Comparison of Posterior Tibial Slope Measurement Methods Based on 3-Dimensional Reconstruction.

IF 2.5 3区 医学 Q2 ORTHOPEDICS
Orthopaedic Journal of Sports Medicine Pub Date : 2025-09-29 eCollection Date: 2025-09-01 DOI:10.1177/23259671251378774
Jin-Gyu Kim, Min Jung, Kwangho Chung, Hyun-Soo Moon, Se-Han Jung, Youngjin Park, Sung-Hwan Kim
{"title":"Comparison of Posterior Tibial Slope Measurement Methods Based on 3-Dimensional Reconstruction.","authors":"Jin-Gyu Kim, Min Jung, Kwangho Chung, Hyun-Soo Moon, Se-Han Jung, Youngjin Park, Sung-Hwan Kim","doi":"10.1177/23259671251378774","DOIUrl":null,"url":null,"abstract":"<p><strong>Background: </strong>The posterior tibial slope (PTS) influences knee sagittal balance and is linked to anterior cruciate ligament (ACL) injury and meniscal pathology. Various imaging modalities assess PTS, but differences in measurement techniques and reliability remain a concern.</p><p><strong>Purpose/hypothesis: </strong>The purpose of this article was to evaluate the accuracy of calculating the lateral plateau slope using lateral radiograph (LR) and magnetic resonance imaging (MRI)-derived asymmetry. It was hypothesized that measurement error would be high and variable across imaging modalities and that 3-dimensional (3D) reconstruction would serve as a consistent and accurate reference for PTS assessment.</p><p><strong>Study design: </strong>Cohort study (Diagnosis): Level of evidence, 2.</p><p><strong>Methods: </strong>Between March 2020 and October 2023, ACL reconstruction patients were screened. PTS was measured on knee LRs, tibial long-bone LRs (LLRs), preoperative MRI, and 3D-reconstructed images from postoperative computed tomography scans. Two orthopaedic surgeons performed 2 measurements each. Reliability was assessed using intraclass correlation coefficients (ICCs), and agreement was analyzed using Bland-Altman plots, considering ±2° limits of agreement (LOA) as acceptable.</p><p><strong>Results: </strong>Among 132 screened patients, 32 met the inclusion criteria. Intrarater reliability was high for LR and LLR (ICC, 0.86-0.93), while interrater reliability was moderate for LR (ICC, 0.72) and excellent for LLR (ICC, 0.90). MRI showed moderate-to-good reliability (ICC, 0.65-0.79) but high variability (43.75%-65.60% within LOA). Three-dimensional reconstructions demonstrated excellent reliability (ICC, 0.93-0.97) with low variability. MRI-derived asymmetry (calculated as the difference between the PTS of the lateral tibial plateau (LTP) and the medial tibial plateau) showed good agreement with 3D imaging (ICC, 0.81; 73.44% within LOA). LLR had the highest agreement with 3D imaging for medial PTS (ICC, 0.88; 78.12% within LOA). No single method accurately estimated lateral PTS, but combining LLR-based medial PTS with MRI-derived asymmetry improved agreement with 3D LTP (ICC, 0.80; <i>r</i> = 0.826; <i>P</i> < .001).</p><p><strong>Conclusion: </strong>Medial PTS measurement using anterosuperior and posterosuperior reference points in lateral views (LR and LLR) proved to be highly accurate and consistent. In MRI, only the lateromedial PTS asymmetry demonstrated reliability and consistency. To estimate lateral PTS, combining the LLR-based medial PTS with the MRI-derived lateromedial PTS difference yielded intra- and interrater reliability comparable with existing methods but improved accuracy compared with MRI-based measurements alone.</p>","PeriodicalId":19646,"journal":{"name":"Orthopaedic Journal of Sports Medicine","volume":"13 9","pages":"23259671251378774"},"PeriodicalIF":2.5000,"publicationDate":"2025-09-29","publicationTypes":"Journal Article","fieldsOfStudy":null,"isOpenAccess":false,"openAccessPdf":"https://www.ncbi.nlm.nih.gov/pmc/articles/PMC12480820/pdf/","citationCount":"0","resultStr":null,"platform":"Semanticscholar","paperid":null,"PeriodicalName":"Orthopaedic Journal of Sports Medicine","FirstCategoryId":"3","ListUrlMain":"https://doi.org/10.1177/23259671251378774","RegionNum":3,"RegionCategory":"医学","ArticlePicture":[],"TitleCN":null,"AbstractTextCN":null,"PMCID":null,"EPubDate":"2025/9/1 0:00:00","PubModel":"eCollection","JCR":"Q2","JCRName":"ORTHOPEDICS","Score":null,"Total":0}
引用次数: 0

