Coexistent malignant peripheral nerve sheath tumor and lateral spinal meningoceles.

Lata Bhoir, Pramod Nichat, Ashish Chug, Harish Verma
{"title":"Coexistent malignant peripheral nerve sheath tumor and lateral spinal meningoceles.","authors":"Lata Bhoir,&nbsp;Pramod Nichat,&nbsp;Ashish Chug,&nbsp;Harish Verma","doi":"10.4103/2006-8808.100353","DOIUrl":null,"url":null,"abstract":"<p><p>Malignant peripheral nerve sheath tumor (MPNST) is a malignant spindle cell tumor of the soft tissue thought to be derived from the components of nerve sheath. MPNSTs are mainly located in the buttocks, thighs, brachial plexus, and paraspinal region. The objective of this article is to describe a case of neurofibromatosis type 1 who developed neurofibrosarcoma of the right lateral thoracic nerve with thoracic meningoceles, a rare coincidental finding which has not yet been reported in the English medical literature, and how both the conditions were managed in the same sitting.</p>","PeriodicalId":89430,"journal":{"name":"Journal of surgical technique and case report","volume":"4 1","pages":"39-42"},"PeriodicalIF":0.0000,"publicationDate":"2012-01-01","publicationTypes":"Journal Article","fieldsOfStudy":null,"isOpenAccess":false,"openAccessPdf":"https://sci-hub-pdf.com/10.4103/2006-8808.100353","citationCount":"1","resultStr":null,"platform":"Semanticscholar","paperid":null,"PeriodicalName":"Journal of surgical technique and case report","FirstCategoryId":"1085","ListUrlMain":"https://doi.org/10.4103/2006-8808.100353","RegionNum":0,"RegionCategory":null,"ArticlePicture":[],"TitleCN":null,"AbstractTextCN":null,"PMCID":null,"EPubDate":"","PubModel":"","JCR":"","JCRName":"","Score":null,"Total":0}
引用次数: 1

Abstract

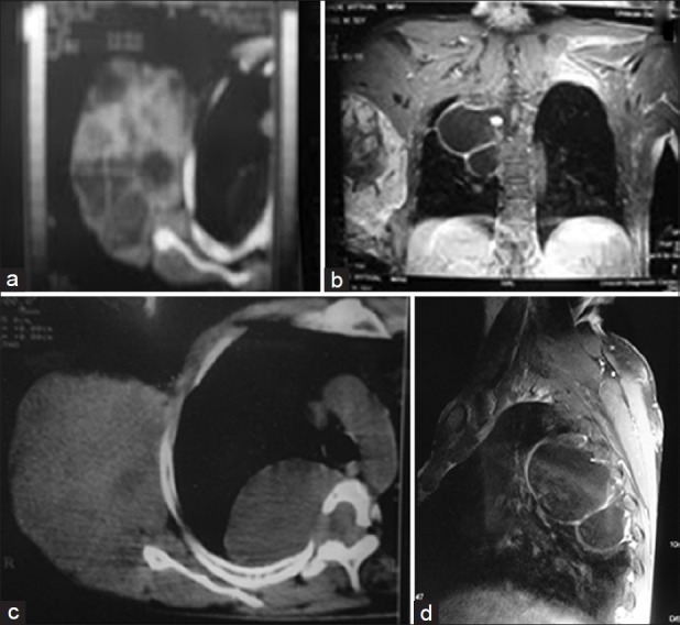
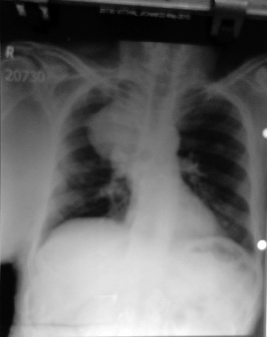
Malignant peripheral nerve sheath tumor (MPNST) is a malignant spindle cell tumor of the soft tissue thought to be derived from the components of nerve sheath. MPNSTs are mainly located in the buttocks, thighs, brachial plexus, and paraspinal region. The objective of this article is to describe a case of neurofibromatosis type 1 who developed neurofibrosarcoma of the right lateral thoracic nerve with thoracic meningoceles, a rare coincidental finding which has not yet been reported in the English medical literature, and how both the conditions were managed in the same sitting.

Abstract Image

Abstract Image

Abstract Image

恶性外周神经鞘瘤与脊髓侧脑膜膨出并存。
恶性周围神经鞘肿瘤(MPNST)是一种被认为起源于神经鞘成分的软组织恶性梭形细胞肿瘤。mpnst主要位于臀部、大腿、臂丛和棘旁区。本文的目的是描述一个1型神经纤维瘤病患者发展为右侧胸外侧神经神经纤维肉瘤并胸膜膨出,这是一个罕见的巧合发现,在英国医学文献中尚未报道,以及如何在同一坐姿下处理这两种情况。
本文章由计算机程序翻译,如有差异,请以英文原文为准。
求助全文
约1分钟内获得全文 求助全文
来源期刊
自引率
0.00%
发文量
0
×
引用
GB/T 7714-2015
复制
MLA
复制
APA
复制
导出至
BibTeX EndNote RefMan NoteFirst NoteExpress
×
提示
您的信息不完整,为了账户安全,请先补充。
现在去补充
×
提示
您因"违规操作"
具体请查看互助需知
我知道了
×
提示
确定
请完成安全验证×
copy
已复制链接
快去分享给好友吧!
我知道了
右上角分享
点击右上角分享
0
联系我们:info@booksci.cn Book学术提供免费学术资源搜索服务,方便国内外学者检索中英文文献。致力于提供最便捷和优质的服务体验。 Copyright © 2023 布克学术 All rights reserved.
京ICP备2023020795号-1
ghs 京公网安备 11010802042870号
Book学术文献互助
Book学术文献互助群
群 号:604180095
Book学术官方微信