A Case of Chronic Active T-Cell-Mediated Rejection Caused by Plasma Cell-Rich Acute Rejection 12 Years after Kidney Transplantation.

IF 0.9 Q4 UROLOGY & NEPHROLOGY
Case Reports in Nephrology and Dialysis Pub Date : 2025-08-06 eCollection Date: 2025-01-01 DOI:10.1159/000547828
Ayaka Hayashi, Izumi Yamamoto, Mayuko Kawabe, Yutaro Ohki, Akimitsu Kobayashi, Fumihiko Urabe, Takafumi Yanagisawa, Shunsuke Tsuzuki, Jun Miki, Takahiro Kimura, Ichiro Ohkido, Nobuo Tsuboi, Hiroyasu Yamamoto, Takashi Yokoo
{"title":"A Case of Chronic Active T-Cell-Mediated Rejection Caused by Plasma Cell-Rich Acute Rejection 12 Years after Kidney Transplantation.","authors":"Ayaka Hayashi, Izumi Yamamoto, Mayuko Kawabe, Yutaro Ohki, Akimitsu Kobayashi, Fumihiko Urabe, Takafumi Yanagisawa, Shunsuke Tsuzuki, Jun Miki, Takahiro Kimura, Ichiro Ohkido, Nobuo Tsuboi, Hiroyasu Yamamoto, Takashi Yokoo","doi":"10.1159/000547828","DOIUrl":null,"url":null,"abstract":"<p><strong>Introduction: </strong>Plasma cell rich-acute rejection (PCAR) is a variant of T-cell-mediated rejection in kidney transplantation. Its pathogenesis remains unknown and it is often refractory to standard immunosuppression strategies, possibly leading to allograft loss. Here, we report a case of chronic active T-cell-mediated rejection caused by PCAR 12 years after kidney transplantation.</p><p><strong>Case presentation: </strong>A patient first visited our outpatient clinic with hematuria and proteinuria at the age of 23. He was followed as an outpatient for suspected chronic glomerulonephritis, but his kidney function gradually deteriorated and hemodialysis was initiated at age 50. ABO-compatible kidney transplantation was performed at 51. His graft function was stable for 11 years post-transplant with a serum level of creatinine of 1.5 mg/dL. Twelve years post-transplant, however, his graft function worsened to a creatinine level of 3.2 mg/dL, and he was admitted to our hospital for an allograft biopsy. The histopathology showed edematous lesions with massive tubulointerstitial plasma cell infiltration, and severe tubulitis, consistent with chronic active T-cell-mediated rejection type 1B according to the Banff classification 2019. He was treated with steroid pulse therapy (methylprednisolone 1,000 mg for 3 consecutive days), and his graft function improved to a creatinine level of 2.2 mg/dL. A repeat allograft biopsy 3 months after the steroid therapy showed improved interstitial edema and tubulitis.</p><p><strong>Conclusion: </strong>As suggested in this case, it is still possible to achieve a favorable response by initiating appropriate treatment in early stages of PCAR.</p>","PeriodicalId":9599,"journal":{"name":"Case Reports in Nephrology and Dialysis","volume":"15 1","pages":"206-215"},"PeriodicalIF":0.9000,"publicationDate":"2025-08-06","publicationTypes":"Journal Article","fieldsOfStudy":null,"isOpenAccess":false,"openAccessPdf":"https://www.ncbi.nlm.nih.gov/pmc/articles/PMC12503644/pdf/","citationCount":"0","resultStr":null,"platform":"Semanticscholar","paperid":null,"PeriodicalName":"Case Reports in Nephrology and Dialysis","FirstCategoryId":"1085","ListUrlMain":"https://doi.org/10.1159/000547828","RegionNum":0,"RegionCategory":null,"ArticlePicture":[],"TitleCN":null,"AbstractTextCN":null,"PMCID":null,"EPubDate":"2025/1/1 0:00:00","PubModel":"eCollection","JCR":"Q4","JCRName":"UROLOGY & NEPHROLOGY","Score":null,"Total":0}
引用次数: 0

Abstract

Introduction: Plasma cell rich-acute rejection (PCAR) is a variant of T-cell-mediated rejection in kidney transplantation. Its pathogenesis remains unknown and it is often refractory to standard immunosuppression strategies, possibly leading to allograft loss. Here, we report a case of chronic active T-cell-mediated rejection caused by PCAR 12 years after kidney transplantation.

