Inferior Pubic Ligament Injury: Magnetic Resonance Imaging Assessment in Athletes With Pubic-Related Groin Pain.

IF 2.5 3区 医学 Q2 ORTHOPEDICS
Orthopaedic Journal of Sports Medicine Pub Date : 2025-09-30 eCollection Date: 2025-09-01 DOI:10.1177/23259671251380879
Thomas Mathieu, Francis Van Glabbeek, Luc Van Nassauw, Lenie Denteneer, Jason Bouziotis, Pieter Van Dyck
{"title":"Inferior Pubic Ligament Injury: Magnetic Resonance Imaging Assessment in Athletes With Pubic-Related Groin Pain.","authors":"Thomas Mathieu, Francis Van Glabbeek, Luc Van Nassauw, Lenie Denteneer, Jason Bouziotis, Pieter Van Dyck","doi":"10.1177/23259671251380879","DOIUrl":null,"url":null,"abstract":"<p><strong>Background: </strong>Many athletes experience pubalgia. Although much is known about ligament injuries in other joints, the importance of ligament injuries in the pubic joint remains understudied.</p><p><strong>Purpose: </strong>To determine the frequency of an inferior pubic ligament (IPL) injury on magnetic resonance imaging (MRI) in a population of athletes with isolated pubic-related groin pain and to compare this group with a control group of athletes with adductor-related groin pain to assess the clinical relevance and association of an IPL injury with pubic-related groin pain.</p><p><strong>Study design: </strong>Cross-sectional study; Level of evidence, 3.</p><p><strong>Methods: </strong>Inclusion criteria consisted of athletes with pubic-related groin pain. All included participants were given a standardized questionnaire, a clinical examination, and a MRI examination of the pelvis. All MRI scans were reviewed to assess the IPL and other pubic-related pathologies, including pubic bone marrow edema and adductor injuries. The prevalence of an IPL lesion in patients with pubic-related groin pain is reported with the 95% confidence interval (95% CI). A control group with adductor-related groin pain was retrospectively included for comparison. Group characteristics were compared using the Pearson χ<sup>2</sup> test, Fisher exact test, and Mann-Whitney-Wilcoxon test. Risk factors of IPL injury were analyzed by logistic regression.</p><p><strong>Results: </strong>A total of 60 athletes were included (56 male, 4 female); 18% showed definite MRI signs of IPL injury. In addition, 15% showed an equivocal IPL abnormality. This resulted in an IPL lesion prevalence of 33% (95% CI, 23%-46%) in this group. Of the 20 athletes with an IPL injury, 18 were soccer players and 2 were track and field athletes. All were men. The median age was 30 years (IQR, 26-36). The risk of IPL lesion was significantly higher in patients with trauma (odds ratio, 8.76; 95% CI, 2.56-29.91; <i>P</i> < .001). No IPL lesions were observed in the control group of 28 athletes with adductor-related groin pain (<i>P</i> < .001).</p><p><strong>Conclusion: </strong>On the basis of MRI analysis, there is a relatively high frequency of IPL injuries (33%) in athletes with pubic-related groin pain in addition to pubic bone and adductor pathology. No IPL injuries (0%) were observed in a control group of athletes with adductor-related groin pain. Our findings support the consideration of IPL injury in the diagnostic workup of pubic-related groin pain, particularly in posttraumatic cases. Further research is needed to refine the diagnostic process and to better understand the implications of IPL injury for rehabilitation and return-to-play outcomes.</p>","PeriodicalId":19646,"journal":{"name":"Orthopaedic Journal of Sports Medicine","volume":"13 9","pages":"23259671251380879"},"PeriodicalIF":2.5000,"publicationDate":"2025-09-30","publicationTypes":"Journal Article","fieldsOfStudy":null,"isOpenAccess":false,"openAccessPdf":"https://www.ncbi.nlm.nih.gov/pmc/articles/PMC12484912/pdf/","citationCount":"0","resultStr":null,"platform":"Semanticscholar","paperid":null,"PeriodicalName":"Orthopaedic Journal of Sports Medicine","FirstCategoryId":"3","ListUrlMain":"https://doi.org/10.1177/23259671251380879","RegionNum":3,"RegionCategory":"医学","ArticlePicture":[],"TitleCN":null,"AbstractTextCN":null,"PMCID":null,"EPubDate":"2025/9/1 0:00:00","PubModel":"eCollection","JCR":"Q2","JCRName":"ORTHOPEDICS","Score":null,"Total":0}
引用次数: 0

Abstract

Background: Many athletes experience pubalgia. Although much is known about ligament injuries in other joints, the importance of ligament injuries in the pubic joint remains understudied.

Purpose: To determine the frequency of an inferior pubic ligament (IPL) injury on magnetic resonance imaging (MRI) in a population of athletes with isolated pubic-related groin pain and to compare this group with a control group of athletes with adductor-related groin pain to assess the clinical relevance and association of an IPL injury with pubic-related groin pain.

Study design: Cross-sectional study; Level of evidence, 3.

Methods: Inclusion criteria consisted of athletes with pubic-related groin pain. All included participants were given a standardized questionnaire, a clinical examination, and a MRI examination of the pelvis. All MRI scans were reviewed to assess the IPL and other pubic-related pathologies, including pubic bone marrow edema and adductor injuries. The prevalence of an IPL lesion in patients with pubic-related groin pain is reported with the 95% confidence interval (95% CI). A control group with adductor-related groin pain was retrospectively included for comparison. Group characteristics were compared using the Pearson χ2 test, Fisher exact test, and Mann-Whitney-Wilcoxon test. Risk factors of IPL injury were analyzed by logistic regression.

