Insulin expressing hepatocytes not destroyed in transgenic NOD mice.

Muhammad T Tabiin, Christopher P White, Grant Morahan, Bernard E Tuch
{"title":"Insulin expressing hepatocytes not destroyed in transgenic NOD mice.","authors":"Muhammad T Tabiin,&nbsp;Christopher P White,&nbsp;Grant Morahan,&nbsp;Bernard E Tuch","doi":"10.1186/1740-2557-1-3","DOIUrl":null,"url":null,"abstract":"<p><p>BACKGROUND: The liver has been suggested as a suitable target organ for gene therapy of Type 1 diabetes. However, the fundamental issue whether insulin-secreting hepatocytes in vivo will be destroyed by the autoimmune processes that kill pancreatic beta cells has not been fully addressed. It is possible that the insulin secreting liver cells will be destroyed by the immune system because hepatocytes express major histocompatibility complex (MHC) class I molecules and exhibit constitutive Fas expression; moreover the liver has antigen presenting activity. Together with previous reports that proinsulin is a possible autoantigen in the development of Type 1 diabetes, the autoimmune destruction of insulin producing liver cells is a distinct possibility. METHODS: To address this question, transgenic Non-Obese Diabetic (NOD) mice which express insulin in the liver were made using the Phosphoenolpyruvate Carboxykinase (PEPCK) promoter to drive the mouse insulin I gene (Ins). RESULTS: The liver cells were found to possess preproinsulin mRNA, translate (pro)insulin in vivo and release it when exposed to 100 nmol/l glucagon in vitro. The amount of insulin produced was however significantly lower than that produced by the pancreas. The transgenic PEPCK-Ins NOD mice became diabetic at 20-25 weeks of age, with blood glucose levels of 24.1 +/- 1.7 mmol/l. Haematoxylin and eosin staining of liver sections from these transgenic NOD PEPCK-Ins mice revealed the absence of an infiltrate of immune cells, a feature that characterised the pancreatic islets of these mice. CONCLUSIONS: These data show that hepatocytes induced to produce (pro)insulin in NOD mice are not destroyed by an ongoing autoimmune response; furthermore the expression of (pro)insulin in hepatocytes is insufficient to prevent development of diabetes in NOD mice. These results support the use of liver cells as a potential therapy for type 1 diabetes. However it is possible that a certain threshold level of (pro)insulin production might have to be reached to trigger the autoimmune response.</p>","PeriodicalId":87189,"journal":{"name":"Journal of autoimmune diseases","volume":"1 1","pages":"3"},"PeriodicalIF":0.0000,"publicationDate":"2004-11-08","publicationTypes":"Journal Article","fieldsOfStudy":null,"isOpenAccess":false,"openAccessPdf":"https://sci-hub-pdf.com/10.1186/1740-2557-1-3","citationCount":"21","resultStr":null,"platform":"Semanticscholar","paperid":null,"PeriodicalName":"Journal of autoimmune diseases","FirstCategoryId":"1085","ListUrlMain":"https://doi.org/10.1186/1740-2557-1-3","RegionNum":0,"RegionCategory":null,"ArticlePicture":[],"TitleCN":null,"AbstractTextCN":null,"PMCID":null,"EPubDate":"","PubModel":"","JCR":"","JCRName":"","Score":null,"Total":0}
引用次数: 21

