Spontaneous renal hemorrhage in hemodialysis patients.

Case reports in nephrology and urology Pub Date : 2011-07-01 Epub Date: 2011-08-08 DOI:10.1159/000330192
Takashi Kawahara, Kimiko Kawahara, Hiroki Ito, Satoshi Yamaguchi, Hiroshi Mitsuhashi, Kazuhide Makiyama, Hiroji Uemura, Masashi Sakai, Yoshinobu Kubota
{"title":"Spontaneous renal hemorrhage in hemodialysis patients.","authors":"Takashi Kawahara,&nbsp;Kimiko Kawahara,&nbsp;Hiroki Ito,&nbsp;Satoshi Yamaguchi,&nbsp;Hiroshi Mitsuhashi,&nbsp;Kazuhide Makiyama,&nbsp;Hiroji Uemura,&nbsp;Masashi Sakai,&nbsp;Yoshinobu Kubota","doi":"10.1159/000330192","DOIUrl":null,"url":null,"abstract":"<p><p>Dialysis patients have a tendency to bleed, and clinicians sometimes encounter cases with a significant amount of spontaneous hemorrhage. We herein report two cases of spontaneous renal hemorrhage in hemodialysis patients. CASE 1: A 70-year-old male who had received hemodialysis for 8 years presented with right abdominal pain. He had a history of renal failure due to diabetes mellitus. CT showed a right perirenal hemorrhage. Angiography revealed a right renal artery hemorrhage, and catheter embolization was performed. CASE 2: A 76-year-old male who had undergone 7 years of continuous ambulatory peritoneal dialysis and 1 year of hemodialysis presented with right abdominal pain. He had a history of renal failure due to IgA nephropathy. CT showed a right perirenal hemorrhage. He received a blood transfusion and was put on absolute bed rest. At 2 days after admission, his anemia was found to have improved.</p>","PeriodicalId":89663,"journal":{"name":"Case reports in nephrology and urology","volume":"1 1","pages":"1-6"},"PeriodicalIF":0.0000,"publicationDate":"2011-07-01","publicationTypes":"Journal Article","fieldsOfStudy":null,"isOpenAccess":false,"openAccessPdf":"https://sci-hub-pdf.com/10.1159/000330192","citationCount":"14","resultStr":null,"platform":"Semanticscholar","paperid":null,"PeriodicalName":"Case reports in nephrology and urology","FirstCategoryId":"1085","ListUrlMain":"https://doi.org/10.1159/000330192","RegionNum":0,"RegionCategory":null,"ArticlePicture":[],"TitleCN":null,"AbstractTextCN":null,"PMCID":null,"EPubDate":"2011/8/8 0:00:00","PubModel":"Epub","JCR":"","JCRName":"","Score":null,"Total":0}
引用次数: 14

Abstract

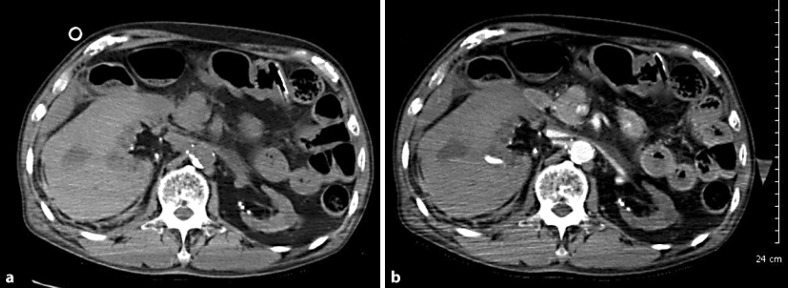
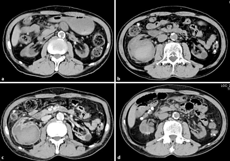
Dialysis patients have a tendency to bleed, and clinicians sometimes encounter cases with a significant amount of spontaneous hemorrhage. We herein report two cases of spontaneous renal hemorrhage in hemodialysis patients. CASE 1: A 70-year-old male who had received hemodialysis for 8 years presented with right abdominal pain. He had a history of renal failure due to diabetes mellitus. CT showed a right perirenal hemorrhage. Angiography revealed a right renal artery hemorrhage, and catheter embolization was performed. CASE 2: A 76-year-old male who had undergone 7 years of continuous ambulatory peritoneal dialysis and 1 year of hemodialysis presented with right abdominal pain. He had a history of renal failure due to IgA nephropathy. CT showed a right perirenal hemorrhage. He received a blood transfusion and was put on absolute bed rest. At 2 days after admission, his anemia was found to have improved.

Abstract Image

Abstract Image

Abstract Image

血液透析患者自发性肾出血。
透析患者有出血的倾向,临床医生有时会遇到大量自发性出血的病例。我们在此报告两例血液透析患者的自发性肾出血。病例1:70岁男性,接受血液透析8年,出现右腹痛。他有糖尿病引起的肾功能衰竭病史。CT显示右侧肾周出血。血管造影显示右肾动脉出血,并进行导管栓塞术。病例2:76岁男性,连续行腹膜透析7年,血液透析1年,出现右腹痛。他有IgA肾病引起的肾功能衰竭病史。CT显示右侧肾周出血。他接受了输血,并被完全卧床休息。入院后2天,患者贫血有所改善。
本文章由计算机程序翻译,如有差异,请以英文原文为准。
求助全文
约1分钟内获得全文 求助全文
来源期刊
自引率
0.00%
发文量
0
×
引用
GB/T 7714-2015
复制
MLA
复制
APA
复制
导出至
BibTeX EndNote RefMan NoteFirst NoteExpress
×
提示
您的信息不完整,为了账户安全,请先补充。
现在去补充
×
提示
您因"违规操作"
具体请查看互助需知
我知道了
×
提示
确定
请完成安全验证×
copy
已复制链接
快去分享给好友吧!
我知道了
右上角分享
点击右上角分享
0
联系我们:info@booksci.cn Book学术提供免费学术资源搜索服务,方便国内外学者检索中英文文献。致力于提供最便捷和优质的服务体验。 Copyright © 2023 布克学术 All rights reserved.
京ICP备2023020795号-1
ghs 京公网安备 11010802042870号
Book学术文献互助
Book学术文献互助群
群 号:604180095
Book学术官方微信