Abstract

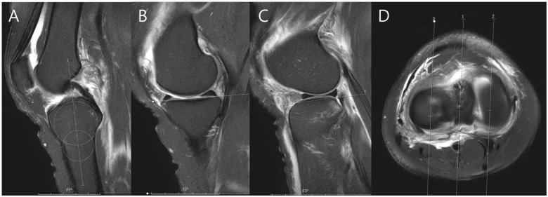
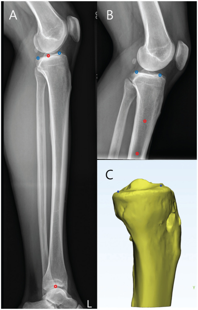
Background: The posterior tibial slope (PTS) influences knee sagittal balance and is linked to anterior cruciate ligament (ACL) injury and meniscal pathology. Various imaging modalities assess PTS, but differences in measurement techniques and reliability remain a concern.

Purpose/hypothesis: The purpose of this article was to evaluate the accuracy of calculating the lateral plateau slope using lateral radiograph (LR) and magnetic resonance imaging (MRI)-derived asymmetry. It was hypothesized that measurement error would be high and variable across imaging modalities and that 3-dimensional (3D) reconstruction would serve as a consistent and accurate reference for PTS assessment.

Study design: Cohort study (Diagnosis): Level of evidence, 2.

Methods: Between March 2020 and October 2023, ACL reconstruction patients were screened. PTS was measured on knee LRs, tibial long-bone LRs (LLRs), preoperative MRI, and 3D-reconstructed images from postoperative computed tomography scans. Two orthopaedic surgeons performed 2 measurements each. Reliability was assessed using intraclass correlation coefficients (ICCs), and agreement was analyzed using Bland-Altman plots, considering ±2° limits of agreement (LOA) as acceptable.

Results: Among 132 screened patients, 32 met the inclusion criteria. Intrarater reliability was high for LR and LLR (ICC, 0.86-0.93), while interrater reliability was moderate for LR (ICC, 0.72) and excellent for LLR (ICC, 0.90). MRI showed moderate-to-good reliability (ICC, 0.65-0.79) but high variability (43.75%-65.60% within LOA). Three-dimensional reconstructions demonstrated excellent reliability (ICC, 0.93-0.97) with low variability. MRI-derived asymmetry (calculated as the difference between the PTS of the lateral tibial plateau (LTP) and the medial tibial plateau) showed good agreement with 3D imaging (ICC, 0.81; 73.44% within LOA). LLR had the highest agreement with 3D imaging for medial PTS (ICC, 0.88; 78.12% within LOA). No single method accurately estimated lateral PTS, but combining LLR-based medial PTS with MRI-derived asymmetry improved agreement with 3D LTP (ICC, 0.80; r = 0.826; P < .001).

Conclusion: Medial PTS measurement using anterosuperior and posterosuperior reference points in lateral views (LR and LLR) proved to be highly accurate and consistent. In MRI, only the lateromedial PTS asymmetry demonstrated reliability and consistency. To estimate lateral PTS, combining the LLR-based medial PTS with the MRI-derived lateromedial PTS difference yielded intra- and interrater reliability comparable with existing methods but improved accuracy compared with MRI-based measurements alone.