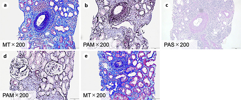
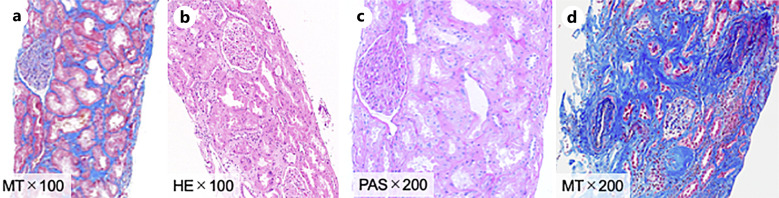
Case presentation: A patient first visited our outpatient clinic with hematuria and proteinuria at the age of 23. He was followed as an outpatient for suspected chronic glomerulonephritis, but his kidney function gradually deteriorated and hemodialysis was initiated at age 50. ABO-compatible kidney transplantation was performed at 51. His graft function was stable for 11 years post-transplant with a serum level of creatinine of 1.5 mg/dL. Twelve years post-transplant, however, his graft function worsened to a creatinine level of 3.2 mg/dL, and he was admitted to our hospital for an allograft biopsy. The histopathology showed edematous lesions with massive tubulointerstitial plasma cell infiltration, and severe tubulitis, consistent with chronic active T-cell-mediated rejection type 1B according to the Banff classification 2019. He was treated with steroid pulse therapy (methylprednisolone 1,000 mg for 3 consecutive days), and his graft function improved to a creatinine level of 2.2 mg/dL. A repeat allograft biopsy 3 months after the steroid therapy showed improved interstitial edema and tubulitis.

Conclusion: As suggested in this case, it is still possible to achieve a favorable response by initiating appropriate treatment in early stages of PCAR.

Abstract Image

Abstract Image

Abstract Image

肾移植术后12年富浆细胞急性排斥引起慢性活动性t细胞介导的排斥1例。
富浆细胞急性排斥反应(PCAR)是肾移植中t细胞介导的排斥反应的一种变体。其发病机制尚不清楚,通常对标准免疫抑制策略难治,可能导致同种异体移植物丢失。在这里,我们报告了一例肾移植后12年由PCAR引起的慢性活动性t细胞介导的排斥反应。病例介绍:一位23岁的患者因血尿和蛋白尿首次来到我们的门诊。患者因疑似慢性肾小球肾炎而接受门诊随访,但肾功能逐渐恶化,50岁时开始血液透析。51岁进行abo相容肾移植。移植后11年移植物功能稳定,血清肌酐水平1.5 mg/dL。然而,移植后12年,他的移植物功能恶化至肌酐水平为3.2 mg/dL,他被送往我院进行同种异体移植物活检。组织病理学显示水肿病变伴大量小管间质浆细胞浸润,伴严重小管炎,符合Banff分类2019慢性活动性t细胞介导的1B型排斥反应。患者接受类固醇脉冲治疗(甲基强的松龙1000 mg,连续3天),移植物功能改善至肌酐水平2.2 mg/dL。类固醇治疗后3个月的重复同种异体移植活检显示间质水肿和小管炎得到改善。结论:正如本病例所提示的那样,在PCAR的早期阶段开始适当的治疗仍然有可能获得良好的反应。
本文章由计算机程序翻译,如有差异,请以英文原文为准。
求助全文
约1分钟内获得全文 求助全文
来源期刊
CiteScore
1.20
自引率
0.00%
发文量
36
审稿时长
10 weeks
期刊介绍: This peer-reviewed online-only journal publishes original case reports covering the entire spectrum of nephrology and dialysis, including genetic susceptibility, clinical presentation, diagnosis, treatment or prevention, toxicities of therapy, critical care, supportive care, quality-of-life and survival issues. The journal will also accept case reports dealing with the use of novel technologies, both in the arena of diagnosis and treatment. Supplementary material is welcomed.
×
引用
GB/T 7714-2015
复制
MLA
复制
APA
复制
导出至
BibTeX EndNote RefMan NoteFirst NoteExpress
×
提示
您的信息不完整,为了账户安全,请先补充。
现在去补充
×
提示
您因"违规操作"
具体请查看互助需知
我知道了
×
提示
确定
请完成安全验证×
copy
已复制链接
快去分享给好友吧!
我知道了
右上角分享
点击右上角分享
0
联系我们:info@booksci.cn Book学术提供免费学术资源搜索服务,方便国内外学者检索中英文文献。致力于提供最便捷和优质的服务体验。 Copyright © 2023 布克学术 All rights reserved.
京ICP备2023020795号-1
ghs 京公网安备 11010802042870号
Book学术文献互助
Book学术文献互助群
群 号:604180095
Book学术官方微信