Incidental pulmonary embolism in abdominal CT: detection rate and characteristics with artificial intelligence.

Radiology advances Pub Date : 2024-04-30 eCollection Date: 2024-05-01 DOI:10.1093/radadv/umae009
Peder Wiklund, Koshiar Medson
{"title":"Incidental pulmonary embolism in abdominal CT: detection rate and characteristics with artificial intelligence.","authors":"Peder Wiklund, Koshiar Medson","doi":"10.1093/radadv/umae009","DOIUrl":null,"url":null,"abstract":"<p><strong>Background: </strong>Abdominal CT is a mainstay in the evaluation of abdominal infections, trauma, oncology, and postoperative complications. Pulmonary embolism is a common complication, but there is a risk that these ancillary findings are overlooked. In addition, data on detection rate and characteristics of incidental pulmonary embolism (iPE) on abdominal CT are lacking.</p><p><strong>Purpose: </strong>The current study compared the period before and after implementing an artificial intelligence (AI) algorithm for iPE detection regarding detection rate and characteristics.</p><p><strong>Material and methods: </strong>A retrospective cross-sectional study was performed on abdominal CTs between August 1, 2019, and January 31, 2021 (before AI implementation, 8026 studies) and August 1, 2021, and January 31, 2023 (after AI implementation, 8765 studies). iPE cases were identified through text search and manually confirmed. Study indication and urgency were recorded for iPE patients, and the most proximal iPE level was assessed. A total of 1000 cases after AI implementation were randomly selected and manually reviewed for AI accuracy analysis.</p><p><strong>Results: </strong>A total of 5876 patients with a mean age of 63.6 ± 17.7 years were included before AI implementation, and 6310 patients with a mean age of 63.2 ± 18.3 years after AI implementation. The iPE detection rate was higher after AI implementation, 0.57% (50/8765 studies) vs 0.12% (10/8026), <i>P</i> < .001. The most common study indications were abdominal pain (25%, 15/60 cases) and infection (30%, 18/60 cases). There were no differences in CT pulmonary angiography usage or the most proximal extent of the iPE between the periods before or after AI implementation, <i>P</i> > .05. AI identified 46/50 of the reported iPE with 7 AI false-positive cases for a positive predictive value of 87% (95% confidence interval: 75-93%). In the manually reviewed randomly selected subset, iPE prevalence was 1.7% (15/874, 95% confidence interval: 1.0-2.8%) with AI having 40% sensitivity (95% CI, 16-68) and 100% specificity (95% CI, 99.5-100).</p><p><strong>Conclusion: </strong>Implementing AI for iPE detection and triage increased the iPE detection rate in abdominal CT. The AI sensitivity was moderate, with very few AI false positives.</p>","PeriodicalId":519940,"journal":{"name":"Radiology advances","volume":"1 1","pages":"umae009"},"PeriodicalIF":0.0000,"publicationDate":"2024-04-30","publicationTypes":"Journal Article","fieldsOfStudy":null,"isOpenAccess":false,"openAccessPdf":"https://www.ncbi.nlm.nih.gov/pmc/articles/PMC12429247/pdf/","citationCount":"0","resultStr":null,"platform":"Semanticscholar","paperid":null,"PeriodicalName":"Radiology advances","FirstCategoryId":"1085","ListUrlMain":"https://doi.org/10.1093/radadv/umae009","RegionNum":0,"RegionCategory":null,"ArticlePicture":[],"TitleCN":null,"AbstractTextCN":null,"PMCID":null,"EPubDate":"2024/5/1 0:00:00","PubModel":"eCollection","JCR":"","JCRName":"","Score":null,"Total":0}
引用次数: 0

Abstract

Background: Abdominal CT is a mainstay in the evaluation of abdominal infections, trauma, oncology, and postoperative complications. Pulmonary embolism is a common complication, but there is a risk that these ancillary findings are overlooked. In addition, data on detection rate and characteristics of incidental pulmonary embolism (iPE) on abdominal CT are lacking.

Purpose: The current study compared the period before and after implementing an artificial intelligence (AI) algorithm for iPE detection regarding detection rate and characteristics.

Material and methods: A retrospective cross-sectional study was performed on abdominal CTs between August 1, 2019, and January 31, 2021 (before AI implementation, 8026 studies) and August 1, 2021, and January 31, 2023 (after AI implementation, 8765 studies). iPE cases were identified through text search and manually confirmed. Study indication and urgency were recorded for iPE patients, and the most proximal iPE level was assessed. A total of 1000 cases after AI implementation were randomly selected and manually reviewed for AI accuracy analysis.