Abstract Image

Abstract Image

Abstract Image

基于三维重建的胫骨后坡测量方法的比较。
背景:胫骨后坡(PTS)影响膝关节矢状面平衡,并与前交叉韧带(ACL)损伤和半月板病理有关。不同的成像方式评估PTS,但测量技术和可靠性的差异仍然值得关注。目的/假设:本文的目的是评估使用侧位x线片(LR)和磁共振成像(MRI)衍生的不对称性计算外侧高原斜率的准确性。假设在不同的成像方式下,测量误差会很高,并且会发生变化,而三维(3D)重建可以作为PTS评估的一致和准确的参考。研究设计:队列研究(诊断):证据水平为2级。方法:筛选2020年3月至2023年10月间ACL重建患者。通过膝关节LRs、胫骨长骨LRs (LLRs)、术前MRI和术后计算机断层扫描的3d重建图像测量PTS。两名骨科医生分别进行了2次测量。采用类内相关系数(ICCs)评估可靠性,采用Bland-Altman图分析一致性,考虑±2°的一致性限(LOA)为可接受的。结果:132例筛查患者中,32例符合纳入标准。LR和LLR的内部信度较高(ICC, 0.86-0.93),而LR的内部信度为中等(ICC, 0.72), LLR的内部信度为优异(ICC, 0.90)。MRI显示中至良好的可靠性(ICC, 0.65-0.79),但高变异性(LOA内43.75%-65.60%)。三维重建具有良好的可靠性(ICC, 0.93-0.97)和低变异性。mri得出的不对称性(以胫骨外侧平台(LTP) PTS与胫骨内侧平台PTS之差计算)与3D成像结果吻合良好(ICC, 0.81; LOA内73.44%)。LLR与3D影像对内侧PTS的一致性最高(ICC, 0.88; LOA内78.12%)。没有一种方法能准确估计外侧PTS,但将基于llr的内侧PTS与mri衍生的不对称相结合,可以提高与3D LTP的一致性(ICC, 0.80; r = 0.826; P < 0.001)。结论:在侧位视图(LR和LLR)使用前上和后上参考点测量内侧PTS被证明是高度准确和一致的。在MRI上,只有内侧外侧PTS不对称表现出可靠性和一致性。为了估计外侧PTS,将基于llr的内侧PTS与mri衍生的外侧PTS差异相结合,产生了与现有方法相当的内部和内部可靠性,但与单独基于mri的测量相比,准确性有所提高。
本文章由计算机程序翻译,如有差异,请以英文原文为准。
求助全文
约1分钟内获得全文 求助全文
来源期刊
Orthopaedic Journal of Sports Medicine
Orthopaedic Journal of Sports Medicine Medicine-Orthopedics and Sports Medicine
CiteScore
4.30
自引率
7.70%
发文量
876
审稿时长
12 weeks
期刊介绍: The Orthopaedic Journal of Sports Medicine (OJSM), developed by the American Orthopaedic Society for Sports Medicine (AOSSM), is a global, peer-reviewed, open access journal that combines the interests of researchers and clinical practitioners across orthopaedic sports medicine, arthroscopy, and knee arthroplasty. Topics include original research in the areas of: -Orthopaedic Sports Medicine, including surgical and nonsurgical treatment of orthopaedic sports injuries -Arthroscopic Surgery (Shoulder/Elbow/Wrist/Hip/Knee/Ankle/Foot) -Relevant translational research -Sports traumatology/epidemiology -Knee and shoulder arthroplasty The OJSM also publishes relevant systematic reviews and meta-analyses. This journal is a member of the Committee on Publication Ethics (COPE).
×
引用
GB/T 7714-2015
复制
MLA
复制
APA
复制
导出至
BibTeX EndNote RefMan NoteFirst NoteExpress
×
提示
您的信息不完整,为了账户安全,请先补充。
现在去补充
×
提示
您因"违规操作"
具体请查看互助需知
我知道了
×
提示
确定
请完成安全验证×
copy
已复制链接
快去分享给好友吧!
我知道了
右上角分享
点击右上角分享
0
联系我们:info@booksci.cn Book学术提供免费学术资源搜索服务,方便国内外学者检索中英文文献。致力于提供最便捷和优质的服务体验。 Copyright © 2023 布克学术 All rights reserved.
京ICP备2023020795号-1
ghs 京公网安备 11010802042870号
Book学术文献互助
Book学术文献互助群
群 号:604180095
Book学术官方微信