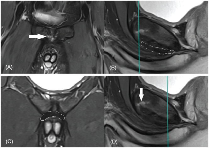
Results: A total of 60 athletes were included (56 male, 4 female); 18% showed definite MRI signs of IPL injury. In addition, 15% showed an equivocal IPL abnormality. This resulted in an IPL lesion prevalence of 33% (95% CI, 23%-46%) in this group. Of the 20 athletes with an IPL injury, 18 were soccer players and 2 were track and field athletes. All were men. The median age was 30 years (IQR, 26-36). The risk of IPL lesion was significantly higher in patients with trauma (odds ratio, 8.76; 95% CI, 2.56-29.91; P < .001). No IPL lesions were observed in the control group of 28 athletes with adductor-related groin pain (P < .001).

Conclusion: On the basis of MRI analysis, there is a relatively high frequency of IPL injuries (33%) in athletes with pubic-related groin pain in addition to pubic bone and adductor pathology. No IPL injuries (0%) were observed in a control group of athletes with adductor-related groin pain. Our findings support the consideration of IPL injury in the diagnostic workup of pubic-related groin pain, particularly in posttraumatic cases. Further research is needed to refine the diagnostic process and to better understand the implications of IPL injury for rehabilitation and return-to-play outcomes.

Abstract Image

Abstract Image

Abstract Image

耻骨下韧带损伤:磁共振成像评估运动员与耻骨相关的腹股沟疼痛。
背景:许多运动员都经历过耻骨痛。虽然对其他关节的韧带损伤已经了解很多,但耻骨关节韧带损伤的重要性仍未得到充分的研究。目的:通过磁共振成像(MRI)确定孤立性耻骨相关腹股沟疼痛的运动员群体中耻骨下韧带(IPL)损伤的频率,并将该组与腹股沟内收肌相关疼痛的运动员对照组进行比较,以评估耻骨相关腹股沟疼痛与IPL损伤的临床相关性和相关性。研究设计:横断面研究;证据水平,3。方法:纳入标准为患有耻骨相关腹股沟疼痛的运动员。所有参与者都接受了标准化问卷、临床检查和骨盆核磁共振检查。检查所有MRI扫描以评估IPL和其他耻骨相关病理,包括耻骨骨髓水肿和内收肌损伤。耻骨相关腹股沟疼痛患者中IPL病变的发生率为95%可信区间(95% CI)。回顾性纳入腹股沟内收肌相关疼痛的对照组进行比较。采用Pearson χ2检验、Fisher精确检验和Mann-Whitney-Wilcoxon检验比较各组特征。采用logistic回归分析IPL损伤的危险因素。结果:共纳入运动员60名,其中男56名,女4名;18%表现出明确的MRI征象。此外,15%的患者表现出模糊的IPL异常。这导致该组IPL病变发生率为33% (95% CI, 23%-46%)。在IPL受伤的20名运动员中,18名是足球运动员,2名是田径运动员。都是男人。中位年龄为30岁(IQR, 26-36)。外伤患者发生IPL病变的风险明显高于外伤患者(优势比为8.76;95% CI为2.56 ~ 29.91;P < 0.001)。28例运动员腹股沟内收肌相关疼痛的对照组未见IPL病变(P < 0.001)。结论:通过MRI分析,除耻骨和内收肌病理外,伴有耻骨相关腹股沟疼痛的运动员IPL损伤发生率较高(33%)。在运动员内收肌相关腹股沟疼痛的对照组中,未观察到IPL损伤(0%)。我们的研究结果支持在耻骨相关腹股沟疼痛的诊断检查中考虑IPL损伤,特别是在创伤后病例中。需要进一步的研究来完善诊断过程,并更好地了解IPL损伤对康复和恢复比赛结果的影响。
本文章由计算机程序翻译,如有差异,请以英文原文为准。
求助全文
约1分钟内获得全文 求助全文
来源期刊
Orthopaedic Journal of Sports Medicine
Orthopaedic Journal of Sports Medicine Medicine-Orthopedics and Sports Medicine
CiteScore
4.30
自引率
7.70%
发文量
876
审稿时长
12 weeks
期刊介绍: The Orthopaedic Journal of Sports Medicine (OJSM), developed by the American Orthopaedic Society for Sports Medicine (AOSSM), is a global, peer-reviewed, open access journal that combines the interests of researchers and clinical practitioners across orthopaedic sports medicine, arthroscopy, and knee arthroplasty. Topics include original research in the areas of: -Orthopaedic Sports Medicine, including surgical and nonsurgical treatment of orthopaedic sports injuries -Arthroscopic Surgery (Shoulder/Elbow/Wrist/Hip/Knee/Ankle/Foot) -Relevant translational research -Sports traumatology/epidemiology -Knee and shoulder arthroplasty The OJSM also publishes relevant systematic reviews and meta-analyses. This journal is a member of the Committee on Publication Ethics (COPE).
×
引用
GB/T 7714-2015
复制
MLA
复制
APA
复制
导出至
BibTeX EndNote RefMan NoteFirst NoteExpress
×
提示
您的信息不完整,为了账户安全,请先补充。
现在去补充
×
提示
您因"违规操作"
具体请查看互助需知
我知道了
×
提示
确定
请完成安全验证×
copy
已复制链接
快去分享给好友吧!
我知道了
右上角分享
点击右上角分享
0
联系我们:info@booksci.cn Book学术提供免费学术资源搜索服务,方便国内外学者检索中英文文献。致力于提供最便捷和优质的服务体验。 Copyright © 2023 布克学术 All rights reserved.
京ICP备2023020795号-1
ghs 京公网安备 11010802042870号
Book学术文献互助
Book学术文献互助群
群 号:604180095
Book学术官方微信