An Unusual Presentation of Vallecular Cyst with near Fatal Respiratory Distress and Management Using Conventional Laparoscopic Instruments.

Sandesh V Parelkar, Jiwan L Patel, Beejal V Sanghvi, Prashant B Joshi, Subrat K Sahoo, Nandita Sampat, Sanjay N Oak, Nilam Sathe
{"title":"An Unusual Presentation of Vallecular Cyst with near Fatal Respiratory Distress and Management Using Conventional Laparoscopic Instruments.","authors":"Sandesh V Parelkar,&nbsp;Jiwan L Patel,&nbsp;Beejal V Sanghvi,&nbsp;Prashant B Joshi,&nbsp;Subrat K Sahoo,&nbsp;Nandita Sampat,&nbsp;Sanjay N Oak,&nbsp;Nilam Sathe","doi":"10.4103/2006-8808.110257","DOIUrl":null,"url":null,"abstract":"<p><p>Vallecular cyst is a rare cause of upper airway obstruction in infants and children and presentation like acute stridor with near fatal respiratory distress is extremely rare. It is one of the rare causes of difficult intubation, during which cyst aspiration can improve the access. Vallecular cyst is commonly managed using microlaryngoscope and specialized instruments. We hereby report a method of endoscopic management of these cysts using conventional laparoscopic instruments.</p>","PeriodicalId":89430,"journal":{"name":"Journal of surgical technique and case report","volume":"4 2","pages":"118-20"},"PeriodicalIF":0.0000,"publicationDate":"2012-07-01","publicationTypes":"Journal Article","fieldsOfStudy":null,"isOpenAccess":false,"openAccessPdf":"https://ftp.ncbi.nlm.nih.gov/pub/pmc/oa_pdf/b6/1b/JSTCR-4-118.PMC3673355.pdf","citationCount":"12","resultStr":null,"platform":"Semanticscholar","paperid":null,"PeriodicalName":"Journal of surgical technique and case report","FirstCategoryId":"1085","ListUrlMain":"https://doi.org/10.4103/2006-8808.110257","RegionNum":0,"RegionCategory":null,"ArticlePicture":[],"TitleCN":null,"AbstractTextCN":null,"PMCID":null,"EPubDate":"","PubModel":"","JCR":"","JCRName":"","Score":null,"Total":0}
引用次数: 12

Abstract

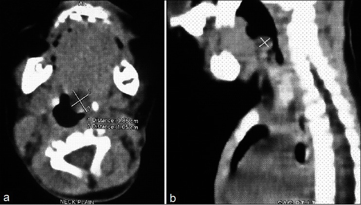
Vallecular cyst is a rare cause of upper airway obstruction in infants and children and presentation like acute stridor with near fatal respiratory distress is extremely rare. It is one of the rare causes of difficult intubation, during which cyst aspiration can improve the access. Vallecular cyst is commonly managed using microlaryngoscope and specialized instruments. We hereby report a method of endoscopic management of these cysts using conventional laparoscopic instruments.

Abstract Image

Abstract Image

Abstract Image

一例不寻常的血管性囊肿伴几乎致命的呼吸窘迫及常规腹腔镜器械的治疗。
小静脉囊肿是婴儿和儿童上气道阻塞的罕见原因,表现为急性喘鸣,几乎致命的呼吸窘迫是极其罕见的。这是插管困难的罕见原因之一,在此期间,囊肿抽吸可以改善通道。小静脉囊肿通常使用显微喉镜和专门的器械进行治疗。我们在此报告一种方法的内窥镜管理这些囊肿使用传统腹腔镜仪器。
本文章由计算机程序翻译,如有差异,请以英文原文为准。
求助全文
约1分钟内获得全文 求助全文
来源期刊
自引率
0.00%
发文量
0
×
引用
GB/T 7714-2015
复制
MLA
复制
APA
复制
导出至
BibTeX EndNote RefMan NoteFirst NoteExpress
×
提示
您的信息不完整,为了账户安全,请先补充。
现在去补充
×
提示
您因"违规操作"
具体请查看互助需知
我知道了
×
提示
确定
请完成安全验证×
copy
已复制链接
快去分享给好友吧!
我知道了
右上角分享
点击右上角分享
0
联系我们:info@booksci.cn Book学术提供免费学术资源搜索服务,方便国内外学者检索中英文文献。致力于提供最便捷和优质的服务体验。 Copyright © 2023 布克学术 All rights reserved.
京ICP备2023020795号-1
ghs 京公网安备 11010802042870号
Book学术文献互助
Book学术文献互助群
群 号:604180095
Book学术官方微信