Sarcoma-like pyogenic granuloma of the thumb and respiratory restrictive syndrome in a non-compliant hemodialysis patient.

Case reports in nephrology and urology Pub Date : 2012-07-01 Epub Date: 2012-11-08 DOI:10.1159/000345281
Isabelle Simon, Pierre Alain Gevenois, Véronique Del Marmol, Wissam El Kazzi, Anne-Laure Trepant, Karine Gastaldello, Joëlle L Nortier
{"title":"Sarcoma-like pyogenic granuloma of the thumb and respiratory restrictive syndrome in a non-compliant hemodialysis patient.","authors":"Isabelle Simon,&nbsp;Pierre Alain Gevenois,&nbsp;Véronique Del Marmol,&nbsp;Wissam El Kazzi,&nbsp;Anne-Laure Trepant,&nbsp;Karine Gastaldello,&nbsp;Joëlle L Nortier","doi":"10.1159/000345281","DOIUrl":null,"url":null,"abstract":"<p><p>Pyogenic granuloma is a benign vascular tumor of the skin or mucosae usually observed after irritative processes. We report the case of a non-compliant hemodialysis patient with severe hyperparathyroidism who rapidly developed growing pyogenic granuloma of the distal part of the left thumb. This tumor mimicked sarcoma and caused recurrent bleeding during hemodialysis sessions. Hand radiograph revealed an osteolytic lesion compatible with a brown tumor. Among other brown tumors, several of those found in the ribs were responsible of a severe respiratory restrictive deficit. This report highlights the difficulty to choose the adequate treatment of severe hyperparathyroidism, and discusses the benefit/risk balance of performing parathyroidectomy.</p>","PeriodicalId":89663,"journal":{"name":"Case reports in nephrology and urology","volume":"2 2","pages":"152-7"},"PeriodicalIF":0.0000,"publicationDate":"2012-07-01","publicationTypes":"Journal Article","fieldsOfStudy":null,"isOpenAccess":false,"openAccessPdf":"https://sci-hub-pdf.com/10.1159/000345281","citationCount":"0","resultStr":null,"platform":"Semanticscholar","paperid":null,"PeriodicalName":"Case reports in nephrology and urology","FirstCategoryId":"1085","ListUrlMain":"https://doi.org/10.1159/000345281","RegionNum":0,"RegionCategory":null,"ArticlePicture":[],"TitleCN":null,"AbstractTextCN":null,"PMCID":null,"EPubDate":"2012/11/8 0:00:00","PubModel":"Epub","JCR":"","JCRName":"","Score":null,"Total":0}
引用次数: 0

Abstract

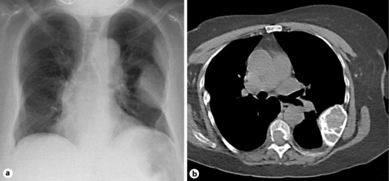
Pyogenic granuloma is a benign vascular tumor of the skin or mucosae usually observed after irritative processes. We report the case of a non-compliant hemodialysis patient with severe hyperparathyroidism who rapidly developed growing pyogenic granuloma of the distal part of the left thumb. This tumor mimicked sarcoma and caused recurrent bleeding during hemodialysis sessions. Hand radiograph revealed an osteolytic lesion compatible with a brown tumor. Among other brown tumors, several of those found in the ribs were responsible of a severe respiratory restrictive deficit. This report highlights the difficulty to choose the adequate treatment of severe hyperparathyroidism, and discusses the benefit/risk balance of performing parathyroidectomy.

Abstract Image

Abstract Image

不依从性血液透析患者的拇指肉瘤样化脓性肉芽肿与呼吸限制综合征。
化脓性肉芽肿是皮肤或粘膜的良性血管肿瘤,通常在刺激过程后观察到。我们报告的情况下,不符合血液透析患者严重甲状旁腺功能亢进谁迅速发展的化脓性肉芽肿的远端部分的左拇指。这种肿瘤类似于肉瘤,在血液透析期间引起复发性出血。手部x线片显示溶骨病变与棕色肿瘤相吻合。在其他棕色肿瘤中,在肋骨中发现的一些肿瘤导致严重的呼吸限制性缺陷。本报告强调了选择适当治疗严重甲状旁腺功能亢进的困难,并讨论了实施甲状旁腺切除术的利益/风险平衡。
本文章由计算机程序翻译,如有差异,请以英文原文为准。
求助全文
约1分钟内获得全文 求助全文
来源期刊
自引率
0.00%
发文量
0
×
引用
GB/T 7714-2015
复制
MLA
复制
APA
复制
导出至
BibTeX EndNote RefMan NoteFirst NoteExpress
×
提示
您的信息不完整,为了账户安全,请先补充。
现在去补充
×
提示
您因"违规操作"
具体请查看互助需知
我知道了
×
提示
确定
请完成安全验证×
copy
已复制链接
快去分享给好友吧!
我知道了
右上角分享
点击右上角分享
0
联系我们:info@booksci.cn Book学术提供免费学术资源搜索服务,方便国内外学者检索中英文文献。致力于提供最便捷和优质的服务体验。 Copyright © 2023 布克学术 All rights reserved.
京ICP备2023020795号-1
ghs 京公网安备 11010802042870号
Book学术文献互助
Book学术文献互助群
群 号:604180095
Book学术官方微信