RefMan NoteFirst NoteExpress
×
提示
您的信息不完整,为了账户安全,请先补充。
现在去补充
×
提示
您因"违规操作"
具体请查看互助需知
我知道了
×
提示
确定
请完成安全验证×
copy
已复制链接
快去分享给好友吧!
我知道了
右上角分享
点击右上角分享
0
联系我们:info@booksci.cn Book学术提供免费学术资源搜索服务,方便国内外学者检索中英文文献。致力于提供最便捷和优质的服务体验。 Copyright © 2023 布克学术 All rights reserved.
京ICP备2023020795号-1
ghs 京公网安备 11010802042870号
Book学术文献互助
Book学术文献互助群
群 号:604180095
Book学术官方微信