Sternal Foramina Detected by Postmortem Computed Tomography in the Japanese Population: Prevalence and Developmental Patterns.

IF 1.5 Q2 RADIOLOGY, NUCLEAR MEDICINE & MEDICAL IMAGING
Radiology Research and Practice Pub Date : 2025-09-30 eCollection Date: 2025-01-01 DOI:10.1155/rrp/4298982
Akihito Usui, Sonoka Sato, Eiji Suzuki, Sohtaro Mimasaka, Tomohiro Kaneta
{"title":"Sternal Foramina Detected by Postmortem Computed Tomography in the Japanese Population: Prevalence and Developmental Patterns.","authors":"Akihito Usui, Sonoka Sato, Eiji Suzuki, Sohtaro Mimasaka, Tomohiro Kaneta","doi":"10.1155/rrp/4298982","DOIUrl":null,"url":null,"abstract":"<p><strong>Background: </strong>Sternal foramina are congenital anomalies arising from incomplete fusion of sternal ossification centers. They are often clinically silent but can pose risks during sternal procedures because of their proximity to critical mediastinal structures. Large-scale postmortem computed tomography (CT) studies of their prevalence in Japanese populations are limited, and their developmental origins remain elusive. We aimed to investigate the development, prevalence, and anatomical characteristics of sternal foramina in a large Japanese cohort using postmortem CT.</p><p><strong>Methods: </strong>We retrospectively reviewed postmortem CT scans from 1503 adults (1021 males, 482 females; age range: 20-96 years) and 92 pediatric cases (age range: 0-8 years). In adults, we assessed prevalence, sex distribution, location, diameter, and adjacent structures. In pediatrics, ossification patterns of the third and fourth sternebral segments were evaluated to explore developmental contributions to foramen formation.</p><p><strong>Results: </strong>Sternal foramina were present in 3.7% of adults. They were more frequent in males (4.3%) than in females (2.5%), although the difference was insignificant. Most foramina were located at the level of the fifth costal notch and overlaid the pericardium or lung in 72% of evaluable cases. The median diameter was 4.5 mm. In pediatric cases, 11 (12%) exhibited lower-sternebral ossification-center patterns that could form sternal foramina, supporting a developmental origin. An estimated 31% of these patterns may persist into adulthood with unfused segments.</p><p><strong>Conclusion: </strong>Sternal foramina occurred in 3.7% of adults and were often situated over vital structures, posing procedural risks. Among pediatrics, ossification patterns that may impede fusion-defined as horizontal two-center or ≥ 3 center configurations-were present in 12%, and approximately 31% of these patterns appear to persist into adulthood as sternal foramina. These findings support a developmental basis for sternal foramina and emphasize the importance of recognizing them during imaging and procedural planning.</p>","PeriodicalId":51864,"journal":{"name":"Radiology Research and Practice","volume":"2025 ","pages":"4298982"},"PeriodicalIF":1.5000,"publicationDate":"2025-09-30","publicationTypes":"Journal Article","fieldsOfStudy":null,"isOpenAccess":false,"openAccessPdf":"https://www.ncbi.nlm.nih.gov/pmc/articles/PMC12504004/pdf/","citationCount":"0","resultStr":null,"platform":"Semanticscholar","paperid":null,"PeriodicalName":"Radiology Research and Practice","FirstCategoryId":"1085","ListUrlMain":"https://doi.org/10.1155/rrp/4298982","RegionNum":0,"RegionCategory":null,"ArticlePicture":[],"TitleCN":null,"AbstractTextCN":null,"PMCID":null,"EPubDate":"2025/1/1 0:00:00","PubModel":"eCollection","JCR":"Q2","JCRName":"RADIOLOGY, NUCLEAR MEDICINE & MEDICAL IMAGING","Score":null,"Total":0}
引用次数: 0

Abstract

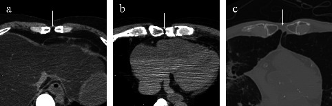
Background: Sternal foramina are congenital anomalies arising from incomplete fusion of sternal ossification centers. They are often clinically silent but can pose risks during sternal procedures because of their proximity to critical mediastinal structures. Large-scale postmortem computed tomography (CT) studies of their prevalence in Japanese populations are limited, and their developmental origins remain elusive. We aimed to investigate the development, prevalence, and anatomical characteristics of sternal foramina in a large Japanese cohort using postmortem CT.

