Metachronous Primary Lung Cancer Occurring during the Spontaneous Regression of Locally Advanced Lung Cancer: A Rare Case Report.

IF 1.3 4区 医学 Q4 CARDIAC & CARDIOVASCULAR SYSTEMS
Ryosuke Amemiya, Ikki Takada, Hiroya Kanzawa, Shotaro Ono, Yukio Morishita, Norihiko Ikeda, Kinya Furukawa
{"title":"Metachronous Primary Lung Cancer Occurring during the Spontaneous Regression of Locally Advanced Lung Cancer: A Rare Case Report.","authors":"Ryosuke Amemiya, Ikki Takada, Hiroya Kanzawa, Shotaro Ono, Yukio Morishita, Norihiko Ikeda, Kinya Furukawa","doi":"10.5761/atcs.cr.22-00138","DOIUrl":null,"url":null,"abstract":"<p><p>A 71-year-old man was diagnosed as having right primary lung squamous cell carcinoma, clinical stage IIIA, but he refused treatment. However, the right upper lobe nodule and lymph node (LN) #4R showed gradual shrinking without treatment. Four years after the diagnosis, a new nodule was detected in the left lung field. We considered that this new nodule might be metachronous primary lung cancer, and hence resected it for diagnosis and treatment. The tumor in the left lung was diagnosed as basaloid squamous cell carcinoma, and that in LN #4R was diagnosed as squamous cell carcinoma with keratinization. Therefore, the patient was diagnosed as having metachronous primary lung cancer that developed during the spontaneous regression of locally advanced lung cancer.</p>","PeriodicalId":8037,"journal":{"name":"Annals of Thoracic and Cardiovascular Surgery","volume":" ","pages":""},"PeriodicalIF":1.3000,"publicationDate":"2024-01-26","publicationTypes":"Journal Article","fieldsOfStudy":null,"isOpenAccess":false,"openAccessPdf":"https://www.ncbi.nlm.nih.gov/pmc/articles/PMC10902648/pdf/","citationCount":"0","resultStr":null,"platform":"Semanticscholar","paperid":null,"PeriodicalName":"Annals of Thoracic and Cardiovascular Surgery","FirstCategoryId":"3","ListUrlMain":"https://doi.org/10.5761/atcs.cr.22-00138","RegionNum":4,"RegionCategory":"医学","ArticlePicture":[],"TitleCN":null,"AbstractTextCN":null,"PMCID":null,"EPubDate":"2022/10/5 0:00:00","PubModel":"Epub","JCR":"Q4","JCRName":"CARDIAC & CARDIOVASCULAR SYSTEMS","Score":null,"Total":0}
引用次数: 0

Abstract

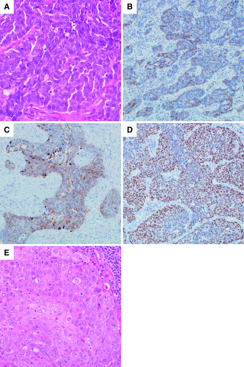
A 71-year-old man was diagnosed as having right primary lung squamous cell carcinoma, clinical stage IIIA, but he refused treatment. However, the right upper lobe nodule and lymph node (LN) #4R showed gradual shrinking without treatment. Four years after the diagnosis, a new nodule was detected in the left lung field. We considered that this new nodule might be metachronous primary lung cancer, and hence resected it for diagnosis and treatment. The tumor in the left lung was diagnosed as basaloid squamous cell carcinoma, and that in LN #4R was diagnosed as squamous cell carcinoma with keratinization. Therefore, the patient was diagnosed as having metachronous primary lung cancer that developed during the spontaneous regression of locally advanced lung cancer.

Abstract Image

Abstract Image

Abstract Image

在局部晚期肺癌自然消退期间发生的并发原发性肺癌:罕见病例报告
一名 71 岁的男性被诊断为右原发性肺鳞状细胞癌,临床分期为 IIIA 期,但他拒绝接受治疗。然而,右肺上叶结节和淋巴结(LN)#4R 在未接受治疗的情况下逐渐缩小。确诊四年后,在左肺野发现了一个新结节。我们考虑到这个新结节可能是并发的原发性肺癌,因此将其切除进行诊断和治疗。左肺的肿瘤被确诊为基底鳞状细胞癌,而 LN #4R 的肿瘤被确诊为伴有角化的鳞状细胞癌。因此,患者被诊断为在局部晚期肺癌自发消退过程中发生的并发原发性肺癌。
本文章由计算机程序翻译,如有差异,请以英文原文为准。
求助全文
约1分钟内获得全文 求助全文
来源期刊
Annals of Thoracic and Cardiovascular Surgery
Annals of Thoracic and Cardiovascular Surgery CARDIAC & CARDIOVASCULAR SYSTEMS-SURGERY
CiteScore
2.80
自引率
0.00%
发文量
56
审稿时长
4-8 weeks
期刊介绍: Information not localized
×
引用
GB/T 7714-2015
复制
MLA
复制
APA
复制
导出至
BibTeX EndNote RefMan NoteFirst NoteExpress
×
提示
您的信息不完整,为了账户安全,请先补充。
现在去补充
×
提示
您因"违规操作"
具体请查看互助需知
我知道了
×
提示
确定
请完成安全验证×
copy
已复制链接
快去分享给好友吧!
我知道了
右上角分享
点击右上角分享
0
联系我们:info@booksci.cn Book学术提供免费学术资源搜索服务,方便国内外学者检索中英文文献。致力于提供最便捷和优质的服务体验。 Copyright © 2023 布克学术 All rights reserved.
京ICP备2023020795号-1
ghs 京公网安备 11010802042870号
Book学术文献互助
Book学术文献互助群
群 号:604180095
Book学术官方微信
小红书