Immune Complex-Mediated Complement Activation in a Patient with IgG4-Related Tubulointerstitial Nephritis.

Case reports in nephrology and urology Pub Date : 2011-07-01 Epub Date: 2011-08-18 DOI:10.1159/000330664
Seiji Nagamachi, Isao Ohsawa, Nobuyuki Sato, Masaya Ishii, Gaku Kusaba, Takashi Kobayashi, Yukihiko Takeda, Satoshi Horikoshi, Hiroyuki Ohi, Misao Matsushita, Yasuhiko Tomino
{"title":"Immune Complex-Mediated Complement Activation in a Patient with IgG4-Related Tubulointerstitial Nephritis.","authors":"Seiji Nagamachi,&nbsp;Isao Ohsawa,&nbsp;Nobuyuki Sato,&nbsp;Masaya Ishii,&nbsp;Gaku Kusaba,&nbsp;Takashi Kobayashi,&nbsp;Yukihiko Takeda,&nbsp;Satoshi Horikoshi,&nbsp;Hiroyuki Ohi,&nbsp;Misao Matsushita,&nbsp;Yasuhiko Tomino","doi":"10.1159/000330664","DOIUrl":null,"url":null,"abstract":"<p><p>A 59-year-old man was diagnosed with IgG4-related tubulointerstitial nephritis. His symptoms as well as laboratory and imaging findings were improved after initiation of steroid therapy. Serologically, he showed hypocomplementemia (C3 23 mg/dl, C4 <2 mg/dl, CH50 <7 U/ml) with high levels of IgG (IgG4 1,970 mg/dl) and immune complexes (C1q assay 8.1 μg/ml) and a low level of C1q (<2.0 mg/dl). Histologically, he also showed linear depositions of IgG, IgM, C3, C4d, C1q, membrane attack complex and all IgG subclasses (IgG1, IgG2, IgG3 and IgG4) along the tubular basement membrane, as well as granular depositions of these components in the renal interstitium. However, mannose-binding lectin and L-ficolin were not detected in these tissues. Homogeneous electron-dense deposits were observed by electron microscopy in the tubular basement membrane. It appears that the immune complexes might activate the classical pathway of the complement in both blood and local tissues in a patient with IgG4-related tubulointerstitial nephritis.</p>","PeriodicalId":89663,"journal":{"name":"Case reports in nephrology and urology","volume":"1 1","pages":"7-14"},"PeriodicalIF":0.0000,"publicationDate":"2011-07-01","publicationTypes":"Journal Article","fieldsOfStudy":null,"isOpenAccess":false,"openAccessPdf":"https://sci-hub-pdf.com/10.1159/000330664","citationCount":"10","resultStr":null,"platform":"Semanticscholar","paperid":null,"PeriodicalName":"Case reports in nephrology and urology","FirstCategoryId":"1085","ListUrlMain":"https://doi.org/10.1159/000330664","RegionNum":0,"RegionCategory":null,"ArticlePicture":[],"TitleCN":null,"AbstractTextCN":null,"PMCID":null,"EPubDate":"2011/8/18 0:00:00","PubModel":"Epub","JCR":"","JCRName":"","Score":null,"Total":0}
引用次数: 10

Abstract

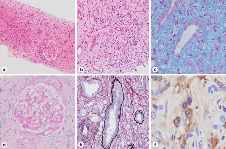
A 59-year-old man was diagnosed with IgG4-related tubulointerstitial nephritis. His symptoms as well as laboratory and imaging findings were improved after initiation of steroid therapy. Serologically, he showed hypocomplementemia (C3 23 mg/dl, C4 <2 mg/dl, CH50 <7 U/ml) with high levels of IgG (IgG4 1,970 mg/dl) and immune complexes (C1q assay 8.1 μg/ml) and a low level of C1q (<2.0 mg/dl). Histologically, he also showed linear depositions of IgG, IgM, C3, C4d, C1q, membrane attack complex and all IgG subclasses (IgG1, IgG2, IgG3 and IgG4) along the tubular basement membrane, as well as granular depositions of these components in the renal interstitium. However, mannose-binding lectin and L-ficolin were not detected in these tissues. Homogeneous electron-dense deposits were observed by electron microscopy in the tubular basement membrane. It appears that the immune complexes might activate the classical pathway of the complement in both blood and local tissues in a patient with IgG4-related tubulointerstitial nephritis.

Abstract Image

Abstract Image

Abstract Image

免疫复合物介导的补体激活在igg4相关小管间质性肾炎患者中的作用
一名59岁男性被诊断为igg4相关的小管间质性肾炎。他的症状以及实验室和影像学结果在类固醇治疗开始后得到改善。血清学显示低补体血症(C3 23 mg/dl, C4)
本文章由计算机程序翻译,如有差异,请以英文原文为准。
求助全文
约1分钟内获得全文 求助全文
来源期刊
自引率
0.00%
发文量
0
×
引用
GB/T 7714-2015
复制
MLA
复制
APA
复制
导出至
BibTeX EndNote RefMan NoteFirst NoteExpress
×
提示
您的信息不完整,为了账户安全,请先补充。
现在去补充
×
提示
您因"违规操作"
具体请查看互助需知
我知道了
×
提示
确定
请完成安全验证×
copy
已复制链接
快去分享给好友吧!
我知道了
右上角分享
点击右上角分享
0
联系我们:info@booksci.cn Book学术提供免费学术资源搜索服务,方便国内外学者检索中英文文献。致力于提供最便捷和优质的服务体验。 Copyright © 2023 布克学术 All rights reserved.
京ICP备2023020795号-1
ghs 京公网安备 11010802042870号
Book学术文献互助
Book学术文献互助群
群 号:604180095
Book学术官方微信