Nephritis-Associated Plasmin Receptor-Positive Post-Streptococcal Acute Glomerulonephritis Showing Full-House Pattern: A Case Report.

IF 0.9 Q4 UROLOGY & NEPHROLOGY
Case Reports in Nephrology and Dialysis Pub Date : 2025-07-31 eCollection Date: 2025-01-01 DOI:10.1159/000546484
Yusuke Takahashi, Naoto Kawata, Hiroki Nishiwaki, Yoshinori Sato, Toshiharu Ueno, Takashi Oda, Fumihiko Koiwa
{"title":"Nephritis-Associated Plasmin Receptor-Positive Post-Streptococcal Acute Glomerulonephritis Showing Full-House Pattern: A Case Report.","authors":"Yusuke Takahashi, Naoto Kawata, Hiroki Nishiwaki, Yoshinori Sato, Toshiharu Ueno, Takashi Oda, Fumihiko Koiwa","doi":"10.1159/000546484","DOIUrl":null,"url":null,"abstract":"<p><strong>Introduction: </strong>Post-streptococcal acute glomerulonephritis (PSAGN) is a disease in which patients develop hematuria and leg edema following streptococcal infection, which may lead to acute nephritic syndrome and nephrotic syndrome. We present a case involving acute kidney injury and nephrotic syndrome with nonspecific pathological findings for PSAGN, which posed diagnostic challenges.</p><p><strong>Case presentation: </strong>A 25-year-old man presented with leg edema, cough, nephrotic syndrome, severe kidney dysfunction, and hematuria. Blood tests showed elevated antistreptolysin O levels and decreased complement C3 levels; therefore, PSAGN was suspected. Light microscopy revealed membranoproliferative glomerulonephritis, immunofluorescence staining revealed a full-house pattern, and electron microscopy revealed subendothelial deposition. The diagnosis was difficult, however, positive glomerular staining for nephritis-associated plasmin receptor and plasmin activity strongly suggested an infection-related etiology of glomerulonephritis. Treatment included the administration of 500 mg of methylprednisolone for 3 days, followed by 4 weeks of treatment with 50 mg of prednisolone. Subsequently, the dosage was reduced to 40 mg, and the patient was discharged. Urinary findings revealed resolution of hematuria 1 year after discharge.</p><p><strong>Conclusion: </strong>When PSAGN is suspected and other diseases are difficult to exclude, nephritis-associated plasmin receptor staining should be considered.</p>","PeriodicalId":9599,"journal":{"name":"Case Reports in Nephrology and Dialysis","volume":"15 1","pages":"198-205"},"PeriodicalIF":0.9000,"publicationDate":"2025-07-31","publicationTypes":"Journal Article","fieldsOfStudy":null,"isOpenAccess":false,"openAccessPdf":"https://www.ncbi.nlm.nih.gov/pmc/articles/PMC12503611/pdf/","citationCount":"0","resultStr":null,"platform":"Semanticscholar","paperid":null,"PeriodicalName":"Case Reports in Nephrology and Dialysis","FirstCategoryId":"1085","ListUrlMain":"https://doi.org/10.1159/000546484","RegionNum":0,"RegionCategory":null,"ArticlePicture":[],"TitleCN":null,"AbstractTextCN":null,"PMCID":null,"EPubDate":"2025/1/1 0:00:00","PubModel":"eCollection","JCR":"Q4","JCRName":"UROLOGY & NEPHROLOGY","Score":null,"Total":0}
引用次数: 0

Abstract

Introduction: Post-streptococcal acute glomerulonephritis (PSAGN) is a disease in which patients develop hematuria and leg edema following streptococcal infection, which may lead to acute nephritic syndrome and nephrotic syndrome. We present a case involving acute kidney injury and nephrotic syndrome with nonspecific pathological findings for PSAGN, which posed diagnostic challenges.

