Integration of digital dental casts in cone-beam computed tomography scans.

ISRN dentistry Pub Date : 2012-01-01 Epub Date: 2012-09-23 DOI:10.5402/2012/949086
Frits A Rangel, Thomas J J Maal, Stefaan J Bergé, Anne Marie Kuijpers-Jagtman
{"title":"Integration of digital dental casts in cone-beam computed tomography scans.","authors":"Frits A Rangel,&nbsp;Thomas J J Maal,&nbsp;Stefaan J Bergé,&nbsp;Anne Marie Kuijpers-Jagtman","doi":"10.5402/2012/949086","DOIUrl":null,"url":null,"abstract":"<p><p>Cone-beam computed tomography (CBCT) is widely used in maxillofacial surgery. The CBCT image of the dental arches, however, is of insufficient quality to use in digital planning of orthognathic surgery. Several authors have described methods to integrate digital dental casts into CBCT scans, but all reported methods have drawbacks. The aim of this feasibility study is to present a new simplified method to integrate digital dental casts into CBCT scans. In a patient scheduled for orthognathic surgery, titanium markers were glued to the gingiva. Next, a CBCT scan and dental impressions were made. During the impression-taking procedure, the titanium markers were transferred to the impression. The impressions were scanned, and all CBCT datasets were exported in DICOM format. The two datasets were matched, and the dentition derived from the scanned impressions was transferred to the CBCT of the patient. After matching the two datasets, the average distance between the corresponding markers was 0.1 mm. This novel method allows for the integration of digital dental casts into CBCT scans, overcoming problems such as unwanted extra radiation exposure, distortion of soft tissues due to the use of bite jigs, and time-consuming digital data handling.</p>","PeriodicalId":89396,"journal":{"name":"ISRN dentistry","volume":"2012 ","pages":"949086"},"PeriodicalIF":0.0000,"publicationDate":"2012-01-01","publicationTypes":"Journal Article","fieldsOfStudy":null,"isOpenAccess":false,"openAccessPdf":"https://www.ncbi.nlm.nih.gov/pmc/articles/PMC3461639/pdf/","citationCount":"26","resultStr":null,"platform":"Semanticscholar","paperid":null,"PeriodicalName":"ISRN dentistry","FirstCategoryId":"1085","ListUrlMain":"https://doi.org/10.5402/2012/949086","RegionNum":0,"RegionCategory":null,"ArticlePicture":[],"TitleCN":null,"AbstractTextCN":null,"PMCID":null,"EPubDate":"2012/9/23 0:00:00","PubModel":"Epub","JCR":"","JCRName":"","Score":null,"Total":0}
引用次数: 26

