Novel OFD1 Mutation Results in Unusually Early-Onset Polycystic Kidney Disease.

IF 0.9 Q4 UROLOGY & NEPHROLOGY
Case Reports in Nephrology and Dialysis Pub Date : 2025-08-14 eCollection Date: 2025-01-01 DOI:10.1159/000547878
Nicholas Jones, Matthew Nguyen, Dao Le, Ramy Hanna
{"title":"Novel OFD1 Mutation Results in Unusually Early-Onset Polycystic Kidney Disease.","authors":"Nicholas Jones, Matthew Nguyen, Dao Le, Ramy Hanna","doi":"10.1159/000547878","DOIUrl":null,"url":null,"abstract":"<p><strong>Introduction: </strong>Mutations of the OFD1 gene cause oral-facial-digital syndrome type 1 (OFD 1) and variations of the related ciliopathies Joubert syndrome and primary ciliary dyskinesia. OFD 1 manifests with skeletal, CNS, and renal abnormalities with prevalence estimated between 1 in 50,000 and 1 in 250,000. Cilia help regulate responses to mechanical forces in the renal tubules, and polycystic kidney disease (PKD) resulting from defective cilia is the primary determinant of morbidity in OFD 1. PKD associated with OFD 1 is rare before adulthood but may increase markedly with age, progressing to end-stage renal disease (ESRD) in 80% of cases.</p><p><strong>Case presentation: </strong>We report an 18-year-old female with congenital ciliopathy presenting with declining renal function and an increase of serum creatinine to 1.7 mg/dL. A 24-h urine collection yielded 0.8 g of creatinine and 500 mg of total protein. Imaging was conducted and genetic studies were repeated as her early childhood results were not available. MRI revealed numerous bilateral renal cysts consistent with progression of ciliopathy-associated PKD. Genetic testing confirmed the presence of a novel c.1332del frameshift mutation in the OFD1 gene, prematurely truncating the OFD1 protein. Modifications to diet and hydration to preserve renal function and delay progression to ESRD were initiated.</p><p><strong>Conclusion: </strong>This case of unusually early renal decline highlights the challenge of treating OFD 1. There are no currently approved medications and management consists of supportive measures to delay progression. Further research to better characterize and identify treatments for OFD 1 and related ciliopathies is warranted.</p>","PeriodicalId":9599,"journal":{"name":"Case Reports in Nephrology and Dialysis","volume":"15 1","pages":"216-223"},"PeriodicalIF":0.9000,"publicationDate":"2025-08-14","publicationTypes":"Journal Article","fieldsOfStudy":null,"isOpenAccess":false,"openAccessPdf":"https://www.ncbi.nlm.nih.gov/pmc/articles/PMC12503729/pdf/","citationCount":"0","resultStr":null,"platform":"Semanticscholar","paperid":null,"PeriodicalName":"Case Reports in Nephrology and Dialysis","FirstCategoryId":"1085","ListUrlMain":"https://doi.org/10.1159/000547878","RegionNum":0,"RegionCategory":null,"ArticlePicture":[],"TitleCN":null,"AbstractTextCN":null,"PMCID":null,"EPubDate":"2025/1/1 0:00:00","PubModel":"eCollection","JCR":"Q4","JCRName":"UROLOGY & NEPHROLOGY","Score":null,"Total":0}
引用次数: 0

Abstract

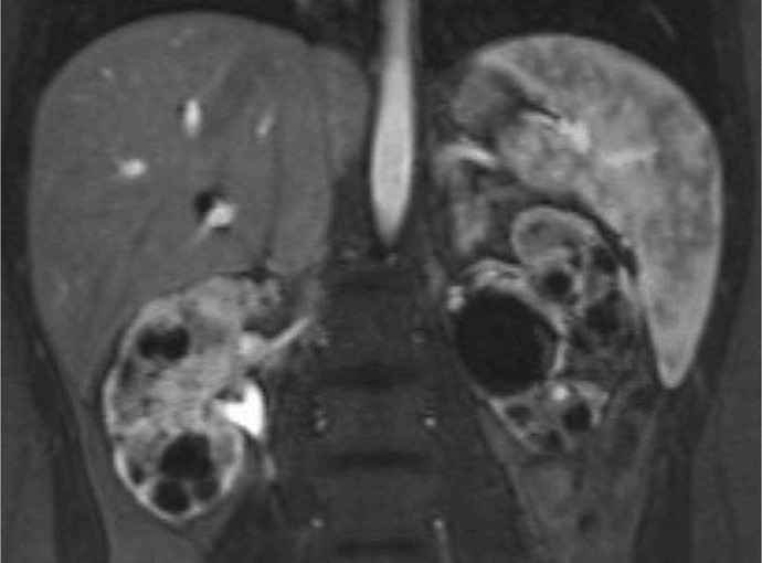
Introduction: Mutations of the OFD1 gene cause oral-facial-digital syndrome type 1 (OFD 1) and variations of the related ciliopathies Joubert syndrome and primary ciliary dyskinesia. OFD 1 manifests with skeletal, CNS, and renal abnormalities with prevalence estimated between 1 in 50,000 and 1 in 250,000. Cilia help regulate responses to mechanical forces in the renal tubules, and polycystic kidney disease (PKD) resulting from defective cilia is the primary determinant of morbidity in OFD 1. PKD associated with OFD 1 is rare before adulthood but may increase markedly with age, progressing to end-stage renal disease (ESRD) in 80% of cases.

