Interval Hysterectomy for Placenta Percreta - a Case Report.

Mohammad Sazzadul Huque, Mini Ravi
{"title":"Interval Hysterectomy for Placenta Percreta - a Case Report.","authors":"Mohammad Sazzadul Huque,&nbsp;Mini Ravi","doi":"10.5195/cajgh.2019.345","DOIUrl":null,"url":null,"abstract":"<p><strong>Introduction: </strong>Placenta percreta is an abnormality of placentation where it invades the serosa and can go beyond it. Complications include massive hemorrhage, bladder dysfunction, and severe infections during delivery. The aim of this study is to report a complex case of placenta percreta managed by interval hysterectomy.</p><p><strong>Case presentation: </strong>Pre-operative: 34 years old patient with previous three cesarean sections was followed in antenatal clinic. She came with repeated bouts of vaginal bleeding at 30-31 weeks. At 32 weeks and 4 days classical cesarean section was done with placenta left in situ. Prophylactic bilateral internal iliac artery balloon was inserted. Post cesarean section, uterine artery embolization was performed. Post-operative: Clinical features of pulmonary embolism (PE) developed about 4 hours later. Post-Operative Day 13: Total abdominal hysterectomy was done. After few days of discharge, the patient presented to the emergency department with shortness of breath. She was consequently diagnosed with chronic pulmonary embolism and treated with warfarin.</p><p><strong>Conclusion: </strong>This is a case of placenta percreta managed by interval hysterectomy. However, the most widely accepted method of management is cesarean hysterectomy. In this case, interval hysterectomy was done due to the possibility of bladder invasion by placenta, to decrease the amount of blood loss and to reduce the number of days stayed in hospital. Appropriate management for the patient must be personalized, whether it is by cesarean hysterectomy or interval hysterectomy, as each has risks and benefits.</p>","PeriodicalId":42537,"journal":{"name":"Central Asian Journal of Global Health","volume":"8 1","pages":"345"},"PeriodicalIF":0.0000,"publicationDate":"2019-02-05","publicationTypes":"Journal Article","fieldsOfStudy":null,"isOpenAccess":false,"openAccessPdf":"https://sci-hub-pdf.com/10.5195/cajgh.2019.345","citationCount":"1","resultStr":null,"platform":"Semanticscholar","paperid":null,"PeriodicalName":"Central Asian Journal of Global Health","FirstCategoryId":"1085","ListUrlMain":"https://doi.org/10.5195/cajgh.2019.345","RegionNum":0,"RegionCategory":null,"ArticlePicture":[],"TitleCN":null,"AbstractTextCN":null,"PMCID":null,"EPubDate":"","PubModel":"","JCR":"","JCRName":"","Score":null,"Total":0}
引用次数: 1

Abstract

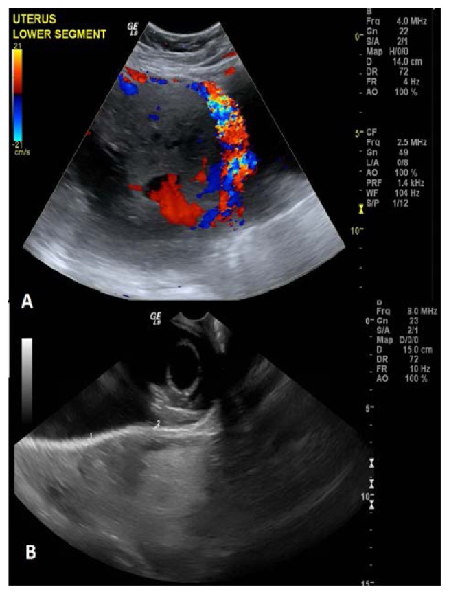
Introduction: Placenta percreta is an abnormality of placentation where it invades the serosa and can go beyond it. Complications include massive hemorrhage, bladder dysfunction, and severe infections during delivery. The aim of this study is to report a complex case of placenta percreta managed by interval hysterectomy.

Case presentation: Pre-operative: 34 years old patient with previous three cesarean sections was followed in antenatal clinic. She came with repeated bouts of vaginal bleeding at 30-31 weeks. At 32 weeks and 4 days classical cesarean section was done with placenta left in situ. Prophylactic bilateral internal iliac artery balloon was inserted. Post cesarean section, uterine artery embolization was performed. Post-operative: Clinical features of pulmonary embolism (PE) developed about 4 hours later. Post-Operative Day 13: Total abdominal hysterectomy was done. After few days of discharge, the patient presented to the emergency department with shortness of breath. She was consequently diagnosed with chronic pulmonary embolism and treated with warfarin.

Conclusion: This is a case of placenta percreta managed by interval hysterectomy. However, the most widely accepted method of management is cesarean hysterectomy. In this case, interval hysterectomy was done due to the possibility of bladder invasion by placenta, to decrease the amount of blood loss and to reduce the number of days stayed in hospital. Appropriate management for the patient must be personalized, whether it is by cesarean hysterectomy or interval hysterectomy, as each has risks and benefits.

Abstract Image

间隔性子宫切除术治疗Percreta胎盘一例报告。
引言:percreta胎盘是胎盘形成的一种异常,它会侵入浆膜并超越浆膜。并发症包括大出血、膀胱功能障碍和分娩期间的严重感染。本研究的目的是报告一例通过间隔子宫切除术治疗的复杂性Perreta胎盘病例。病例介绍:术前:34岁患者,曾三次剖宫产,在产前门诊随访。她在30-31周时反复出现阴道出血。在32周零4天时,进行了经典的剖宫产,胎盘留在原位。插入预防性双侧髂内动脉球囊。剖宫产术后进行子宫动脉栓塞。术后:约4小时后出现肺栓塞(PE)的临床特征。术后第13天:进行全腹子宫切除术。出院几天后,病人因呼吸急促而去了急诊室。因此,她被诊断为慢性肺栓塞,并接受了华法林治疗。结论:这是一例间隔性子宫切除术治疗的胎盘percreta。然而,最广泛接受的治疗方法是剖宫产子宫切除术。在这种情况下,由于胎盘可能侵犯膀胱,为了减少失血量和减少住院天数,进行了间隔子宫切除术。对患者的适当管理必须个性化,无论是剖宫产子宫切除术还是间隔子宫切除术,因为每种方法都有风险和益处。
本文章由计算机程序翻译,如有差异,请以英文原文为准。
求助全文
约1分钟内获得全文 求助全文
来源期刊
Central Asian Journal of Global Health
Central Asian Journal of Global Health PUBLIC, ENVIRONMENTAL & OCCUPATIONAL HEALTH-
自引率
0.00%
发文量
0
审稿时长
20 weeks
×
引用
GB/T 7714-2015
复制
MLA
复制
APA
复制
导出至
BibTeX EndNote RefMan NoteFirst NoteExpress
×
提示
您的信息不完整,为了账户安全,请先补充。
现在去补充
×
提示
您因"违规操作"
具体请查看互助需知
我知道了
×
提示
确定
请完成安全验证×
copy
已复制链接
快去分享给好友吧!
我知道了
右上角分享
点击右上角分享
0
联系我们:info@booksci.cn Book学术提供免费学术资源搜索服务,方便国内外学者检索中英文文献。致力于提供最便捷和优质的服务体验。 Copyright © 2023 布克学术 All rights reserved.
京ICP备2023020795号-1
ghs 京公网安备 11010802042870号
Book学术文献互助
Book学术文献互助群
群 号:604180095
Book学术官方微信