Relapsing acute kidney injury associated with pegfilgrastim.

Case reports in nephrology and urology Pub Date : 2012-07-01 Epub Date: 2012-11-21 DOI:10.1159/000345278
Swati Arora, Arpit Bhargava, Katherine Jasnosz, Barbara Clark
{"title":"Relapsing acute kidney injury associated with pegfilgrastim.","authors":"Swati Arora,&nbsp;Arpit Bhargava,&nbsp;Katherine Jasnosz,&nbsp;Barbara Clark","doi":"10.1159/000345278","DOIUrl":null,"url":null,"abstract":"<p><p>We report a previously unrecognized complication of severe acute kidney injury (AKI) after the administration of pegfilgrastim with biopsy findings of mesangioproliferative glomerulonephritis (GN) and tubular necrosis. A 51-year-old white female with a history of breast cancer presented to the hospital with nausea, vomiting and dark urine 2 weeks after her third cycle of cyclophosphamide and docetaxel along with pegfilgrastim. She was found to have AKI with a serum creatinine (Cr) level of 6.9 mg/dl (baseline 0.7). At that time, her AKI was believed to be related to prior sepsis and/or daptomycin exposure that had occurred 5 weeks earlier. She was dialyzed for 6 weeks, after which her kidney function recovered to near baseline, but her urinalysis (UA) still showed 3.5 g protein/day and dysmorphic hematuria. Repeat blood cultures and serological workup (complement levels, hepatitis panel, ANA, ANCA and anti-GBM) were negative. She received her next cycle of chemotherapy with the same drugs. Two weeks later, she developed recurrent AKI with a Cr level of 6.7 mg/dl. A kidney biopsy showed mesangioproliferative GN, along with tubular epithelial damage and a rare electron-dense glomerular deposit. Pegfilgrastim was suspected as the inciting agent after exclusion of other causes. Her Cr improved to 1.4 mg/dl over the next 3 weeks, this time without dialysis. She had the next 2 cycles of chemotherapy without pegfilgrastim, with no further episodes of AKI. A literature review revealed a few cases of a possible association of filgrastim with mild self-limited acute GN. In conclusion, pegfilgrastim may cause GN with severe AKI. Milder cases may be missed and therefore routine monitoring of renal function and UA is important.</p>","PeriodicalId":89663,"journal":{"name":"Case reports in nephrology and urology","volume":"2 2","pages":"165-71"},"PeriodicalIF":0.0000,"publicationDate":"2012-07-01","publicationTypes":"Journal Article","fieldsOfStudy":null,"isOpenAccess":false,"openAccessPdf":"https://sci-hub-pdf.com/10.1159/000345278","citationCount":"5","resultStr":null,"platform":"Semanticscholar","paperid":null,"PeriodicalName":"Case reports in nephrology and urology","FirstCategoryId":"1085","ListUrlMain":"https://doi.org/10.1159/000345278","RegionNum":0,"RegionCategory":null,"ArticlePicture":[],"TitleCN":null,"AbstractTextCN":null,"PMCID":null,"EPubDate":"2012/11/21 0:00:00","PubModel":"Epub","JCR":"","JCRName":"","Score":null,"Total":0}
引用次数: 5