Case presentation: We report an 18-year-old female with congenital ciliopathy presenting with declining renal function and an increase of serum creatinine to 1.7 mg/dL. A 24-h urine collection yielded 0.8 g of creatinine and 500 mg of total protein. Imaging was conducted and genetic studies were repeated as her early childhood results were not available. MRI revealed numerous bilateral renal cysts consistent with progression of ciliopathy-associated PKD. Genetic testing confirmed the presence of a novel c.1332del frameshift mutation in the OFD1 gene, prematurely truncating the OFD1 protein. Modifications to diet and hydration to preserve renal function and delay progression to ESRD were initiated.

Conclusion: This case of unusually early renal decline highlights the challenge of treating OFD 1. There are no currently approved medications and management consists of supportive measures to delay progression. Further research to better characterize and identify treatments for OFD 1 and related ciliopathies is warranted.

Abstract Image

Abstract Image

Abstract Image

新的OFD1突变导致异常早发性多囊肾病。
简介:OFD1基因突变导致1型口-面-指综合征(OFD1)和相关纤毛病Joubert综合征和原发性纤毛运动障碍的变异。OFD 1表现为骨骼、中枢神经系统和肾脏异常,患病率估计在5万分之一到25万分之一之间。纤毛有助于调节肾小管对机械力的反应,由纤毛缺陷引起的多囊肾病(PKD)是ofd1发病率的主要决定因素。与ofd1相关的PKD在成年前很少见,但可能随着年龄的增长而显著增加,80%的病例进展为终末期肾病(ESRD)。病例介绍:我们报告一位18岁女性先天性纤毛病,表现为肾功能下降和血清肌酐升高至1.7 mg/dL。收集24小时尿液,肌酐为0.8 g,总蛋白为500 mg。由于她的早期儿童研究结果无法获得,因此进行了影像学检查和基因研究。MRI显示大量双侧肾囊肿与纤毛病相关PKD的进展一致。基因检测证实在OFD1基因中存在一种新的c.1332del移码突变,过早截断OFD1蛋白。开始调整饮食和补水以保持肾功能和延缓ESRD的进展。结论:本例异常早期肾衰突出了治疗ofd1的挑战。目前还没有批准的药物,管理包括支持措施来延缓进展。进一步的研究,以更好地表征和确定治疗ofd1和相关的纤毛病是必要的。
本文章由计算机程序翻译,如有差异,请以英文原文为准。
求助全文
约1分钟内获得全文 求助全文
来源期刊
CiteScore
1.20
自引率
0.00%
发文量
36
审稿时长
10 weeks
期刊介绍: This peer-reviewed online-only journal publishes original case reports covering the entire spectrum of nephrology and dialysis, including genetic susceptibility, clinical presentation, diagnosis, treatment or prevention, toxicities of therapy, critical care, supportive care, quality-of-life and survival issues. The journal will also accept case reports dealing with the use of novel technologies, both in the arena of diagnosis and treatment. Supplementary material is welcomed.
×
引用
GB/T 7714-2015
复制
MLA
复制
APA
复制
导出至
BibTeX EndNote RefMan NoteFirst NoteExpress
×
提示
您的信息不完整,为了账户安全,请先补充。
现在去补充
×
提示
您因"违规操作"
具体请查看互助需知
我知道了
×
提示
确定
请完成安全验证×
copy
已复制链接
快去分享给好友吧!
我知道了
右上角分享
点击右上角分享
0
联系我们:info@booksci.cn Book学术提供免费学术资源搜索服务,方便国内外学者检索中英文文献。致力于提供最便捷和优质的服务体验。 Copyright © 2023 布克学术 All rights reserved.
京ICP备2023020795号-1
ghs 京公网安备 11010802042870号
Book学术文献互助
Book学术文献互助群
群 号:604180095
Book学术官方微信