Postoperative dissecting ventricular septal hematoma: recognition and treatment.

ISRN pediatrics Pub Date : 2011-01-01 Epub Date: 2011-04-14 DOI:10.5402/2011/534940
Christopher R Mart, Aditya K Kaza
{"title":"Postoperative dissecting ventricular septal hematoma: recognition and treatment.","authors":"Christopher R Mart,&nbsp;Aditya K Kaza","doi":"10.5402/2011/534940","DOIUrl":null,"url":null,"abstract":"<p><p>Dissecting ventricular septal hematoma (DVSH) rarely occurs after repair of a ventricular septal defect (VSD) but can lead to serious complications such as septal rupture, myocardial rupture, cardiogenic shock, heart block, outflow obstruction, cardiac tamponade, abscess transformation, and death. This paper describes the diagnosis and management of acute, severe, left ventricular outflow tract obstruction caused by the development of a DVSH after VSD repair.</p>","PeriodicalId":73521,"journal":{"name":"ISRN pediatrics","volume":"2011 ","pages":"534940"},"PeriodicalIF":0.0000,"publicationDate":"2011-01-01","publicationTypes":"Journal Article","fieldsOfStudy":null,"isOpenAccess":false,"openAccessPdf":"https://sci-hub-pdf.com/10.5402/2011/534940","citationCount":"18","resultStr":null,"platform":"Semanticscholar","paperid":null,"PeriodicalName":"ISRN pediatrics","FirstCategoryId":"1085","ListUrlMain":"https://doi.org/10.5402/2011/534940","RegionNum":0,"RegionCategory":null,"ArticlePicture":[],"TitleCN":null,"AbstractTextCN":null,"PMCID":null,"EPubDate":"2011/4/14 0:00:00","PubModel":"Epub","JCR":"","JCRName":"","Score":null,"Total":0}
引用次数: 18

Abstract

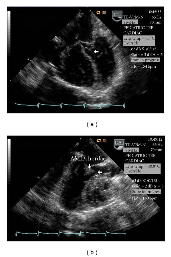
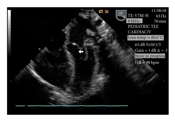
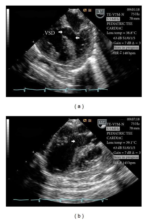
Dissecting ventricular septal hematoma (DVSH) rarely occurs after repair of a ventricular septal defect (VSD) but can lead to serious complications such as septal rupture, myocardial rupture, cardiogenic shock, heart block, outflow obstruction, cardiac tamponade, abscess transformation, and death. This paper describes the diagnosis and management of acute, severe, left ventricular outflow tract obstruction caused by the development of a DVSH after VSD repair.

Abstract Image

Abstract Image

Abstract Image

术后解剖性室间隔血肿的识别与治疗。
室间隔血肿(DVSH)在室间隔缺损(VSD)修复后很少发生,但可导致严重的并发症,如室间隔破裂、心肌破裂、心源性休克、心脏传导阻滞、流出道梗阻、心包填塞、脓肿转化和死亡。本文介绍了室间隔缺损修复后发生DVSH引起的急性、严重左心室流出道梗阻的诊断和处理。
本文章由计算机程序翻译,如有差异,请以英文原文为准。
求助全文
约1分钟内获得全文 求助全文
来源期刊
自引率
0.00%
发文量
0
×
引用
GB/T 7714-2015
复制
MLA
复制
APA
复制
导出至
BibTeX EndNote RefMan NoteFirst NoteExpress
×
提示
您的信息不完整,为了账户安全,请先补充。
现在去补充
×
提示
您因"违规操作"
具体请查看互助需知
我知道了
×
提示
确定
请完成安全验证×
copy
已复制链接
快去分享给好友吧!
我知道了
右上角分享
点击右上角分享
0
联系我们:info@booksci.cn Book学术提供免费学术资源搜索服务,方便国内外学者检索中英文文献。致力于提供最便捷和优质的服务体验。 Copyright © 2023 布克学术 All rights reserved.
京ICP备2023020795号-1
ghs 京公网安备 11010802042870号
Book学术文献互助
Book学术文献互助群
群 号:604180095
Book学术官方微信