Secondary membranous nephropathy associated with guillain-barré syndrome.

Case reports in nephrology and urology Pub Date : 2013-04-10 Print Date: 2013-01-01 DOI:10.1159/000350903
Edward J Filippone, Mitul Kanzaria, Rodney Bell, Eric Newman, John L Farber
{"title":"Secondary membranous nephropathy associated with guillain-barré syndrome.","authors":"Edward J Filippone,&nbsp;Mitul Kanzaria,&nbsp;Rodney Bell,&nbsp;Eric Newman,&nbsp;John L Farber","doi":"10.1159/000350903","DOIUrl":null,"url":null,"abstract":"<p><p>Membranous nephropathy (MN) is one of the most common causes of nephrotic syndrome (NS) in adults. It may be primary, usually mediated by IgG4 anti-phospholipase A2 autoantibodies or secondary to various other conditions. Guillain- Barré syndrome (GBS) has been associated with MN, but a cause and effect relation has not been proven. We present a case of concurrent development of GBS and severe NS, with renal biopsy demonstrating MN. IgG4 stain was negative, indicating that most likely, the MN was secondary and probably caused by the underlying GBS.</p>","PeriodicalId":89663,"journal":{"name":"Case reports in nephrology and urology","volume":"3 1","pages":"34-9"},"PeriodicalIF":0.0000,"publicationDate":"2013-04-10","publicationTypes":"Journal Article","fieldsOfStudy":null,"isOpenAccess":false,"openAccessPdf":"https://sci-hub-pdf.com/10.1159/000350903","citationCount":"2","resultStr":null,"platform":"Semanticscholar","paperid":null,"PeriodicalName":"Case reports in nephrology and urology","FirstCategoryId":"1085","ListUrlMain":"https://doi.org/10.1159/000350903","RegionNum":0,"RegionCategory":null,"ArticlePicture":[],"TitleCN":null,"AbstractTextCN":null,"PMCID":null,"EPubDate":"2013/1/1 0:00:00","PubModel":"Print","JCR":"","JCRName":"","Score":null,"Total":0}
引用次数: 2

Abstract

Membranous nephropathy (MN) is one of the most common causes of nephrotic syndrome (NS) in adults. It may be primary, usually mediated by IgG4 anti-phospholipase A2 autoantibodies or secondary to various other conditions. Guillain- Barré syndrome (GBS) has been associated with MN, but a cause and effect relation has not been proven. We present a case of concurrent development of GBS and severe NS, with renal biopsy demonstrating MN. IgG4 stain was negative, indicating that most likely, the MN was secondary and probably caused by the underlying GBS.