Results: A total of 5876 patients with a mean age of 63.6 ± 17.7 years were included before AI implementation, and 6310 patients with a mean age of 63.2 ± 18.3 years after AI implementation. The iPE detection rate was higher after AI implementation, 0.57% (50/8765 studies) vs 0.12% (10/8026), P < .001. The most common study indications were abdominal pain (25%, 15/60 cases) and infection (30%, 18/60 cases). There were no differences in CT pulmonary angiography usage or the most proximal extent of the iPE between the periods before or after AI implementation, P > .05. AI identified 46/50 of the reported iPE with 7 AI false-positive cases for a positive predictive value of 87% (95% confidence interval: 75-93%). In the manually reviewed randomly selected subset, iPE prevalence was 1.7% (15/874, 95% confidence interval: 1.0-2.8%) with AI having 40% sensitivity (95% CI, 16-68) and 100% specificity (95% CI, 99.5-100).

Conclusion: Implementing AI for iPE detection and triage increased the iPE detection rate in abdominal CT. The AI sensitivity was moderate, with very few AI false positives.

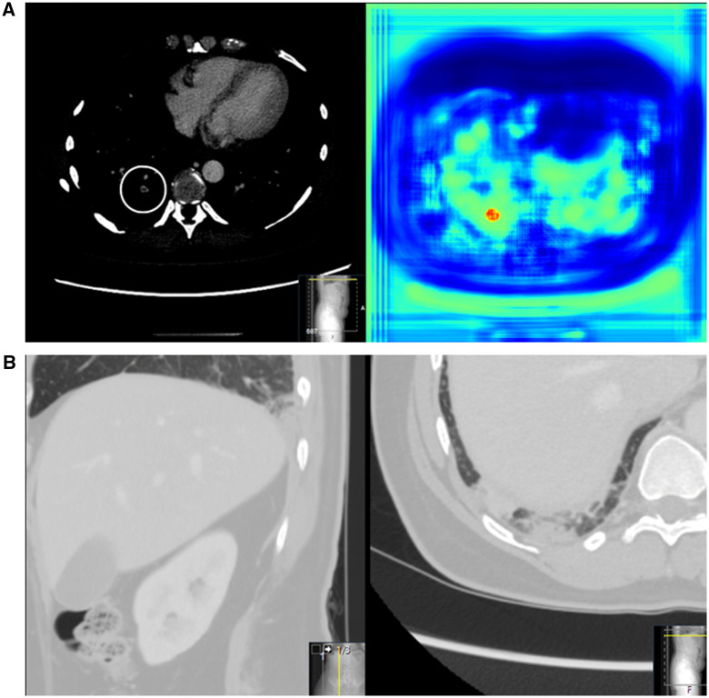
Abstract Image

Abstract Image

Abstract Image

腹部CT偶发性肺栓塞:人工智能的检出率及特征。
背景:腹部CT是评估腹部感染、创伤、肿瘤和术后并发症的主要手段。肺栓塞是一种常见的并发症,但这些辅助发现有被忽视的风险。此外,腹部CT对偶发性肺栓塞(iPE)的检出率和特征缺乏资料。目的:本研究比较了一种人工智能(AI)算法用于iPE检测前后的检测率和特征。材料和方法:对2019年8月1日至2021年1月31日(实施人工智能前,8026项研究)和2021年8月1日至2023年1月31日(实施人工智能后,8765项研究)的腹部ct进行回顾性横断面研究。iPE病例通过文本搜索和人工确认。记录iPE患者的研究适应症和紧急程度,并评估最近端iPE水平。人工智能实施后,随机抽取1000个案例进行人工审查,进行人工智能准确性分析。结果:人工智能实施前共纳入5876例患者,平均年龄63.6±17.7岁;人工智能实施后共纳入6310例患者,平均年龄63.2±18.3岁。人工智能实施后的iPE检出率更高,分别为0.57%(50/8765项研究)和0.12%(10/8026项研究),P < 0.05。AI识别了46/50的报告iPE,其中7例AI假阳性,阳性预测值为87%(95%置信区间:75-93%)。在人工回顾随机选择的子集中,iPE患病率为1.7%(15/874,95%置信区间:1.0-2.8%),AI具有40%的敏感性(95% CI, 16-68)和100%的特异性(95% CI, 99.5-100)。结论:应用人工智能对腹壁脓肿进行检测和分诊,可提高腹壁脓肿的腹部CT检出率。人工智能的敏感性是中等的,很少有人工智能误报。
本文章由计算机程序翻译,如有差异,请以英文原文为准。
求助全文
约1分钟内获得全文 求助全文
来源期刊
自引率
0.00%
发文量
0
×
引用
GB/T 7714-2015
复制
MLA
复制
APA
复制
导出至
BibTeX EndNote RefMan NoteFirst NoteExpress
×
提示
您的信息不完整,为了账户安全,请先补充。
现在去补充
×
提示
您因"违规操作"
具体请查看互助需知
我知道了
×
提示
确定
请完成安全验证×
copy
已复制链接
快去分享给好友吧!
我知道了
右上角分享
点击右上角分享
0
联系我们:info@booksci.cn Book学术提供免费学术资源搜索服务,方便国内外学者检索中英文文献。致力于提供最便捷和优质的服务体验。 Copyright © 2023 布克学术 All rights reserved.
京ICP备2023020795号-1
ghs 京公网安备 11010802042870号
Book学术文献互助
Book学术文献互助群
群 号:604180095
Book学术官方微信