Abstract

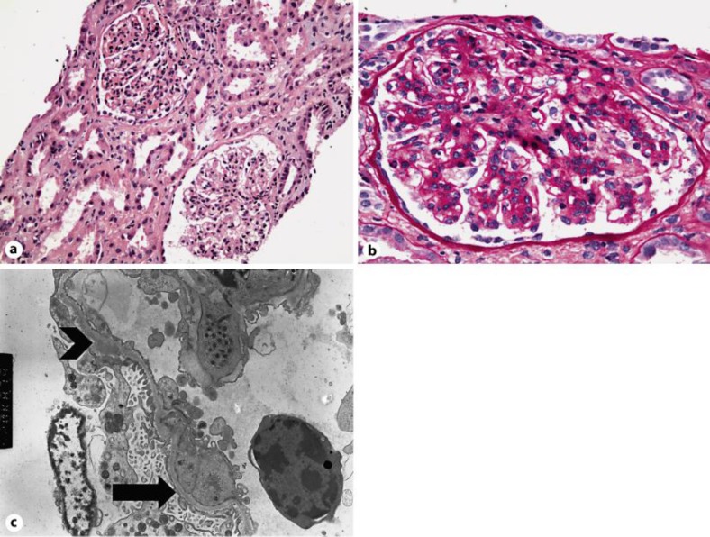
We report a previously unrecognized complication of severe acute kidney injury (AKI) after the administration of pegfilgrastim with biopsy findings of mesangioproliferative glomerulonephritis (GN) and tubular necrosis. A 51-year-old white female with a history of breast cancer presented to the hospital with nausea, vomiting and dark urine 2 weeks after her third cycle of cyclophosphamide and docetaxel along with pegfilgrastim. She was found to have AKI with a serum creatinine (Cr) level of 6.9 mg/dl (baseline 0.7). At that time, her AKI was believed to be related to prior sepsis and/or daptomycin exposure that had occurred 5 weeks earlier. She was dialyzed for 6 weeks, after which her kidney function recovered to near baseline, but her urinalysis (UA) still showed 3.5 g protein/day and dysmorphic hematuria. Repeat blood cultures and serological workup (complement levels, hepatitis panel, ANA, ANCA and anti-GBM) were negative. She received her next cycle of chemotherapy with the same drugs. Two weeks later, she developed recurrent AKI with a Cr level of 6.7 mg/dl. A kidney biopsy showed mesangioproliferative GN, along with tubular epithelial damage and a rare electron-dense glomerular deposit. Pegfilgrastim was suspected as the inciting agent after exclusion of other causes. Her Cr improved to 1.4 mg/dl over the next 3 weeks, this time without dialysis. She had the next 2 cycles of chemotherapy without pegfilgrastim, with no further episodes of AKI. A literature review revealed a few cases of a possible association of filgrastim with mild self-limited acute GN. In conclusion, pegfilgrastim may cause GN with severe AKI. Milder cases may be missed and therefore routine monitoring of renal function and UA is important.

Abstract Image

Abstract Image

聚非格昔汀对复发性急性肾损伤的影响。
我们报告了一种以前未被认识到的严重急性肾损伤(AKI)并发症,在使用聚非格昔汀后,活检结果显示系血管增殖性肾小球肾炎(GN)和肾小管坏死。51岁白人女性,既往有乳腺癌病史,经环磷酰胺、多西他赛联合聚非格昔汀第三周期治疗2周后以恶心、呕吐、尿色深就诊。她被发现患有AKI,血清肌酐(Cr)水平为6.9 mg/dl(基线为0.7)。当时,她的AKI被认为与先前5周发生的败血症和/或达托霉素暴露有关。透析6周后,肾功能恢复至接近基线水平,但尿分析(UA)仍显示蛋白3.5 g /d及畸形血尿。重复血培养和血清学检查(补体水平、肝炎面板、ANA、ANCA和抗gbm)均为阴性。她用同样的药物接受了下一轮化疗。两周后,她复发性AKI, Cr水平为6.7 mg/dl。肾活检显示肾系血管增生性肾小球,伴小管上皮损伤和罕见的电子致密肾小球沉积。排除其他原因后,怀疑Pegfilgrastim为煽动剂。在接下来的3周中,她的Cr改善到1.4 mg/dl,这次没有透析。她在接下来的2个周期化疗中不使用聚非格昔汀,没有再发生AKI。一篇文献综述揭示了一些非格司汀可能与轻度自限性急性GN相关的病例。综上所述,pegfilgrastim可能导致GN伴严重AKI。较轻的病例可能漏诊,因此常规监测肾功能和UA是重要的。
本文章由计算机程序翻译,如有差异,请以英文原文为准。
求助全文
约1分钟内获得全文 求助全文
来源期刊
自引率
0.00%
发文量
0
×
引用
GB/T 7714-2015
复制
MLA
复制
APA
复制
导出至
BibTeX EndNote RefMan NoteFirst NoteExpress
×
提示
您的信息不完整,为了账户安全,请先补充。
现在去补充
×
提示
您因"违规操作"
具体请查看互助需知
我知道了
×
提示
确定
请完成安全验证×
copy
已复制链接
快去分享给好友吧!
我知道了
右上角分享
点击右上角分享
0
联系我们:info@booksci.cn Book学术提供免费学术资源搜索服务,方便国内外学者检索中英文文献。致力于提供最便捷和优质的服务体验。 Copyright © 2023 布克学术 All rights reserved.
京ICP备2023020795号-1
ghs 京公网安备 11010802042870号
Book学术文献互助
Book学术文献互助群
群 号:604180095
Book学术官方微信