Abstract

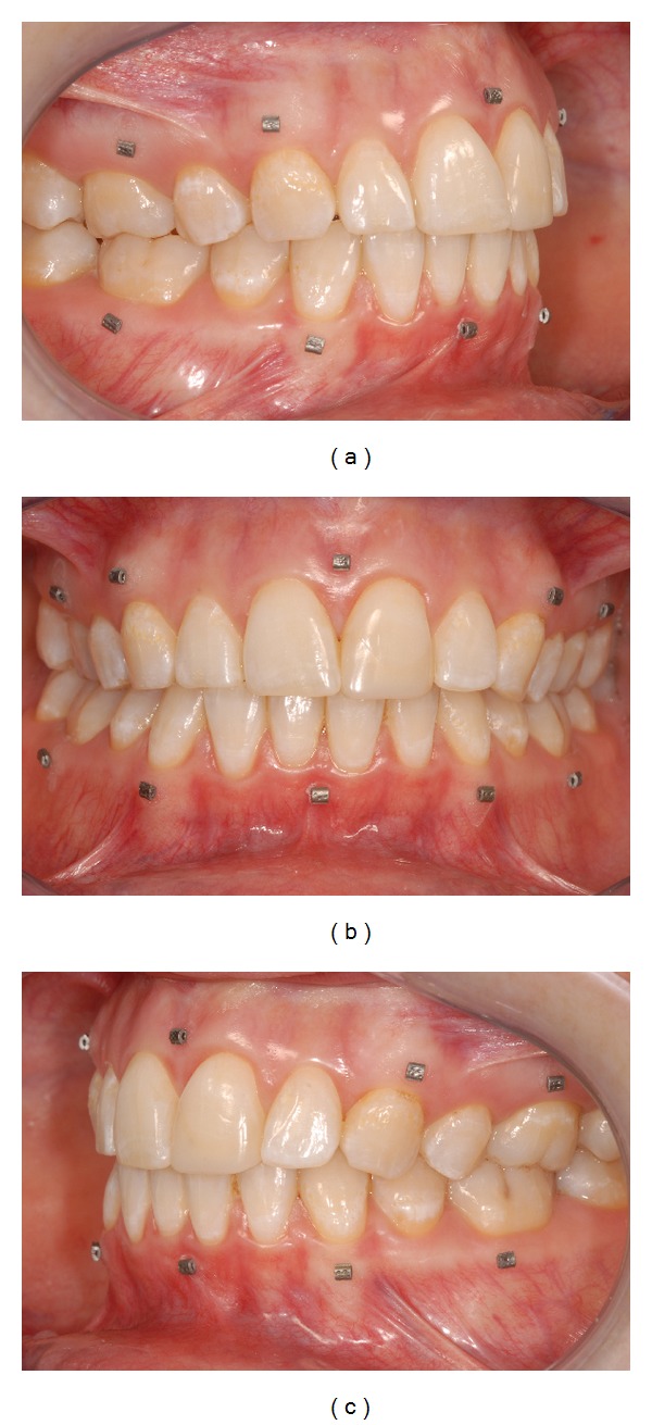
Cone-beam computed tomography (CBCT) is widely used in maxillofacial surgery. The CBCT image of the dental arches, however, is of insufficient quality to use in digital planning of orthognathic surgery. Several authors have described methods to integrate digital dental casts into CBCT scans, but all reported methods have drawbacks. The aim of this feasibility study is to present a new simplified method to integrate digital dental casts into CBCT scans. In a patient scheduled for orthognathic surgery, titanium markers were glued to the gingiva. Next, a CBCT scan and dental impressions were made. During the impression-taking procedure, the titanium markers were transferred to the impression. The impressions were scanned, and all CBCT datasets were exported in DICOM format. The two datasets were matched, and the dentition derived from the scanned impressions was transferred to the CBCT of the patient. After matching the two datasets, the average distance between the corresponding markers was 0.1 mm. This novel method allows for the integration of digital dental casts into CBCT scans, overcoming problems such as unwanted extra radiation exposure, distortion of soft tissues due to the use of bite jigs, and time-consuming digital data handling.

Abstract Image

Abstract Image

Abstract Image

锥形束计算机断层扫描中数字牙科模型的集成。
锥形束计算机断层扫描(CBCT)在颌面外科手术中应用广泛。然而,牙弓的CBCT图像质量不足,无法用于正颌手术的数字化规划。一些作者已经描述了将数字牙科模型集成到CBCT扫描中的方法,但所有报道的方法都有缺点。本可行性研究的目的是提出一种新的简化方法,将数字牙模集成到CBCT扫描中。在一个计划进行正颌手术的病人中,钛标记物被粘在牙龈上。接下来,CBCT扫描和牙印。在印模过程中,钛标记被转移到印模上。扫描印痕,并以DICOM格式导出所有CBCT数据集。这两个数据集是匹配的,从扫描印模中得到的牙列被转移到患者的CBCT上。两个数据集匹配后,对应标记之间的平均距离为0.1 mm。这种新颖的方法允许将数字牙模集成到CBCT扫描中,克服了诸如不必要的额外辐射暴露,由于使用咬具而导致的软组织扭曲以及耗时的数字数据处理等问题。
本文章由计算机程序翻译,如有差异,请以英文原文为准。
求助全文
约1分钟内获得全文 求助全文
来源期刊
自引率
0.00%
发文量
0
×
引用
GB/T 7714-2015
复制
MLA
复制
APA
复制
导出至
BibTeX EndNote RefMan NoteFirst NoteExpress
×
提示
您的信息不完整,为了账户安全,请先补充。
现在去补充
×
提示
您因"违规操作"
具体请查看互助需知
我知道了
×
提示
确定
请完成安全验证×
copy
已复制链接
快去分享给好友吧!
我知道了
右上角分享
点击右上角分享
0
联系我们:info@booksci.cn Book学术提供免费学术资源搜索服务,方便国内外学者检索中英文文献。致力于提供最便捷和优质的服务体验。 Copyright © 2023 布克学术 All rights reserved.
京ICP备2023020795号-1
ghs 京公网安备 11010802042870号
Book学术文献互助
Book学术文献互助群
群 号:604180095
Book学术官方微信