To the occiput or not? C1-c2 ligamentous laxity in children with down syndrome.

Kris Siemionow, Dean Chou
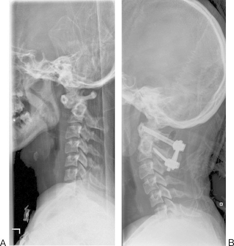
{"title":"To the occiput or not? C1-c2 ligamentous laxity in children with down syndrome.","authors":"Kris Siemionow,&nbsp;Dean Chou","doi":"10.1055/s-0034-1386749","DOIUrl":null,"url":null,"abstract":"<p><p>Study Design Retrospective case review. Objective Atlantoaxial instability with and without basilar invagination poses a considerable challenge in management regarding reduction, surgical approach, decompression, instrumentation choice, and extent of fusion. A variety of strategies have been described to reduce and stabilize cranial settling with basilar invagination. Modern instrumentation options included extension to the occiput, C1-C2 transarticular fixation, and C1 lateral mass-C2 pars among others. Since not all cases of cranial settling are the same, their treatment strategies also differ. Factors such as local vascular anatomy, amount of subluxation, need for distraction, and shape of occipital condyles will dictate level and type of instrumentation. The objective of this study was to outline treatment options and provide a rationale for the surgical plan. Methods Two cases of C1-C2 instability in patients with Down syndrome are described. Case 2 underwent C1-C2 instrumented fusion, whereas case 1 involved posterior instrumented fusion to the occiput. Results Both patients tolerated the procedures well. There were no complications. Minimum follow-up was 1 year. There was no loss of reduction. Solid arthrodesis was achieved in both cases. Conclusion Successful reduction can be achieved with both C1-C2 instrumented fusion as well as O-C instrument fusion. Factors such as local vascular anatomy, amount of subluxation, need for distraction, and shape of occipital condyles will dictate level and type of instrumentation. </p>","PeriodicalId":89675,"journal":{"name":"Evidence-based spine-care journal","volume":"5 2","pages":"112-8"},"PeriodicalIF":0.0000,"publicationDate":"2014-10-01","publicationTypes":"Journal Article","fieldsOfStudy":null,"isOpenAccess":false,"openAccessPdf":"https://sci-hub-pdf.com/10.1055/s-0034-1386749","citationCount":"8","resultStr":null,"platform":"Semanticscholar","paperid":null,"PeriodicalName":"Evidence-based spine-care journal","FirstCategoryId":"1085","ListUrlMain":"https://doi.org/10.1055/s-0034-1386749","RegionNum":0,"RegionCategory":null,"ArticlePicture":[],"TitleCN":null,"AbstractTextCN":null,"PMCID":null,"EPubDate":"","PubModel":"","JCR":"","JCRName":"","Score":null,"Total":0}
引用次数: 8

Abstract

Study Design Retrospective case review. Objective Atlantoaxial instability with and without basilar invagination poses a considerable challenge in management regarding reduction, surgical approach, decompression, instrumentation choice, and extent of fusion. A variety of strategies have been described to reduce and stabilize cranial settling with basilar invagination. Modern instrumentation options included extension to the occiput, C1-C2 transarticular fixation, and C1 lateral mass-C2 pars among others. Since not all cases of cranial settling are the same, their treatment strategies also differ. Factors such as local vascular anatomy, amount of subluxation, need for distraction, and shape of occipital condyles will dictate level and type of instrumentation. The objective of this study was to outline treatment options and provide a rationale for the surgical plan. Methods Two cases of C1-C2 instability in patients with Down syndrome are described. Case 2 underwent C1-C2 instrumented fusion, whereas case 1 involved posterior instrumented fusion to the occiput. Results Both patients tolerated the procedures well. There were no complications. Minimum follow-up was 1 year. There was no loss of reduction. Solid arthrodesis was achieved in both cases. Conclusion Successful reduction can be achieved with both C1-C2 instrumented fusion as well as O-C instrument fusion. Factors such as local vascular anatomy, amount of subluxation, need for distraction, and shape of occipital condyles will dictate level and type of instrumentation.

Abstract Image

Abstract Image

Abstract Image

到不到枕骨?唐氏综合征患儿C1-c2韧带松弛。
研究设计回顾性病例回顾。目的伴或不伴颅底内陷的寰枢椎不稳定对复位、手术入路、减压、内固定选择和融合程度的处理提出了相当大的挑战。各种策略已被描述为减少和稳定颅底内陷颅骨沉降。现代内固定选择包括枕部延伸、C1- c2经关节固定和C1侧块- c2部等。由于不是所有的颅沉降病例都是相同的,他们的治疗策略也不同。局部血管解剖、半脱位程度、牵张需要和枕髁形状等因素决定了内固定的水平和类型。本研究的目的是概述治疗方案,并提供手术计划的基本原理。方法对2例唐氏综合征患者C1-C2不稳定进行分析。病例2行C1-C2内固定融合术,而病例1行后路内固定融合术至枕部。结果两例患者对手术均有良好的耐受性。没有并发症。最小随访时间为1年。没有减少的损失。两例患者均完成了实体关节融合术。结论C1-C2器械融合术和O-C器械融合术均可成功复位。局部血管解剖、半脱位程度、牵张需要和枕髁形状等因素决定了内固定的水平和类型。
本文章由计算机程序翻译,如有差异,请以英文原文为准。
求助全文
约1分钟内获得全文 求助全文
来源期刊
自引率
0.00%
发文量
0
×
引用
GB/T 7714-2015
复制
MLA
复制
APA
复制
导出至
BibTeX EndNote RefMan NoteFirst NoteExpress
×
提示
您的信息不完整,为了账户安全,请先补充。
现在去补充
×
提示
您因"违规操作"
具体请查看互助需知
我知道了
×
提示
确定
请完成安全验证×
copy
已复制链接
快去分享给好友吧!
我知道了
右上角分享
点击右上角分享
0
联系我们:info@booksci.cn Book学术提供免费学术资源搜索服务,方便国内外学者检索中英文文献。致力于提供最便捷和优质的服务体验。 Copyright © 2023 布克学术 All rights reserved.
京ICP备2023020795号-1
ghs 京公网安备 11010802042870号
Book学术文献互助
Book学术文献互助群
群 号:604180095
Book学术官方微信