Is aggressive therapy the answer for all cases of emphysematous pyelonephritis: a report of three cases.

Sidharth Kumar, Sushanto Neogi, Kamal K Gautam
{"title":"Is aggressive therapy the answer for all cases of emphysematous pyelonephritis: a report of three cases.","authors":"Sidharth Kumar,&nbsp;Sushanto Neogi,&nbsp;Kamal K Gautam","doi":"10.4103/2006-8808.110268","DOIUrl":null,"url":null,"abstract":"<p><p>Emphysematous Pyelonephritis (EPN) is a severe, necrotizing, life threatening infection of the renal parenchyma and management is not standardised due to scarcity of literature. We present 3 patients with this rare entity. All 3 patients were of class III on CECT findings based on Huang's classification and had more than two risk factors. Our first patient underwent percutaneous drainage of his condition upon which he recovered. The second and third patients underwent a laparotomy and nephrectomy. The second patient recovered after a stormy post operative period and the third patient died. Management of the first patient was contrary to that recommended in literature, for the other two it was as per recommendations. On successful management of our first patient without surgery and seeing no discernable benefits of surgery for our other two patients, it is possible that percutaneous drainage alone, coupled with antibiotics may be a viable strategy for managing this condition with nephrectomy being considered as a second tier option.</p>","PeriodicalId":89430,"journal":{"name":"Journal of surgical technique and case report","volume":"4 2","pages":"106-9"},"PeriodicalIF":0.0000,"publicationDate":"2012-07-01","publicationTypes":"Journal Article","fieldsOfStudy":null,"isOpenAccess":false,"openAccessPdf":"https://ftp.ncbi.nlm.nih.gov/pub/pmc/oa_pdf/78/ee/JSTCR-4-106.PMC3673351.pdf","citationCount":"1","resultStr":null,"platform":"Semanticscholar","paperid":null,"PeriodicalName":"Journal of surgical technique and case report","FirstCategoryId":"1085","ListUrlMain":"https://doi.org/10.4103/2006-8808.110268","RegionNum":0,"RegionCategory":null,"ArticlePicture":[],"TitleCN":null,"AbstractTextCN":null,"PMCID":null,"EPubDate":"","PubModel":"","JCR":"","JCRName":"","Score":null,"Total":0}
引用次数: 1

Abstract

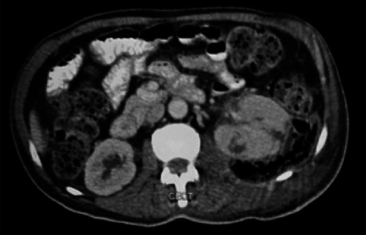
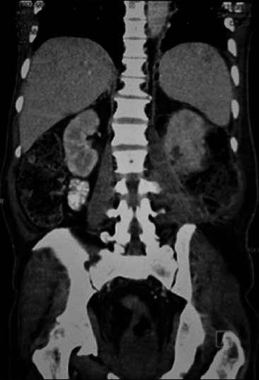
Emphysematous Pyelonephritis (EPN) is a severe, necrotizing, life threatening infection of the renal parenchyma and management is not standardised due to scarcity of literature. We present 3 patients with this rare entity. All 3 patients were of class III on CECT findings based on Huang's classification and had more than two risk factors. Our first patient underwent percutaneous drainage of his condition upon which he recovered. The second and third patients underwent a laparotomy and nephrectomy. The second patient recovered after a stormy post operative period and the third patient died. Management of the first patient was contrary to that recommended in literature, for the other two it was as per recommendations. On successful management of our first patient without surgery and seeing no discernable benefits of surgery for our other two patients, it is possible that percutaneous drainage alone, coupled with antibiotics may be a viable strategy for managing this condition with nephrectomy being considered as a second tier option.

Abstract Image

Abstract Image

Abstract Image

积极治疗是所有气肿性肾盂肾炎病例的答案:三例报告。
肺气肿性肾盂肾炎(EPN)是一种严重的、坏死性的、危及生命的肾实质感染,由于缺乏文献,其治疗方法尚不规范。我们报告了3例患有这种罕见疾病的患者。根据Huang的分类,所有3例患者的CECT结果均为III级,并且有两个以上的危险因素。我们的第一个病人接受了经皮引流术,他痊愈了。第二名和第三名患者分别进行了剖腹手术和肾切除术。第二例患者术后经历了一段暴风雨期后恢复,第三例患者死亡。第一个病人的治疗方法与文献中推荐的方法相反,另外两个病人的治疗方法与文献中推荐的方法相反。我们的第一个患者成功地进行了手术治疗,而其他两名患者没有明显的手术益处,因此,单独经皮引流联合抗生素可能是治疗这种疾病的可行策略,而肾切除术被认为是第二级选择。
本文章由计算机程序翻译,如有差异,请以英文原文为准。
求助全文
约1分钟内获得全文 求助全文
来源期刊
自引率
0.00%
发文量
0
×
引用
GB/T 7714-2015
复制
MLA
复制
APA
复制
导出至
BibTeX EndNote RefMan NoteFirst NoteExpress
×
提示
您的信息不完整,为了账户安全,请先补充。
现在去补充
×
提示
您因"违规操作"
具体请查看互助需知
我知道了
×
提示
确定
请完成安全验证×
copy
已复制链接
快去分享给好友吧!
我知道了
右上角分享
点击右上角分享
0
联系我们:info@booksci.cn Book学术提供免费学术资源搜索服务,方便国内外学者检索中英文文献。致力于提供最便捷和优质的服务体验。 Copyright © 2023 布克学术 All rights reserved.
京ICP备2023020795号-1
ghs 京公网安备 11010802042870号
Book学术文献互助
Book学术文献互助群
群 号:604180095
Book学术官方微信