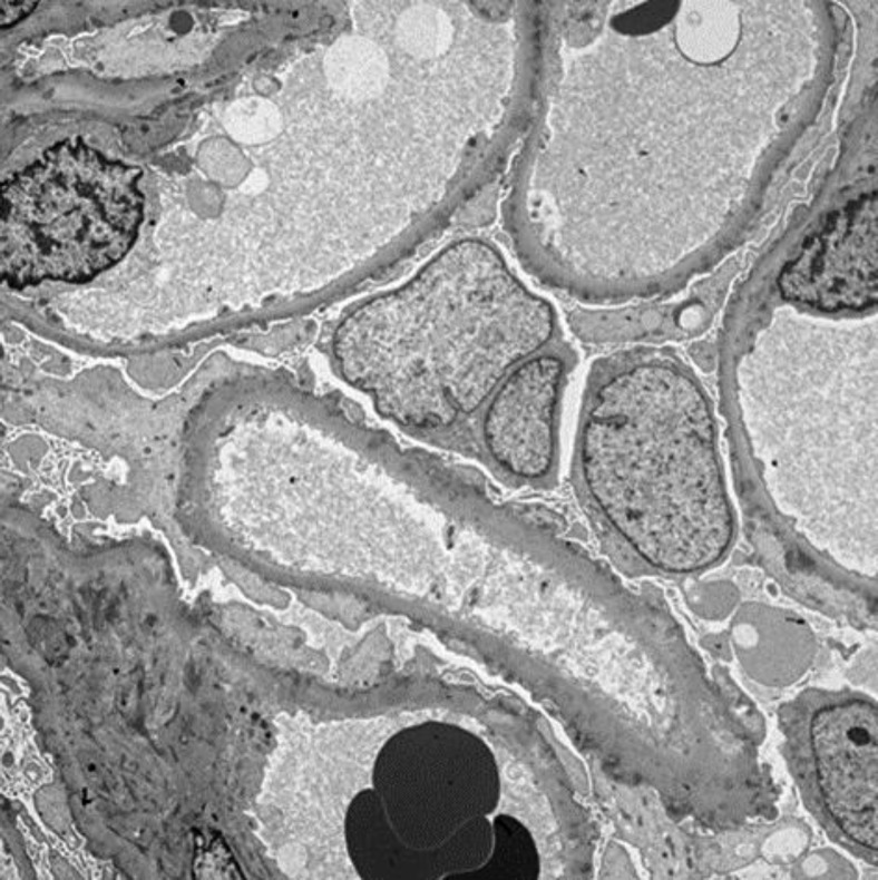
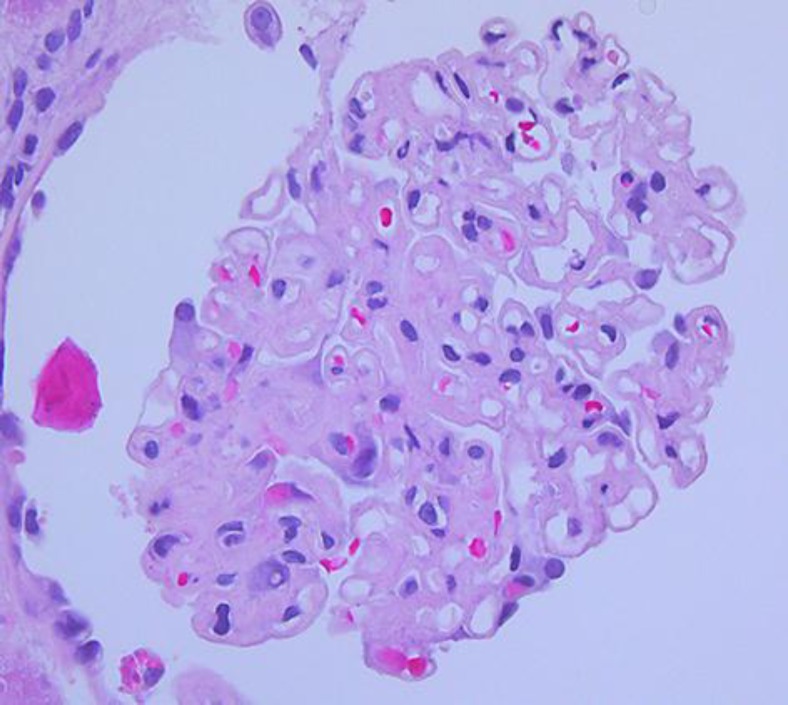
Abstract Image

Abstract Image

继发性膜性肾病与格林-巴罗综合征相关。
膜性肾病(MN)是成人肾病综合征(NS)最常见的原因之一。它可能是原发性的,通常由IgG4抗磷脂酶A2自身抗体介导,也可能是继发于各种其他疾病。Guillain- barr综合征(GBS)与MN有关,但因果关系尚未得到证实。我们报告了一个同时发展的GBS和严重NS的病例,肾脏活检显示MN。IgG4染色阴性,表明MN很可能是继发性的,可能是由潜在的GBS引起的。
本文章由计算机程序翻译,如有差异,请以英文原文为准。
求助全文
约1分钟内获得全文 求助全文
来源期刊
自引率
0.00%
发文量
0
×
引用
GB/T 7714-2015
复制
MLA
复制
APA
复制
导出至
BibTeX EndNote RefMan NoteFirst NoteExpress
×
提示
您的信息不完整,为了账户安全,请先补充。
现在去补充
×
提示
您因"违规操作"
具体请查看互助需知
我知道了
×
提示
确定
请完成安全验证×
copy
已复制链接
快去分享给好友吧!
我知道了
右上角分享
点击右上角分享
0
联系我们:info@booksci.cn Book学术提供免费学术资源搜索服务,方便国内外学者检索中英文文献。致力于提供最便捷和优质的服务体验。 Copyright © 2023 布克学术 All rights reserved.
京ICP备2023020795号-1
ghs 京公网安备 11010802042870号
Book学术文献互助
Book学术文献互助群
群 号:604180095
Book学术官方微信