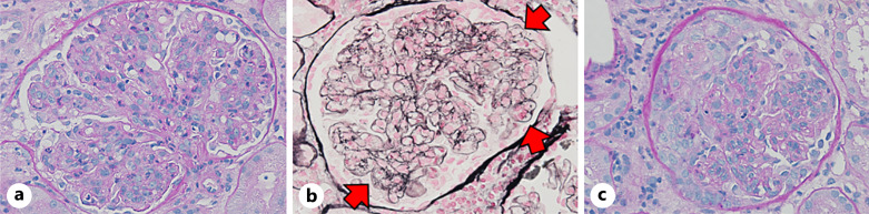
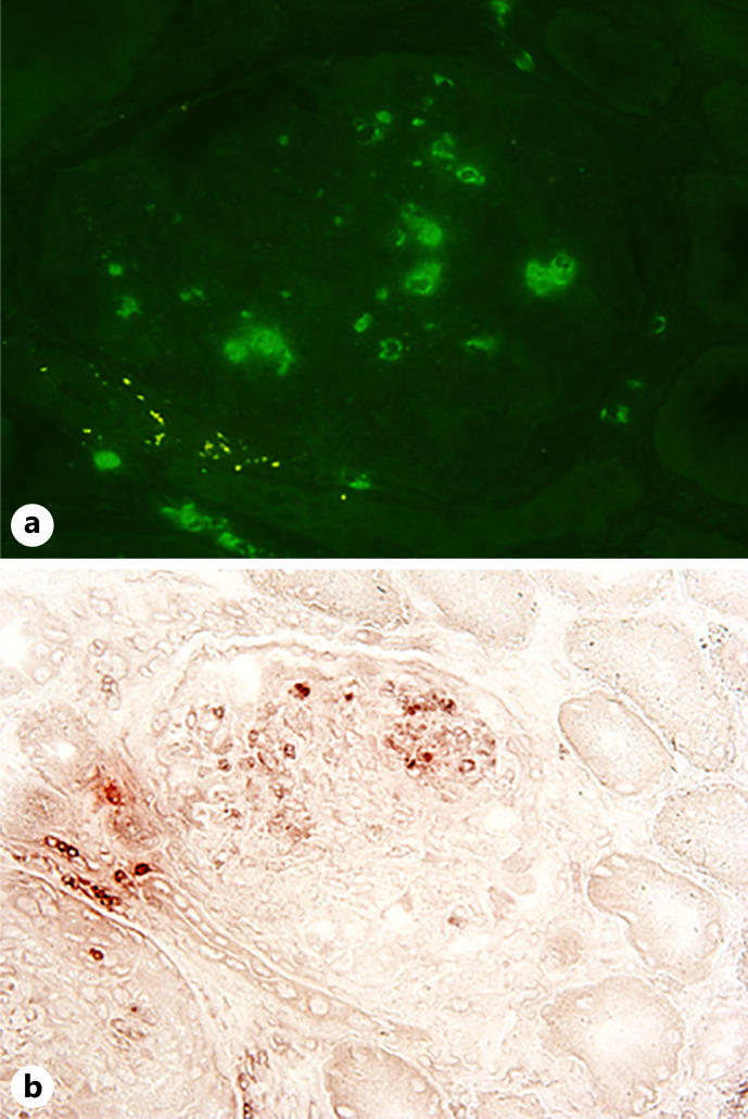
Case presentation: A 25-year-old man presented with leg edema, cough, nephrotic syndrome, severe kidney dysfunction, and hematuria. Blood tests showed elevated antistreptolysin O levels and decreased complement C3 levels; therefore, PSAGN was suspected. Light microscopy revealed membranoproliferative glomerulonephritis, immunofluorescence staining revealed a full-house pattern, and electron microscopy revealed subendothelial deposition. The diagnosis was difficult, however, positive glomerular staining for nephritis-associated plasmin receptor and plasmin activity strongly suggested an infection-related etiology of glomerulonephritis. Treatment included the administration of 500 mg of methylprednisolone for 3 days, followed by 4 weeks of treatment with 50 mg of prednisolone. Subsequently, the dosage was reduced to 40 mg, and the patient was discharged. Urinary findings revealed resolution of hematuria 1 year after discharge.

Conclusion: When PSAGN is suspected and other diseases are difficult to exclude, nephritis-associated plasmin receptor staining should be considered.

Abstract Image

Abstract Image

Abstract Image

肾炎相关纤溶酶受体阳性链球菌感染后急性肾小球肾炎呈满屋型:1例报告。
简介:链球菌感染后急性肾小球肾炎(PSAGN)是一种疾病,患者在链球菌感染后出现血尿和腿部水肿,可导致急性肾病综合征和肾病综合征。我们提出一个病例涉及急性肾损伤和肾病综合征与非特异性病理发现的PSAGN,这提出了诊断挑战。病例介绍:一名25岁男性,表现为腿部水肿、咳嗽、肾病综合征、严重肾功能障碍和血尿。血液检查显示抗溶血素O水平升高,补体C3水平降低;因此,怀疑为PSAGN。光镜显示膜增生性肾小球肾炎,免疫荧光染色显示全室型,电镜显示内皮下沉积。诊断是困难的,然而,肾炎相关纤溶酶受体和纤溶酶活性的肾小球染色阳性强烈提示感染相关的肾小球肾炎病因。治疗包括500mg甲基强的松龙治疗3天,随后用50mg强的松龙治疗4周。随后将剂量降至40mg,患者出院。尿液检查显示出院后1年血尿消退。结论:当怀疑PSAGN且其他疾病难以排除时,应考虑肾炎相关纤溶酶受体染色。
本文章由计算机程序翻译,如有差异,请以英文原文为准。
求助全文
约1分钟内获得全文 求助全文
来源期刊
CiteScore
1.20
自引率
0.00%
发文量
36
审稿时长
10 weeks
期刊介绍: This peer-reviewed online-only journal publishes original case reports covering the entire spectrum of nephrology and dialysis, including genetic susceptibility, clinical presentation, diagnosis, treatment or prevention, toxicities of therapy, critical care, supportive care, quality-of-life and survival issues. The journal will also accept case reports dealing with the use of novel technologies, both in the arena of diagnosis and treatment. Supplementary material is welcomed.
×
引用
GB/T 7714-2015
复制
MLA
复制
APA
复制
导出至
BibTeX EndNote RefMan NoteFirst NoteExpress
×
提示
您的信息不完整,为了账户安全,请先补充。
现在去补充
×
提示
您因"违规操作"
具体请查看互助需知
我知道了
×
提示
确定
请完成安全验证×
copy
已复制链接
快去分享给好友吧!
我知道了
右上角分享
点击右上角分享
0
联系我们:info@booksci.cn Book学术提供免费学术资源搜索服务,方便国内外学者检索中英文文献。致力于提供最便捷和优质的服务体验。 Copyright © 2023 布克学术 All rights reserved.
京ICP备2023020795号-1
ghs 京公网安备 11010802042870号
Book学术文献互助
Book学术文献互助群
群 号:604180095
Book学术官方微信