Abstract

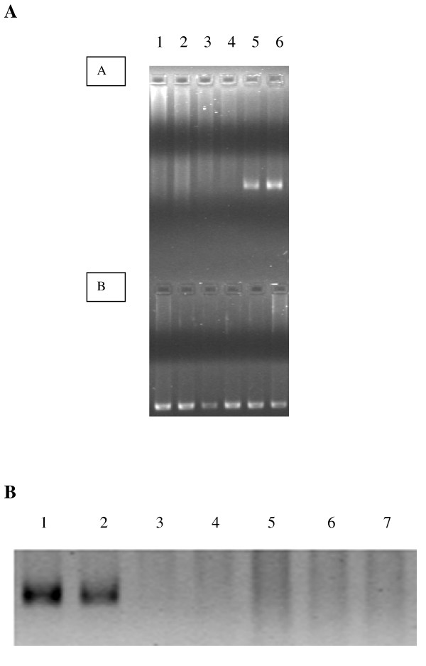
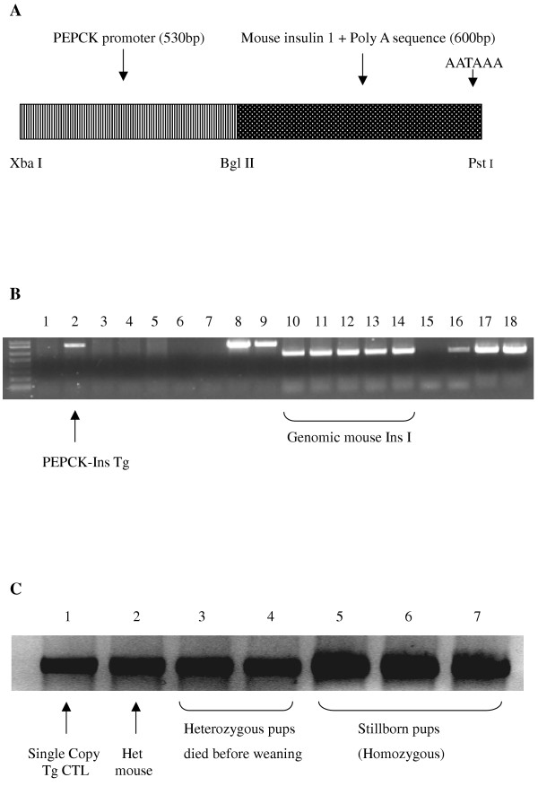
BACKGROUND: The liver has been suggested as a suitable target organ for gene therapy of Type 1 diabetes. However, the fundamental issue whether insulin-secreting hepatocytes in vivo will be destroyed by the autoimmune processes that kill pancreatic beta cells has not been fully addressed. It is possible that the insulin secreting liver cells will be destroyed by the immune system because hepatocytes express major histocompatibility complex (MHC) class I molecules and exhibit constitutive Fas expression; moreover the liver has antigen presenting activity. Together with previous reports that proinsulin is a possible autoantigen in the development of Type 1 diabetes, the autoimmune destruction of insulin producing liver cells is a distinct possibility. METHODS: To address this question, transgenic Non-Obese Diabetic (NOD) mice which express insulin in the liver were made using the Phosphoenolpyruvate Carboxykinase (PEPCK) promoter to drive the mouse insulin I gene (Ins). RESULTS: The liver cells were found to possess preproinsulin mRNA, translate (pro)insulin in vivo and release it when exposed to 100 nmol/l glucagon in vitro. The amount of insulin produced was however significantly lower than that produced by the pancreas. The transgenic PEPCK-Ins NOD mice became diabetic at 20-25 weeks of age, with blood glucose levels of 24.1 +/- 1.7 mmol/l. Haematoxylin and eosin staining of liver sections from these transgenic NOD PEPCK-Ins mice revealed the absence of an infiltrate of immune cells, a feature that characterised the pancreatic islets of these mice. CONCLUSIONS: These data show that hepatocytes induced to produce (pro)insulin in NOD mice are not destroyed by an ongoing autoimmune response; furthermore the expression of (pro)insulin in hepatocytes is insufficient to prevent development of diabetes in NOD mice. These results support the use of liver cells as a potential therapy for type 1 diabetes. However it is possible that a certain threshold level of (pro)insulin production might have to be reached to trigger the autoimmune response.

Abstract Image

Abstract Image

Abstract Image

在转基因NOD小鼠中表达胰岛素的肝细胞未被破坏。
背景:肝脏已被认为是1型糖尿病基因治疗的合适靶器官。然而,体内分泌胰岛素的肝细胞是否会被杀死胰腺细胞的自身免疫过程破坏,这一根本问题尚未得到充分解决。分泌胰岛素的肝细胞可能会被免疫系统破坏,因为肝细胞表达主要组织相容性复合体(MHC) I类分子并表现出组成性Fas表达;此外,肝脏具有抗原呈递活性。结合先前的报道,胰岛素原在1型糖尿病的发展中可能是一种自身抗原,产生胰岛素的肝细胞的自身免疫破坏是一种明显的可能性。方法:利用磷酸烯醇丙酮酸羧激酶(PEPCK)启动子驱动小鼠胰岛素I基因(Ins),构建肝脏表达胰岛素的非肥胖糖尿病(NOD)转基因小鼠。结果:肝细胞具有胰岛素前原mRNA,体内可翻译胰岛素前原,体外可释放胰岛素前原。然而,产生的胰岛素量明显低于胰腺产生的胰岛素量。转基因PEPCK-Ins NOD小鼠在20-25周龄时发生糖尿病,血糖水平为24.1 +/- 1.7 mmol/l。对这些转基因NOD PEPCK-Ins小鼠的肝脏切片进行红木精和伊红染色,发现没有免疫细胞浸润,这是这些小鼠胰岛的特征。结论:这些数据表明,NOD小鼠诱导产生(促)胰岛素的肝细胞不会被持续的自身免疫反应破坏;此外,(原)胰岛素在肝细胞中的表达不足以预防NOD小鼠糖尿病的发生。这些结果支持使用肝细胞作为1型糖尿病的潜在治疗方法。然而,有可能(原)胰岛素产生的一定阈值水平可能必须达到触发自身免疫反应。
本文章由计算机程序翻译,如有差异,请以英文原文为准。
求助全文
约1分钟内获得全文 求助全文
来源期刊
自引率
0.00%
发文量
0
×
引用
GB/T 7714-2015
复制
MLA
复制
APA
复制
导出至
BibTeX EndNote RefMan NoteFirst NoteExpress
×
提示
您的信息不完整,为了账户安全,请先补充。
现在去补充
×
提示
您因"违规操作"
具体请查看互助需知
我知道了
×
提示
确定
请完成安全验证×
copy
已复制链接
快去分享给好友吧!
我知道了
右上角分享
点击右上角分享
0
联系我们:info@booksci.cn Book学术提供免费学术资源搜索服务,方便国内外学者检索中英文文献。致力于提供最便捷和优质的服务体验。 Copyright © 2023 布克学术 All rights reserved.
京ICP备2023020795号-1
ghs 京公网安备 11010802042870号
Book学术文献互助
Book学术文献互助群
群 号:604180095
Book学术官方微信