Use of Ber-EP4 and Epithelial Specific Antigen to Differentiate Clinical Simulators of Basal Cell Carcinoma.

Biomarkers in cancer Pub Date : 2013-06-25 eCollection Date: 2013-01-01 DOI:10.4137/BIC.S11856
Bahar Dasgeb, Tarana M Mohammadi, Darius R Mehregan
{"title":"Use of Ber-EP4 and Epithelial Specific Antigen to Differentiate Clinical Simulators of Basal Cell Carcinoma.","authors":"Bahar Dasgeb,&nbsp;Tarana M Mohammadi,&nbsp;Darius R Mehregan","doi":"10.4137/BIC.S11856","DOIUrl":null,"url":null,"abstract":"<p><p>EpCam is a transmembrane epithelial adhesion molecule present on all non-squamous epithelial cells. It is often overexpressed in certain carcinomas, such as breast and colon, and in dermatology, eg, basal cell carcinoma (BCC). Various monoclonal antibodies have been used to detect EpCam, including BerEP4 and epithelial specific antigen. We compared anti-EpCam clones, BerEP4, and epithelial specific antigen clone VU-1D9. One hundred and twelve lesions were stained with both antibodies. All basal cell carcinomas stained uniformly and strongly positive with both antibodies. Diffuse positive staining was also seen in all trichoepitheliomas and merkel cell carcinomas. Focal positive staining was seen in squamous cell carcinoma and benign sebaceous neoplasms. Clone VU-1D9 was more likely to produce focal positive staining as compared to BerEP4. This focal positive staining of sebaceous neoplasms and squamous cell carcinomas is a potential diagnostic pitfall. </p>","PeriodicalId":72377,"journal":{"name":"Biomarkers in cancer","volume":"5 ","pages":"7-11"},"PeriodicalIF":0.0000,"publicationDate":"2013-06-25","publicationTypes":"Journal Article","fieldsOfStudy":null,"isOpenAccess":false,"openAccessPdf":"https://sci-hub-pdf.com/10.4137/BIC.S11856","citationCount":"28","resultStr":null,"platform":"Semanticscholar","paperid":null,"PeriodicalName":"Biomarkers in cancer","FirstCategoryId":"1085","ListUrlMain":"https://doi.org/10.4137/BIC.S11856","RegionNum":0,"RegionCategory":null,"ArticlePicture":[],"TitleCN":null,"AbstractTextCN":null,"PMCID":null,"EPubDate":"2013/1/1 0:00:00","PubModel":"eCollection","JCR":"","JCRName":"","Score":null,"Total":0}
引用次数: 28

