Herlyn-Werner-Wunderlich Syndrome Complicated with Pyocolpos: An Unusual Cause of Postabortal Sepsis.

Deepti Sharma, M K Janu, Ramesh Gaikwad, M G Usha
{"title":"Herlyn-Werner-Wunderlich Syndrome Complicated with Pyocolpos: An Unusual Cause of Postabortal Sepsis.","authors":"Deepti Sharma,&nbsp;M K Janu,&nbsp;Ramesh Gaikwad,&nbsp;M G Usha","doi":"10.4103/0974-1216.114162","DOIUrl":null,"url":null,"abstract":"<p><p>Obstructive mullerian anomalies give rise to a spectrum of clinical presentations and are uncommon in routine gynecologic practice. The patient usually becomes symptomatic in early reproductive years. Recurrent pelvic pain, dysmenorrhea, enlarging abdominopelvic mass, and abnormal vaginal discharge are the common presenting symptoms. We describe a rare case of a mullerian anomaly getting diagnosed 13 years after attaining menarche during the evaluation of postabortal sepsis. Patient presented 2 weeks following evacuation carried out for missed abortion, with acute abdominal pain, fever and foul smelling discharge per vaginum. The anomaly was identified as uterus didelphys with obstructed left hemivagina and ipsilateral renal agenesis (Herlyn-Werner-Wunderlich syndrome) complicated by pyocolpos. She was successfully managed by single-stage transvaginal septum resection under laparoscopic control. </p>","PeriodicalId":89586,"journal":{"name":"Journal of gynecological endoscopy and surgery","volume":"2 2","pages":"105-8"},"PeriodicalIF":0.0000,"publicationDate":"2011-07-01","publicationTypes":"Journal Article","fieldsOfStudy":null,"isOpenAccess":false,"openAccessPdf":"https://ftp.ncbi.nlm.nih.gov/pub/pmc/oa_pdf/0c/0b/JGES-2-105.PMC4453204.pdf","citationCount":"5","resultStr":null,"platform":"Semanticscholar","paperid":null,"PeriodicalName":"Journal of gynecological endoscopy and surgery","FirstCategoryId":"1085","ListUrlMain":"https://doi.org/10.4103/0974-1216.114162","RegionNum":0,"RegionCategory":null,"ArticlePicture":[],"TitleCN":null,"AbstractTextCN":null,"PMCID":null,"EPubDate":"","PubModel":"","JCR":"","JCRName":"","Score":null,"Total":0}
引用次数: 5

Abstract

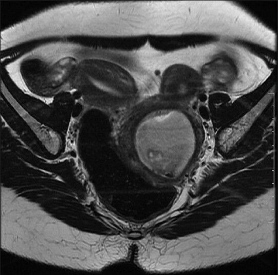
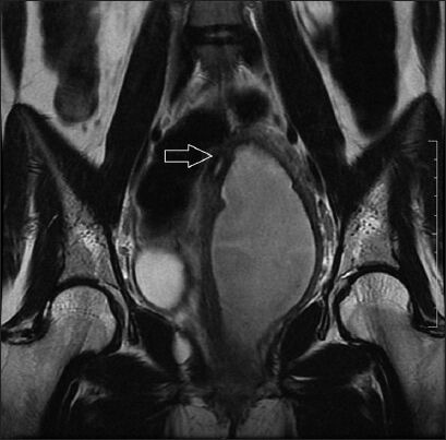
Obstructive mullerian anomalies give rise to a spectrum of clinical presentations and are uncommon in routine gynecologic practice. The patient usually becomes symptomatic in early reproductive years. Recurrent pelvic pain, dysmenorrhea, enlarging abdominopelvic mass, and abnormal vaginal discharge are the common presenting symptoms. We describe a rare case of a mullerian anomaly getting diagnosed 13 years after attaining menarche during the evaluation of postabortal sepsis. Patient presented 2 weeks following evacuation carried out for missed abortion, with acute abdominal pain, fever and foul smelling discharge per vaginum. The anomaly was identified as uterus didelphys with obstructed left hemivagina and ipsilateral renal agenesis (Herlyn-Werner-Wunderlich syndrome) complicated by pyocolpos. She was successfully managed by single-stage transvaginal septum resection under laparoscopic control.

Abstract Image

Abstract Image

Abstract Image

herlin - werner - wunderlich综合征合并脓毒症:一种罕见的流产后败血症原因。
梗阻性苗勒管异常引起一系列临床表现,在常规妇科实践中并不常见。患者通常在生育年龄早期出现症状。复发性盆腔疼痛、痛经、腹盂肿大和阴道分泌物异常是常见的症状。我们描述了一个罕见的情况下,被诊断为苗勒管异常13年后获得初潮期间评估流产后败血症。患者于流产后2周出现,伴有急性腹痛、发热及阴道有恶臭分泌物。该异常被确定为子宫畸形伴左半阴道梗阻和同侧肾发育不全(herlin - werner - wunderlich综合征)并脓孔畸形。她成功地在腹腔镜控制下进行了单期经阴道中隔切除术。
本文章由计算机程序翻译,如有差异,请以英文原文为准。
求助全文
约1分钟内获得全文 求助全文
来源期刊
自引率
0.00%
发文量
0
×
引用
GB/T 7714-2015
复制
MLA
复制
APA
复制
导出至
BibTeX EndNote RefMan NoteFirst NoteExpress
×
提示
您的信息不完整,为了账户安全,请先补充。
现在去补充
×
提示
您因"违规操作"
具体请查看互助需知
我知道了
×
提示
确定
请完成安全验证×
copy
已复制链接
快去分享给好友吧!
我知道了
右上角分享
点击右上角分享
0
联系我们:info@booksci.cn Book学术提供免费学术资源搜索服务,方便国内外学者检索中英文文献。致力于提供最便捷和优质的服务体验。 Copyright © 2023 布克学术 All rights reserved.
京ICP备2023020795号-1
ghs 京公网安备 11010802042870号
Book学术文献互助
Book学术文献互助群
群 号:604180095
Book学术官方微信