Methods: We retrospectively reviewed postmortem CT scans from 1503 adults (1021 males, 482 females; age range: 20-96 years) and 92 pediatric cases (age range: 0-8 years). In adults, we assessed prevalence, sex distribution, location, diameter, and adjacent structures. In pediatrics, ossification patterns of the third and fourth sternebral segments were evaluated to explore developmental contributions to foramen formation.

Results: Sternal foramina were present in 3.7% of adults. They were more frequent in males (4.3%) than in females (2.5%), although the difference was insignificant. Most foramina were located at the level of the fifth costal notch and overlaid the pericardium or lung in 72% of evaluable cases. The median diameter was 4.5 mm. In pediatric cases, 11 (12%) exhibited lower-sternebral ossification-center patterns that could form sternal foramina, supporting a developmental origin. An estimated 31% of these patterns may persist into adulthood with unfused segments.

Conclusion: Sternal foramina occurred in 3.7% of adults and were often situated over vital structures, posing procedural risks. Among pediatrics, ossification patterns that may impede fusion-defined as horizontal two-center or ≥ 3 center configurations-were present in 12%, and approximately 31% of these patterns appear to persist into adulthood as sternal foramina. These findings support a developmental basis for sternal foramina and emphasize the importance of recognizing them during imaging and procedural planning.

Abstract Image

Abstract Image

Abstract Image

日本人死后计算机断层扫描发现的胸骨孔:患病率和发育模式。
背景:胸骨孔是由胸骨骨化中心不完全融合引起的先天性异常。它们通常临床表现不明显,但由于靠近关键的纵隔结构,在胸骨手术中可能会造成风险。大规模的死后计算机断层扫描(CT)研究其在日本人群中的患病率是有限的,其发展起源仍然难以捉摸。我们的目的是通过尸检CT研究日本一大队列中胸骨孔的发展、流行和解剖特征。方法:我们回顾性分析了1503例成人(1021例男性,482例女性,年龄范围:20-96岁)和92例儿童(年龄范围:0-8岁)的死后CT扫描。在成人中,我们评估了患病率、性别分布、位置、直径和邻近结构。在儿科,评估了第三和第四胸骨节的骨化模式,以探索发育对椎间孔形成的贡献。结果:3.7%的成年人存在胸骨孔。男性(4.3%)比女性(2.5%)更常见,尽管差异不显著。大多数椎间孔位于第五肋切迹的水平,在72%的可评估病例中覆盖心包或肺。中位直径为4.5 mm。在儿童病例中,11例(12%)表现为下胸骨骨化中心模式,可能形成胸骨孔,支持发育起源。据估计,31%的这些模式可能持续到成年期,且节段未融合。结论:胸骨孔发生率为3.7%,常位于重要结构上方,存在手术风险。在儿科中,12%的骨化模式可能阻碍融合,定义为水平双中心或≥3中心构型,其中约31%的骨化模式以胸骨孔的形式持续到成年。这些发现支持了胸骨孔的发育基础,并强调了在成像和手术计划中识别胸骨孔的重要性。
本文章由计算机程序翻译,如有差异,请以英文原文为准。
求助全文
约1分钟内获得全文 求助全文
来源期刊
Radiology Research and Practice
Radiology Research and Practice RADIOLOGY, NUCLEAR MEDICINE & MEDICAL IMAGING-
自引率
0.00%
发文量
17
审稿时长
17 weeks
期刊介绍: Radiology Research and Practice is a peer-reviewed, Open Access journal that publishes articles on all areas of medical imaging. The journal promotes evidence-based radiology practice though the publication of original research, reviews, and clinical studies for a multidisciplinary audience. Radiology Research and Practice is archived in Portico, which provides permanent archiving for electronic scholarly journals, as well as via the LOCKSS initiative. It operates a fully open access publishing model which allows open global access to its published content. This model is supported through Article Processing Charges. For more information on Article Processing charges in gen
×
引用
GB/T 7714-2015
复制
MLA
复制
APA
复制
导出至
BibTeX EndNote RefMan NoteFirst NoteExpress
×
提示
您的信息不完整,为了账户安全,请先补充。
现在去补充
×
提示
您因"违规操作"
具体请查看互助需知
我知道了
×
提示
确定
请完成安全验证×
copy
已复制链接
快去分享给好友吧!
我知道了
右上角分享
点击右上角分享
0
联系我们:info@booksci.cn Book学术提供免费学术资源搜索服务,方便国内外学者检索中英文文献。致力于提供最便捷和优质的服务体验。 Copyright © 2023 布克学术 All rights reserved.
京ICP备2023020795号-1
ghs 京公网安备 11010802042870号
Book学术文献互助
Book学术文献互助群
群 号:604180095
Book学术官方微信