Abstract

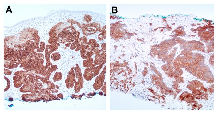
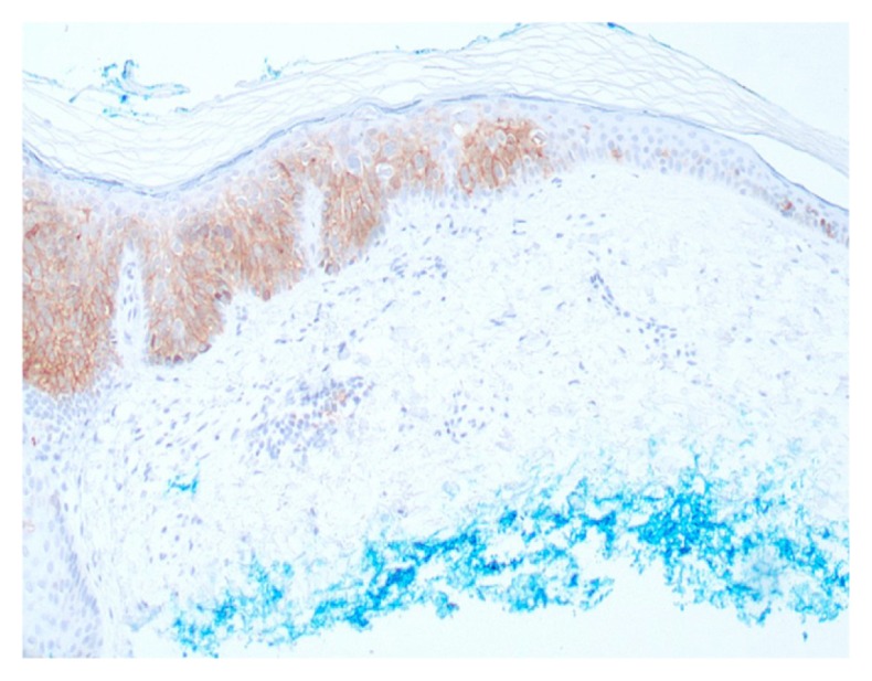
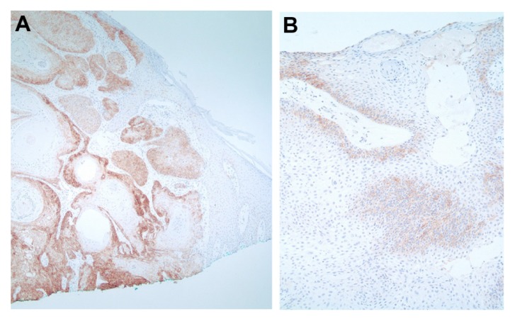
EpCam is a transmembrane epithelial adhesion molecule present on all non-squamous epithelial cells. It is often overexpressed in certain carcinomas, such as breast and colon, and in dermatology, eg, basal cell carcinoma (BCC). Various monoclonal antibodies have been used to detect EpCam, including BerEP4 and epithelial specific antigen. We compared anti-EpCam clones, BerEP4, and epithelial specific antigen clone VU-1D9. One hundred and twelve lesions were stained with both antibodies. All basal cell carcinomas stained uniformly and strongly positive with both antibodies. Diffuse positive staining was also seen in all trichoepitheliomas and merkel cell carcinomas. Focal positive staining was seen in squamous cell carcinoma and benign sebaceous neoplasms. Clone VU-1D9 was more likely to produce focal positive staining as compared to BerEP4. This focal positive staining of sebaceous neoplasms and squamous cell carcinomas is a potential diagnostic pitfall.

Abstract Image

Abstract Image

Abstract Image

利用Ber-EP4和上皮特异性抗原鉴别基底细胞癌临床模拟细胞。
EpCam是一种存在于所有非鳞状上皮细胞上的跨膜上皮粘附分子。它经常在某些癌症中过度表达,如乳腺癌和结肠癌,在皮肤病学中,如基底细胞癌(BCC)。多种单克隆抗体已被用于检测EpCam,包括BerEP4和上皮特异性抗原。我们比较了抗epcam克隆、BerEP4和上皮特异性抗原克隆VU-1D9。这两种抗体对112个病变进行了染色。所有基底细胞癌均呈两种抗体阳性。所有毛上皮瘤和默克尔细胞癌均可见弥漫性阳性染色。鳞状细胞癌和良性皮脂腺肿瘤可见局灶性阳性染色。克隆VU-1D9与BerEP4相比更容易产生局灶阳性染色。皮脂腺肿瘤和鳞状细胞癌的局灶性阳性染色是一个潜在的诊断缺陷。
本文章由计算机程序翻译,如有差异,请以英文原文为准。
求助全文
约1分钟内获得全文 求助全文
来源期刊
自引率
0.00%
发文量
0
×
引用
GB/T 7714-2015
复制
MLA
复制
APA
复制
导出至
BibTeX EndNote RefMan NoteFirst NoteExpress
×
提示
您的信息不完整,为了账户安全,请先补充。
现在去补充
×
提示
您因"违规操作"
具体请查看互助需知
我知道了
×
提示
确定
请完成安全验证×
copy
已复制链接
快去分享给好友吧!
我知道了
右上角分享
点击右上角分享
0
联系我们:info@booksci.cn Book学术提供免费学术资源搜索服务,方便国内外学者检索中英文文献。致力于提供最便捷和优质的服务体验。 Copyright © 2023 布克学术 All rights reserved.
京ICP备2023020795号-1
ghs 京公网安备 11010802042870号
Book学术文献互助
Book学术文献互助群
群 号:604180095
Book学术官方微信